• Tel: 858.663.9055
  • separatorEmail: info@nsjbio.com
  • Tel: 858.663.9055
  • Email: info@nsjbio.com
banner

Creatine Kinase B Antibody / CKB Antibodies for Brain and Metabolic Research

Home >> Antibodies >> Creatine Kinase B Antibody / CKB Antibodies for Brain and Metabolic Research

Creatine Kinase B Antibody / CKB Antibodies for Brain and Metabolic Research

Overview of Creatine Kinase B (CKB)

Creatine kinase B (CKB) is a cytosolic enzyme that plays a central role in cellular energy homeostasis by catalyzing the reversible transfer of phosphate between phosphocreatine and ADP to regenerate ATP. This process is essential in tissues with high and fluctuating energy demands, particularly in the central nervous system where neurons require rapid and sustained ATP availability. For protein-level analysis, the Creatine Kinase B Antibody for WB provides robust detection of CKB in lysate-based studies across multiple experimental systems.

CKB, also known as brain creatine kinase or CK-BB, is widely expressed in non-muscle tissues including brain, kidney, and secretory epithelia. Its presence across multiple tissue types makes it a valuable marker for investigating both tissue-specific metabolism and conserved energy buffering pathways. Researchers examining gene-level detection often utilize a CKB Antibody Multi-Species WB to compare expression patterns across model organisms.


Key Roles in Brain and Cellular Metabolism

In neuronal tissue, CKB functions as part of the phosphocreatine energy shuttle, enabling rapid ATP regeneration at synapses and along axons. This buffering system supports neurotransmission, membrane excitability, and cytoskeletal remodeling. For tissue-based analysis, a Brain Creatine Kinase Antibody Neuronal Marker is commonly used to highlight cytoplasmic staining patterns in neurons.

Beyond the nervous system, CKB is also expressed in metabolically active epithelial cells such as renal tubules and salivary gland acinar cells. In these tissues, it supports ATP-dependent processes including ion transport and protein secretion. This is well illustrated by the Creatine Kinase B Antibody Secretory Marker, which highlights strong cytoplasmic staining in glandular epithelial structures.


Applications and Experimental Use

CKB antibodies are commonly used in western blot and immunohistochemistry to evaluate protein expression, tissue distribution, and metabolic state. Western blot analysis enables detection of CKB across multiple species, supporting comparative studies and model system validation. For isoenzyme-focused research, the Creatine Phosphokinase BB Antibody Isoenzyme provides targeted detection of the CK-BB form of the enzyme.

Immunohistochemistry reveals characteristic cytoplasmic staining in neurons and secretory epithelial cells, reflecting localized ATP buffering activity. Antibodies such as the Creatine Kinase B Antibody Cytoplasmic Marker are particularly useful for identifying subcellular distribution patterns in brain tissue.


Key Creatine Kinase B Antibody Types

A range of creatine kinase B antibody products is available to support distinct research needs:

  • Western blot detection and validation using the Creatine Kinase B Antibody for WB
  • Multi-species comparison with the CKB Antibody Multi-Species WB
  • Neuronal localization using the Brain Creatine Kinase Antibody Neuronal Marker
  • Subcellular analysis with the Creatine Kinase B Antibody Cytoplasmic Marker
  • Functional metabolic studies using the Brain Creatine Kinase Antibody Metabolic Marker
  • Isoenzyme-specific detection with the Creatine Phosphokinase BB Antibody Isoenzyme
  • Baseline protein analysis using the Creatine Kinase B Antibody Consistent Expression
  • Secretory tissue analysis with the Creatine Kinase B Antibody Secretory Marker

These variations allow researchers to select the most appropriate antibody depending on whether the focus is biochemical detection, tissue localization, or functional interpretation.


Choosing the Right CKB Antibody

Selecting an appropriate creatine kinase B antibody depends on the intended application and biological context. For protein quantification and cross-species comparison, western blot-validated reagents such as the Creatine Kinase B Antibody for WB are often preferred. For spatial analysis in tissues, immunohistochemistry-focused options like the Brain Creatine Kinase Antibody Metabolic Marker or Creatine Kinase B Antibody Cytoplasmic Marker provide insight into localization and activity.

