• Tel: 858.663.9055
  • SeparatorEmail: info@nsjbio.com
  • Tel: 858.663.9055
  • Email: info@nsjbio.com
Home >> Antibodies >> Zebrafish Ckb Antibody / Ckba / Ckbb / Creatine kinase

Zebrafish Ckb Antibody / Ckba / Ckbb / Creatine kinase (RZ1160)

  Catalog No Formulation Size Price (USD)  
Image RZ1160 0.5mg/ml if reconstituted with 0.2ml sterile DI water 100 ug 539
Bulk quote request
Zebrafish Ckb Antibody Brain Tissue IHC. Immunohistochemistry staining of FFPE zebrafish brain tissue with Zebrafish Ckb antibody, HRP secondary and DAB substrate. HIER: boil tissue sections in pH8 EDTA for 20 min and allow to cool before testing.
Zebrafish Ckb Antibody Tissue WB. Western blot analysis of Ckba/b protein using Zebrafish Ckb antibody and 1) zebrafish head, 2) whole female zebrafish, 3) whole male zebrafish and 4) zebrafish embryo tissue lysate. Predicted molecular weight ~43 kDa.
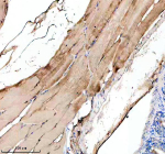
Zebrafish Ckb Antibody Skeletal Muscle Tissue IHC. Immunohistochemistry staining of FFPE zebrafish skeletal muscle tissue with Zebrafish Ckb antibody, HRP secondary and DAB substrate. HIER: boil tissue sections in pH8 EDTA for 20 min and allow to cool before testing.
Availability 2-3 weeks
Species Reactivity Zebrafish
Format Antigen affinity purified
Host Rabbit
Clonality Polyclonal (rabbit origin)
Isotype Rabbit Ig
Purity Antigen affinity chromatography
Buffer Lyophilized from 1X PBS with 2% Trehalose
UniProt A0A8M6Z2B4 , Q8AY63
Applications Western Blot : 0.5-1 ug/ml
Immunohistochemistry (FFPE) : 2-5 ug/ml
Limitations This Zebrafish Ckb antibody is available for research use only.
Review this product on BioCompare and get a $20 Amazon gift card

Related Products

Description

Zebrafish (Danio rerio) Ckb antibody detects Ckb, a cytosolic creatine kinase isoform that contributes to cellular energy buffering and phosphotransfer. In zebrafish, this activity is encoded by two paralogs, ckba and ckbb, both producing functional Creatine kinase proteins that participate in maintaining ATP homeostasis. Creatine kinase catalyzes the reversible transfer of a phosphate group between phosphocreatine and ADP, rapidly regenerating ATP during periods of high energy demand. Because developing tissues require precise metabolic regulation for growth and differentiation, Zebrafish Ckb antibody reagents support research in cellular energetics, muscle physiology, neural function, and metabolic adaptation.

Creatine kinase provides a spatial and temporal energy buffer that stabilizes ATP levels during fluctuating metabolic activity. In zebrafish embryos, Ckba and Ckbb are expressed in tissues with elevated ATP turnover, including skeletal muscle, heart, neural tissues, and regions undergoing rapid proliferation. These expression domains highlight the essential role of Ckb in supporting mitochondrial output and distributing energy across cellular compartments. By allowing phosphocreatine to act as a mobile energy reservoir, Ckb helps ensure that ATP-dependent processes such as ion pumping, muscle contraction, cytoskeletal remodeling, and protein synthesis function efficiently during early development.

In vertebrate nervous systems, Creatine kinase is strongly associated with synaptic regions, axons, and glial cells, where rapid ATP regeneration supports membrane excitability, neurotransmitter cycling, and vesicle trafficking. Zebrafish neural circuits rely heavily on this phosphotransfer system, especially during periods of synaptic refinement and sensory system maturation. Altered Ckb activity can influence neural responsiveness, locomotor behavior, and metabolic resilience.

In muscle tissues, Ckb works alongside mitochondrial creatine kinase to maintain energy balance during contraction and relaxation cycles. Zebrafish models are widely used to study muscle development and function, and creatine kinase activity marks regions of high metabolic demand. Disruptions in creatine kinase pathways can impair muscle performance, reduce endurance, or alter the timing of myofibril assembly.

At the biochemical level, cytosolic Creatine kinase exists as homodimers or heterodimers depending on isoform composition. These dimers bind ATP, ADP, creatine, and phosphocreatine with high efficiency, enabling rapid phosphotransfer during metabolic transitions. Zebrafish Ckba and Ckbb maintain conserved catalytic properties characteristic of vertebrate CK enzymes. Subcellular localization is primarily cytosolic, but Ckb can associate with specific cellular structures, including cytoskeletal elements and membrane domains, to facilitate localized ATP regeneration.

Creatine kinase also plays broader roles in developmental signaling and stress adaptation. The phosphocreatine system influences redox balance, osmoregulation, and metabolic recovery following energetic stress. In zebrafish, these processes are critical during embryogenesis and larval growth, when tissues must rapidly adjust to changing environmental and physiological conditions.

A Zebrafish Ckb antibody is suitable for research applications such as western blotting, immunohistochemistry, and assays examining cellular energy metabolism, muscle development, neural activity, and metabolic regulation. This antibody targets Ckba and Ckbb for studies involving phosphotransfer systems, ATP buffering, and vertebrate metabolic physiology. NSJ Bioreagents provides the Zebrafish Ckb antibody to support research in developmental metabolism and bioenergetics.

This Zebrafish antibody is part of a broader Zebrafish / Danio rerio antibody panel offered by NSJ Bioreagents.

Application Notes

Optimal dilution of the Zebrafish Ckb antibody should be determined by the researcher.

Immunogen

An E.coli-derived zebrafish Ckba/b recombinant protein (amino acids K7-K382) was used as the immunogen for the Zebrafish Ckb antibody. This antibody will detect the a and b isoforms.

Storage

After reconstitution, the Zebrafish Ckb antibody can be stored for up to one month at 4oC. For long-term, aliquot and store at -20oC. Avoid repeated freezing and thawing.

Cross
Bulk Quote Request Form
Name*:
Organization*:
Email*:
Phone Number*:
Catalog No.*:
Comments and Specifics(amount, formulation, etc.)*:
Validation code: Captchapackage Image


Can't read the image? click here to refresh.
    *required field

Your bulk quote request has been submitted successfully!

Please contact us if you have any questions.