• Tel: 858.663.9055
  • SeparatorEmail: info@nsjbio.com
  • Tel: 858.663.9055
  • Email: info@nsjbio.com
Home >> Antibodies >> Creatine Kinase B Antibody / Secretory Epithelial Metabolism Marker

Creatine Kinase B Antibody / Secretory Epithelial Metabolism Marker [clone CKBB/6567] (V4370)

  Catalog No Formulation Size Price (USD)  
Image V4370-100UG 0.2 mg/ml in 1X PBS with 0.1 mg/ml BSA (US sourced), 0.05% sodium azide 100 ug 559
Image
V4370-20UG 0.2 mg/ml in 1X PBS with 0.1 mg/ml BSA (US sourced), 0.05% sodium azide 20 ug 259
Image
V4370SAF-100UG 1 mg/ml in 1X PBS; BSA free, sodium azide free 100 ug 559
Bulk quote request
Creatine Kinase B Antibody Human Mouse Rat Hamster Guinea Pig Brain and Stomach WB. Western blot analysis of human brain, mouse brain, rat brain, hamster brain, guinea pig brain, human stomach, mouse stomach, rat stomach, hamster stomach, and guinea pig stomach tissue lysates using Creatine Kinase B antibody. The mouse monoclonal antibody clone CKBB/6567 detects a band at approximately 43 kDa, consistent with the predicted molecular weight of Creatine kinase B / CKB. The consistent banding across species and tissues reflects conserved expression of this cytosolic enzyme, supporting its role in energy metabolism in both neuronal and secretory epithelial tissues.
Western blot testing of human Y79 cell lysate with Creatine kinase B antibody (clone CKBB/6567). Predicted molecular weight ~43 kDa.
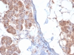
Creatine Kinase B Antibody Human Salivary Gland IHC. Immunohistochemistry analysis of FFPE human salivary gland tissue using Creatine Kinase B antibody. The mouse monoclonal antibody clone CKBB/6567 demonstrates strong cytoplasmic staining in secretory acinar epithelial cells, consistent with Creatine kinase B / CKB expression as a secretory epithelial metabolism marker. Acinar cell clusters show robust signal reflecting high metabolic demand associated with protein secretion, while surrounding stromal elements display lower staining. HIER: boil tissue sections in 10 mM Tris with 1 mM EDTA, pH 9, for 20 min followed by cooling prior to staining.
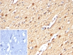
Creatine Kinase B Antibody Human Brain IHC. Immunohistochemistry analysis of FFPE human brain tissue using Creatine Kinase B antibody. The mouse monoclonal antibody clone CKBB/6567 shows diffuse cytoplasmic staining in neurons, consistent with Creatine kinase B / CKB expression supporting energy metabolism in metabolically active cells. Neuronal cell bodies and processes display moderate to strong signal, while background staining remains low. A PBS-only control confirms minimal non-specific staining. HIER: boil tissue sections in 10 mM Tris with 1 mM EDTA, pH 9, for 20 min followed by cooling prior to staining.
Western blot testing of human HEK293 cell lysate with Creatine kinase B antibody (clone CKBB/6567). Predicted molecular weight ~43 kDa.
Availability 1-3 business days
Species Reactivity Human, Mouse, Rat, Hamster, Guinea pig
Format Purified
Host Mouse
Clonality Monoclonal (mouse origin)
Isotype Mouse IgG1, kappa
Clone Name CKBB/6567
Purity Protein A/G affinity
UniProt P12277
Localization Cytoplasm
Applications ELISA (Order BSA-free Format For Coating) :
Western Blot : 1-2ug/ml
Immunohistochemistry (FFPE) : 1-2ug/ml for 30 min at RT
Limitations This Creatine Kinase B Antibody / Secretory Epithelial Metabolism Marker is available for research use only.
Review this product on BioCompare and get a $20 Amazon gift card

Related Products

Description

Creatine kinase B (CKB) is a cytosolic enzyme that plays a central role in cellular energy homeostasis by catalyzing the reversible transfer of phosphate between phosphocreatine and ADP to regenerate ATP. This reaction is essential in cells with high and fluctuating energy demands, including neurons and secretory epithelial cells that require sustained ATP availability for active transport and vesicle-mediated secretion. Creatine Kinase B Antibody is commonly used to study this enzyme in tissues where metabolic activity is tightly linked to functional output.

CKB belongs to the creatine kinase family, which includes multiple isoforms that coordinate intracellular energy buffering and distribution. The B-type isoform forms CK-BB homodimers that are widely expressed in non-muscle tissues, including the central nervous system and glandular epithelia. CKB antibody, also known as Creatine kinase B antibody or Brain creatine kinase antibody in the literature, supports detection of this enzyme in pathways involving ATP regeneration, phosphocreatine cycling, and metabolic adaptation across diverse tissue types.

Functionally, CKB operates within the phosphocreatine shuttle, a system that rapidly delivers high-energy phosphate groups to sites of ATP consumption. In secretory epithelial cells such as those found in salivary glands, this buffering system supports processes including vesicle trafficking, protein secretion, and maintenance of ion gradients required for fluid production. In neuronal tissue, the same system sustains synaptic activity and membrane excitability. Creatine Kinase B Antibody therefore enables investigation of metabolic demand in both neuronal and glandular contexts, highlighting its role in supporting energy-intensive cellular functions.

Subcellularly, CKB is predominantly localized in the cytoplasm, where it is distributed throughout cells with enrichment in regions of high energy utilization. In salivary gland tissue, cytoplasmic staining is typically observed in acinar cells responsible for secretion, while in brain tissue strong signal is seen in neuronal cell bodies and processes. This pattern reflects the enzyme’s role in supporting localized ATP regeneration and makes CKB antibody useful for evaluating metabolic activity in secretory and epithelial cell populations.

This Creatine Kinase B Antibody is supported by immunohistochemistry data demonstrating clear cytoplasmic staining in both brain and salivary gland tissues, consistent with known expression patterns in neurons and secretory epithelia. Western blot analysis further demonstrates detection of CKB across multiple species, supporting its use in comparative studies. In addition, protein microarray specificity validation confirms selective binding to CKB among a large panel of human proteins, providing strong confidence in target specificity. Together, these features support its use in studies of epithelial metabolism, neuronal function, and energy regulation.

This Creatine Kinase B Antibody is part of a broader Creatine Kinase B antibody panel offered by NSJ Bioreagents.

Application Notes

Optimal dilution of the Creatine Kinase B Antibody / Secretory Epithelial Metabolism Marker should be determined by the researcher.

Immunogen

Recombinant human full-length protein was used as the immunogen for the Creatine kinase B antibody.

Storage

Aliquot the Creatine kinase B antibody and store frozen at -20oC or colder. Avoid repeated freeze-thaw cycles.

Alternate Names

CKB antibody, Brain creatine kinase antibody, Creatine kinase B chain antibody, CK-BB antibody, Cytosolic creatine kinase B antibody

Cross
Bulk Quote Request Form
Name*:
Organization*:
Email*:
Phone Number*:
Catalog No.*:
Comments and Specifics(amount, formulation, etc.)*:
Validation code: Captchapackage Image


Can't read the image? click here to refresh.
    *required field

Your bulk quote request has been submitted successfully!

Please contact us if you have any questions.