Considerations such as species compatibility, validation data, and specific biological focus - including neuronal function, epithelial metabolism, or isoenzyme specificity - can help guide antibody selection.

A selection of Creatine Kinase B antibody products is shown below to support a range of research applications.

These creatine kinase B antibodies are part of a broader antibody panel offered by NSJ Bioreagents.

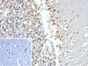
<p><strong data-start="0" data-end="47" data-is-only-node="">Creatine Kinase B Antibody Human Brain IHC.</strong> Immunohistochemistry analysis of FFPE human brain tissue using a recombinant rabbit monoclonal <a href="../tds/recombinant-creatine-kinase-b-antibody-ck-bb-ckb-ckbb8306r-v5468">Creatine kinase B antibody clone CKBB/8306R</a>. Cytoplasmic staining is observed in neuronal cell populations, consistent with Creatine kinase B / CKB localization as a metabolic enzyme supporting ATP buffering in the central nervous system. Signal is prominent in neuronal cell bodies and processes, while adjacent non-neuronal regions show comparatively lower staining. A PBS-only control confirms minimal non-specific background. HIER: boil tissue sections in 10 mM Tris with 1 mM EDTA, pH 9, for 20 min followed by cooling prior to staining.</p>

Creatine Kinase B Antibody Human Brain IHC. Immunohistochemistry analysis of FFPE human brain tissue using a recombinant rabbit monoclonal Creatine kinase B antibody clone CKBB/8306R. Cytoplasmic staining is observed in neuronal cell populations, consistent with Creatine kinase B / CKB localization as a metabolic enzyme supporting ATP buffering in the central nervous system. Signal is prominent in neuronal cell bodies and processes, while adjacent non-neuronal regions show comparatively lower staining. A PBS-only control confirms minimal non-specific background. HIER: boil tissue sections in 10 mM Tris with 1 mM EDTA, pH 9, for 20 min followed by cooling prior to staining.

Found all antibodies, displaying 1 to 10
CKB Antibody / Creatine kinase B (clone CKBB/6568)
Catalog No : V4371
Applications : ELISA, WB, IHC-P
Reactivity : Human, Mouse, Rat, Hamster, Guinea pig
Format : Purified
CKB Antibody / Creatine kinase B (clone CPTC-CKB-2)
Catalog No : V7682
Applications : WB
Reactivity : Human
Format : Purified
CKB Antibody / Creatine kinase B (clone CKBB/6566)
Catalog No : V4369
Applications : ELISA, WB, IHC-P
Reactivity : Human, Mouse, Rat, Hamster, Guinea pig
Format : Purified
CKB Antibody / Creatine kinase B (clone CKBB/6567)
Catalog No : V4370
Applications : ELISA, WB, IHC-P
Reactivity : Human, Mouse, Rat, Hamster, Guinea pig
Format : Purified
CKB Antibody / Creatine kinase B (clone rCKBB/8841)
Catalog No : V4373
Applications : IHC-P, WB
Reactivity : Human, Mouse, Rat, Hamster, Guinea pig
Format : Purified
Recmousemono
CKB Antibody / Creatine kinase B (clone CKBB/8608R)
Catalog No : V4377
Applications : IHC-P, WB
Reactivity : Human, Mouse, Rat, Hamster, Guinea pig
Format : Purified
Recrabbitmono
CKB Antibody / Creatine kinase B (clone CKBB/8843R)
Catalog No : V4380
Applications : IHC-P, WB
Reactivity : Human, Mouse, Rat, Hamster, Guinea pig
Format : Purified
Recrabbitmono
CKB Antibody / Creatine kinase B (clone CKBB/8609R)
Catalog No : V4386
Applications : IHC-P, WB
Reactivity : Human, Mouse, Rat, Hamster, Guinea pig
Format : Purified
Recrabbitmono
Ckb Antibody / Creatine Kinase / Isoforms a & b / Zebrafish
Catalog No : RZ1160
Applications : WB, IHC-P
Reactivity : Zebrafish
Format : Antigen affinity purified