• Tel: 858.663.9055
  • SeparatorEmail: info@nsjbio.com
  • Tel: 858.663.9055
  • Email: info@nsjbio.com
Home >> Antibodies >> WT1 Antibody (Wilms Tumor protein)

WT1 Antibody (Wilms Tumor protein) (F41819)

  Catalog No Formulation Size Price (USD)  
Image F41819-0.4ML In 1X PBS, pH 7.4, with 0.09% sodium azide 0.4 ml 439
Image
F41819-0.08ML In 1X PBS, pH 7.4, with 0.09% sodium azide 0.08 ml 205
Bulk quote request
WT1 antibody western blot analysis in MCF-7 lysate. Predicted molecular weight: ~49 kDa
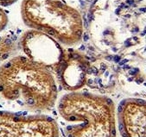
WT1 antibody immunohistochemistry analysis in formalin fixed and paraffin embedded human kidney tissue.
Confocal immunofluorescent analysis of WT1 antibody with MCF-7 cells followed by Alexa Fluor 488-conjugated goat anti-rabbit lgG (green). DAPI was used to stain the nuclei (blue).
WT1 antibody flow cytometric analysis of MCF-7 cells (right histogram) compared to a negative control (left histogram). FITC-conjugated goat-anti-rabbit secondary Ab was used for the analysis.
Availability 1-3 business days
Species Reactivity Human
Predicted Reactivity Mouse, Pig, Rat, Xenopus
Format Antigen affinity purified
Host Rabbit
Clonality Polyclonal (rabbit origin)
Isotype Rabbit Ig
Purity Antigen affinity
UniProt P19544
Localization Nuclear, cytoplasmic
Applications Western Blot : 1:1000
IHC (Paraffin) : 1:50-1:100
Immunofluorescence : 1:10-1:50
Flow Cytometry : 1:10-1:50
Limitations This WT1 antibody is available for research use only.
Review this product on BioCompare and get a $20 Amazon gift card

Related Products

Description

Wilms Tumor protein is a transcription factor that contains four zinc-finger motifs at the C-terminus and a proline/glutamine-rich DNA-binding domain at the N-terminus. It has an essential role in the normal development of the urogenital system, and it is mutated in a small subset of patients with Wilm's tumors. This gene exhibits complex tissue-specific and polymorphic imprinting pattern, with biallelic, and monoallelic expression from the maternal and paternal alleles in different tissues. Multiple transcript variants have been described. In several variants, there is evidence for the use of a non-AUG (CUG) translation initiation site upstream of and in-frame with the first AUG. Authors of PMID:7926762 also provide evidence that WT1 mRNA undergoes RNA editing in human and rat, and that this process is tissue-restricted and developmentally regulated. [provided by RefSeq].

Application Notes

Titration of the WT1 antibody may be required due to differences in protocols and secondary/substrate sensitivity.

Immunogen

A portion of amino acids 346-375 from the human protein was used as the immunogen for this WT1 antibody.

Storage

Aliquot the WT1 antibody and store frozen at -20oC or colder. Avoid repeated freeze-thaw cycles.

Cross
Bulk Quote Request Form
Name*:
Organization*:
Email*:
Phone Number*:
Catalog No.*:
Comments and Specifics(amount, formulation, etc.)*:
Validation code: Captchapackage Image


Can't read the image? click here to refresh.
    *required field

Your bulk quote request has been submitted successfully!

Please contact us if you have any questions.