• Tel: 858.663.9055
  • separatorEmail: info@nsjbio.com
  • Tel: 858.663.9055
  • Email: info@nsjbio.com
banner

KRT10 Antibody / Keratin 10 Antibody - Keratinocyte Differentiation Gene

Home >> Antibodies >> KRT10 Antibody / Keratin 10 Antibody - Keratinocyte Differentiation Gene

KRT10 Antibody / Keratin 10 Antibody - Keratinocyte Differentiation Gene

KRT10 Antibody Overview

KRT10 Antibody detects keratin 10, a type I intermediate filament protein expressed in the suprabasal layers of stratified epithelia. Keratin 10 partners with keratin 1 to form structural filaments that maintain epidermal stability during differentiation. This pairing provides strength to the upper layers of skin, ensuring resilience and barrier function.

Mutations in KRT10 cause epidermolytic ichthyosis, a genetic skin disorder characterized by blistering, hyperkeratosis, and scaling. Abnormal expression of KRT10 has also been observed in hyperproliferative skin diseases and epithelial cancers. The KRT10 Antibody is therefore an important reagent for studying epidermal differentiation, genetic keratinopathies, and pathological remodeling of skin.

Because of its restricted expression and strong clinical relevance, Keratin 10 Antibody reagents are used across dermatology, pathology, and translational medicine.


Why Choose KRT10 Antibodies from NSJ Bioreagents?

NSJ Bioreagents supplies KRT10 Antibodies validated for immunohistochemistry, immunofluorescence, western blotting, ELISA, and flow cytometry. Each KRT10 Antibody is rigorously tested for specificity to keratin 10 while minimizing cross-reactivity with related keratins such as KRT1.

By selecting a KRT10 Antibody from NSJ Bioreagents, researchers gain reagents optimized for reproducibility. Our antibodies provide strong staining in suprabasal epidermis, consistent protein detection in lysates, and robust results across experimental platforms. With detailed datasheets, recommended positive controls, and validated protocols, NSJ Bioreagents ensures that Keratin 10 Antibody products support both discovery research and diagnostic pathology.


Applications of KRT10 Antibodies

The KRT10 Antibody has broad applications across skin biology, pathology, and translational studies.

1) Skin Biology and Differentiation

  • KRT10 Antibodies identify suprabasal keratinocytes during epidermal maturation.

  • The KRT10 Antibody clarifies epidermal barrier formation and stratification.

  • Keratin 10 Antibody reagents support studies of keratinocyte differentiation pathways.

2) Genetic Disorders

  • Mutations in KRT10 cause epidermolytic ichthyosis, making KRT10 Antibodies essential for research.

  • The KRT10 Antibody detects molecular defects in patient samples and models.

  • Keratin 10 Antibody reagents help clarify mechanisms of keratin-related fragility.

3) Dermatopathology

  • KRT10 Antibodies distinguish suprabasal keratin expression in skin biopsies.

  • The KRT10 Antibody supports diagnosis of keratinization disorders and ichthyosis.

  • Keratin 10 Antibody products contribute to biomarker discovery in hyperproliferative disease.

4) Oncology and Tumor Biology

  • KRT10 Antibodies are applied to study squamous cell carcinoma and skin tumors.

  • The KRT10 Antibody clarifies keratin remodeling in cancer progression.

  • Keratin 10 Antibody reagents provide biomarkers for prognosis and therapy response.

5) Wound Healing and Stress Response

  • KRT10 Antibodies detect altered expression during injury and repair.

  • The KRT10 Antibody supports studies of epithelial response to stress.

6) Regenerative Medicine

  • KRT10 Antibodies validate keratinocyte differentiation in stem cell-derived skin models.

  • The KRT10 Antibody ensures correct suprabasal identity in engineered epidermis.

7) Translational Medicine and Drug Development

  • KRT10 Antibodies are used in preclinical studies of epidermolytic ichthyosis therapies.

