• Tel: 858.663.9055
  • SeparatorEmail: info@nsjbio.com
  • Tel: 858.663.9055
  • Email: info@nsjbio.com
Home >> Antibodies >> Cytokeratin 10 Antibody

Cytokeratin 10 Antibody [clone DE-K10] (V3188)

  Catalog No Formulation Size Price (USD)  
Image V3188-100UG 0.2 mg/ml in 1X PBS with 0.1 mg/ml BSA (US sourced) and 0.05% sodium azide 100 ug 559
Image
V3188-20UG 0.2 mg/ml in 1X PBS with 0.1 mg/ml BSA (US sourced) and 0.05% sodium azide 20 ug 259
Image
V3188SAF-100UG 1 mg/ml in 1X PBS; BSA free, sodium azide free 100 ug 559
Bulk quote request
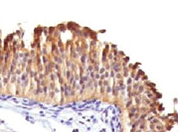
IHC testing of human bladder carcinoma with Cytokeratin 10 antibody (clone DE-K10).
Species Reactivity Human
Format Purified
Host Mouse
Clonality Monoclonal (mouse origin)
Isotype Mouse IgG1, kappa
Clone Name DE-K10
Purity Protein G affinity chromatography
Buffer 1X PBS, pH 7.4
Gene ID 3858
Localization Cytoplasmic
Applications Immunohistochemistry (FFPE) : 1-2ug/ml for 30 min at RT
Limitations This Cytokeratin 10 antibody is available for research use only.
Review this product on BioCompare and get a $20 Amazon gift card

Related Products

Description

Keratin-10 is a member of the type I (acidic) cytokeratin family, which belongs to the superfamily of intermediate filament (IF) proteins. Keratins are heteropolymeric structural proteins which form the intermediate filament. These filaments, along with actin microfilaments and microtubules, compose the cytoskeleton of epithelial cells. Mutations in this gene are associated with epidermolytic hyperkeratosis. [Wiki]

Application Notes

Optimal dilution of the Cytokeratin 10 antibody should be determined by the researcher.

1. Staining of FFPE tissue requires boiling sections in 10mM citrate buffer, pH6, for 10-20 min followed by cooling at RT for 20 min.

Immunogen

A cytoskeletal preparation from human ectocervical epithelium was used as the immunogen for this Cytokeratin 10 antibody.

Storage

Store the Cytokeratin 10 antibody at 2-8oC (with azide) or aliquot and store at -20oC or colder (without azide).

Cross
Bulk Quote Request Form
Name*:
Organization*:
Email*:
Phone Number*:
Catalog No.*:
Comments and Specifics(amount, formulation, etc.)*:
Validation code: Captchapackage Image


Can't read the image? click here to refresh.
    *required field

Your bulk quote request has been submitted successfully!

Please contact us if you have any questions.