• Tel: 858.663.9055
  • SeparatorEmail: info@nsjbio.com
  • Tel: 858.663.9055
  • Email: info@nsjbio.com
Home >> Antibodies >> Cytokeratin 10 Antibody

Cytokeratin 10 Antibody [clone LH2] (V2174)

  Catalog No Formulation Size Price (USD)  
Image V2174-100UG 0.2 mg/ml in 1X PBS with 0.1 mg/ml BSA (US sourced) and 0.05% sodium azide 100 ug 559
Image
V2174-20UG 0.2 mg/ml in 1X PBS with 0.1 mg/ml BSA (US sourced) and 0.05% sodium azide 20 ug 259
Image
V2174SAF-100UG 1 mg/ml in 1X PBS; BSA free, sodium azide free 100 ug 559
Image
V2174IHC-7ML Prediluted in 1X PBS with 0.1 mg/ml BSA (US sourced) and 0.05% sodium azide; *For IHC use only* 7 ml 559
Bulk quote request
Western blot testing of human thymus lysate with Cytokeratin 10 antibody. Predicted molecular weight ~59 kDa.
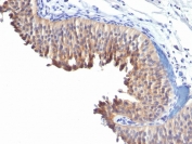
IHC testing of human bladder carcinoma with Cytokeratin 10 antibody (clone LH2). HIER: boil tissue sections in pH 9 10mM Tris with 1mM EDTA for 20 min and allow to cool before testing.
SDS-PAGE analysis of purified, BSA-free Cytokeratin 10 antibody (clone LH2) as confirmation of integrity and purity.
Species Reactivity Human, Mouse
Format Purified
Host Mouse
Clonality Monoclonal (mouse origin)
Isotype Mouse IgG1, kappa
Clone Name LH2
Purity Protein G affinity chromatography
Buffer 1X PBS, pH 7.4
Gene ID 3858
Localization Cytoplasmic
Applications Western Blot : 1-2ug/ml
Immunohistochemistry (FFPE) : 0.5-1ug/ml for 30 min at RT
Limitations This Cytokeratin 10 antibody is available for research use only.
Review this product on BioCompare and get a $20 Amazon gift card

Related Products

Description

Cytokeratin 10 is expressed in all suprabasal layers of the epidermis. In the epidermis, expression of cytokeratin 10 strictly parallels the extent of differentiation; it is absent in the basal layer, appears in the first suprabasal layers and increases in concentration towards the granular layer. However, cytokeratin 10 is rarely detected in early stages of vulvar squamous carcinomas (tumors less than 2 cm, clinical stage I) regardless of the tumor grade. In larger and more advanced tumors (greater than 2 cm, clinical stages II and III), cytokeratin 10 is detected very frequently. Expression of cytokeratin 10 is related to maturation of malignant keratinocytes, being preferentially detected in more-differentiated parts.

Application Notes

The concentration stated for each application is a general starting point. Variations in protocols, secondaries and substrates may require the antibody to be titered up or down for optimal performance.

1. Staining of formalin-fixed tissues requires boiling tissue sections in 1mM EDTA, pH 8-9, for 10-20 min followed by cooling at RT for 20 minutes.
2. The prediluted format is supplied in a dropper bottle and is optimized for use in IHC. After epitope retrieval step (if required), drip mAb solution onto the tissue section and incubate at RT for 30 min.

Immunogen

Skin extract from a human psoriasis patient was used as the immunogen for this Cytokeratin 10 antibody.

Storage

Store the Cytokeratin 10 antibody at 2-8oC (with azide) or aliquot and store at -20oC or colder (without azide).

Alternate Names

BCIE, BIE, EHK, Keratin Type I Cytoskeletal 10, KRT10, Cytokeratin 10 antibody

Cross
Bulk Quote Request Form
Name*:
Organization*:
Email*:
Phone Number*:
Catalog No.*:
Comments and Specifics(amount, formulation, etc.)*:
Validation code: Captchapackage Image


Can't read the image? click here to refresh.
    *required field

Your bulk quote request has been submitted successfully!

Please contact us if you have any questions.