• Tel: 858.663.9055
  • SeparatorEmail: info@nsjbio.com
  • Tel: 858.663.9055
  • Email: info@nsjbio.com
Home >> Antibodies >> Wilms Tumor 1 Antibody / WT1

Wilms Tumor 1 Antibody / WT1 [clone 6F-H2] (V2930)

  Catalog No Formulation Size Price (USD)  
Image V2930-100UG 0.2 mg/ml in 1X PBS with 0.1 mg/ml BSA (US sourced) and 0.05% sodium azide 100 ug 559
Image
V2930-20UG 0.2 mg/ml in 1X PBS with 0.1 mg/ml BSA (US sourced) and 0.05% sodium azide 20 ug 259
Image
V2930SAF-100UG 1 mg/ml in 1X PBS; BSA free, sodium azide free 100 ug 559
Image
V2930IHC-7ML Prediluted in 1X PBS with 0.1 mg/ml BSA (US sourced) and 0.05% sodium azide; *For IHC use only* 7 ml 559
Bulk quote request
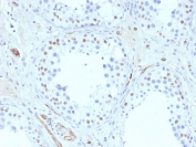
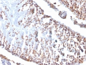
IHC testing of FFPE human mesothelioma with Wilms Tumor 1 antibody (clone 6F-H2). Required HIER: boil tissue sections in pH 9 10mM Tris with 1mM EDTA for 10-20 min followed by cooling at RT for 20 min.
IHC testing of FFPE human testis with Wilms Tumor 1 antibody (clone 6F-H2). Required HIER: boil tissue sections in pH 9 10mM Tris with 1mM EDTA for 10-20 min followed by cooling at RT for 20 min.
IHC testing of FFPE rat testis with Wilms Tumor 1 antibody (clone 6F-H2). Required HIER: boil tissue sections in pH 9 10mM Tris with 1mM EDTA for 10-20 min followed by cooling at RT for 20 min.
SDS-PAGE analysis of purified, BSA-free Wilms Tumor 1 antibody (clone 6F-H2) as confirmation of integrity and purity.
Availability 1-3 business days
Species Reactivity Human, Rat
Format Purified
Host Mouse
Clonality Monoclonal (mouse origin)
Isotype Mouse IgG1, kappa
Clone Name 6F-H2
Purity Protein G affinity chromatography
UniProt P19544
Localization Nuclear, cytoplasmic
Applications Immunohistochemistry (FFPE) : 1-2ug/ml for 30 min at RT
Limitations This Wilms Tumor 1 antibody is available for research use only.
Review this product on BioCompare and get a $20 Amazon gift card

Related Products

Description

Wilms Tumor 1 antibody clone 6F-H2 is a monoclonal antibody that detects WT1, a zinc finger transcription factor originally identified in Wilms tumor, a pediatric kidney malignancy. WT1 regulates genes involved in development, differentiation, and survival, particularly in kidney, gonads, and hematopoietic tissues. NSJ Bioreagents provides this antibody as a high-quality reagent for oncology, hematology, and developmental biology research.

The antibody produces strong nuclear staining in tissues where WT1 is expressed, including podocytes of the kidney and mesothelial cells. In diagnostic pathology, WT1 detection is widely used to identify Wilms tumor, mesotheliomas, and certain leukemias. It supports differentiation of these tumors from morphologically similar neoplasms and provides valuable information in tumor classification panels.

In oncology, WT1 antibody clone 6F-H2 has been applied to studies of tumor biology and prognosis. WT1 overexpression has been linked to aggressive forms of leukemia, ovarian carcinoma, and mesothelioma. This antibody enables detailed assessment of WT1 expression patterns, supporting both experimental models and clinical research.

In developmental biology, WT1 is studied for its critical role in kidney and gonadal formation. Detecting WT1 helps map transcriptional programs during embryogenesis and contributes to understanding congenital syndromes affecting genitourinary development.

The antibody has also been used in immunotherapy research, as WT1 peptides are being explored as targets for cancer vaccines. Reliable detection of WT1 expression ensures appropriate selection of tumor models for therapeutic development.

Validated in tissue-based and cell-based systems, the antibody consistently produces specific nuclear staining with minimal background. Alternate names include WT1 antibody, Wilms tumor suppressor protein antibody, and zinc finger protein WT1 antibody.

Application Notes

Optimal dilution of the Wilms Tumor 1 antibody should be determined by the researcher.

1. The prediluted format is supplied in a dropper bottle and is optimized for use in IHC. After epitope retrieval step (if required), drip mAb solution onto the tissue section and incubate at RT for 30 min.

Immunogen

A recombinant protein corresponding to residues 1-181 from the human protein was used as the immunogen for the Wilms Tumor 1 antibody.

Storage

Store the Wilms Tumor 1 antibody at 2-8oC (with azide) or aliquot and store at -20oC or colder (without azide).

Cross
Bulk Quote Request Form
Name*:
Organization*:
Email*:
Phone Number*:
Catalog No.*:
Comments and Specifics(amount, formulation, etc.)*:
Validation code: Captchapackage Image


Can't read the image? click here to refresh.
    *required field

Your bulk quote request has been submitted successfully!

Please contact us if you have any questions.