  • The KRT10 Antibody supports biomarker validation in dermatology clinical trials.

  • Keratin 10 Antibody reagents help assess drug effects on epidermal differentiation.


Why Are KRT10 Antibodies Important?

Keratin 10 is a hallmark of suprabasal epidermis and a critical marker of differentiation. The KRT10 Antibody enables precise detection of this protein, while Keratin 10 Antibody reagents more broadly support research in dermatology, oncology, and regenerative biology.

In basic research, KRT10 Antibodies clarify keratinocyte maturation and barrier integrity. In genetics, the KRT10 Antibody provides insights into epidermolytic ichthyosis. In oncology, Keratin 10 Antibody products are valuable for tumor classification and biomarker development.

Clinically, KRT10 markers are used to diagnose and monitor keratin-related disorders, evaluate skin differentiation, and guide treatment strategies. The KRT10 Antibody thus bridges basic molecular insights with clinical care, supporting progress in dermatology and patient outcomes.


Conclusion

Keratin 10 is a suprabasal epidermal marker central to skin differentiation, disease, and oncology. The KRT10 Antibody equips scientists and clinicians with a trusted tool for detecting keratin 10, while Keratin 10 Antibody reagents more broadly support advances in dermatology, pathology, and regenerative medicine. By connecting fundamental biology with clinical applications, these antibodies remain indispensable for biomedical research and healthcare progress.

This KRT10 antibody page is part of a broader KRT antibody panel used to study epithelial differentiation, tissue distribution, and tumor classification across multiple keratin family members.

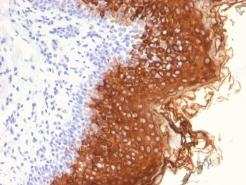
<p>IHC staining of FFPE human skin tissue with <a href="../tds/cytokeratin-10-antibody-krt10-ae20-v7915" target="_blank" rel="noopener">KRT10 antibody</a> (clone AE20).</p>

IHC staining of FFPE human skin tissue with KRT10 antibody (clone AE20).

Found all antibodies, displaying 1 to 10
Cytokeratin 10/13 Antibody (clone DE-K13)
Catalog No : V3053
Applications : FACS, IF, WB, IHC-P
Reactivity : Human
Format : Purified
Cytokeratin 10/13 Antibody (clone SPM262)
Catalog No : V3054
Applications : IHC-P
Reactivity : Human
Format : Purified
KRT10 Antibody / Cytokeratin 10 (clone LH2)
Catalog No : V2174
Applications : WB, IHC-P
Reactivity : Human, Mouse
Format : Purified
KRT10 Antibody / Cytokeratin 10 (clone KRT10/844)
Catalog No : V2666
Applications : WB, IHC-P
Reactivity : Human, Mouse
Format : Purified
KRT10 Antibody / Cytokeratin 10 (clone KRT10/1275)
Catalog No : V3181
Applications : IHC-P
Reactivity : Human
Format : Purified
KRT10 Antibody / Cytokeratin 10 (clone DE-K10)
Catalog No : V3188
Applications : IHC-P
Reactivity : Human
Format : Purified
KRT10 Antibody / Cytokeratin 10 (clone SPM623)
Catalog No : V3310
Applications : IHC-P
Reactivity : Human
Format : Purified
KRT10 Antibody / Cytokeratin 10 (clone rKRT10/1275)
Catalog No : V3602
Applications : IHC-P
Reactivity : Human
Format : Purified
Recmousemono
KRT10 Antibody / Cytokeratin 10 (clone rKRT10/844)
Catalog No : V3603
Applications : IHC-P
Reactivity : Human
Format : Purified
Recmousemono
KRT10 Antibody / Cytokeratin 10 (clone KRT10/1948R)
Catalog No : V3632
Applications : IHC-P, WB
Reactivity : Human, Mouse, Rat
Format : Purified
Recrabbitmono