• Tel: 858.663.9055
  • SeparatorEmail: info@nsjbio.com
  • Tel: 858.663.9055
  • Email: info@nsjbio.com
Home >> Antibodies >> Recombinant WT1 Antibody / Wilms Tumor 1

Recombinant WT1 Antibody / Wilms Tumor 1 [clone rWT1/6908] (V9173)

  Catalog No Formulation Size Price (USD)  
Image V9173-100UG 0.2 mg/ml in 1X PBS with 0.1 mg/ml BSA (US sourced), 0.05% sodium azide 100 ug 559
Image
V9173-20UG 0.2 mg/ml in 1X PBS with 0.1 mg/ml BSA (US sourced), 0.05% sodium azide 20 ug 259
Image
V9173SAF-100UG 1 mg/ml in 1X PBS; BSA free, sodium azide free 100 ug 559
Microvalidated Recmousemono
Bulk quote request
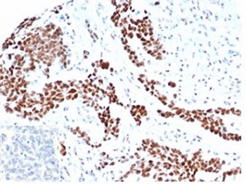
IHC staining of FFPE human ovarian carcinoma tissue with recombinant WT1 antibody (clone rWT1/6908). Negative control inset: PBS instead of primary antibody to control for secondary binding. HIER: boil tissue sections in pH 9 10mM Tris with 1mM EDTA for 20 min and allow to cool before testing.
SDS-PAGE analysis of purified, BSA-free recombinant WT1 antibody (clone rWT1/6908) as confirmation of integrity and purity.
Availability 1-3 business days
Species Reactivity Human
Format Purified
Host Mouse
Clonality Recombinant Mouse Monoclonal
Isotype Mouse IgG1, kappa
Clone Name rWT1/6908
Purity Protein A/G affinity
UniProt P19544
Localization Nucleus and cytoplasm
Applications Immunohistochemistry (FFPE) : 1-2ug/ml
Limitations This recombinant WT1 antibody is available for research use only.
Review this product on BioCompare and get a $20 Amazon gift card

Related Products

Description

The WT1 gene located at chromosome 11p13 codes for a transcription factor, a DNA-binding nucleoprotein, that plays a role primarily in the development of genitourinary organs. There are at least eight isoforms ranging between 52 and 62kDa produced by a combination of alternative splicing and RNA editing. WT1 is synthesized and reside in the cytoplasm in an inactive form. When activated through phosphorylation it is translocated to the nucleus. In tumor tissues, WT1 is detected in tumor cells of Wilms Tumor (also known as nephroblastoma) and mesothelioma. Additionally, WT1 expression has been found in ovarian serous carcinomas and some breast carcinomas. WT1 is particularly used for distinguishing malignant mesothelioma and ovarian serous carcinoma from non-serous carcinomas.

Application Notes

Optimal dilution of the recombinant WT1 antibody should be determined by the researcher.

Immunogen

A portion of amino acids 1-100 was used as the immunogen for the recombinant WT1 antibody.

Storage

Aliquot the recombinant WT1 antibody and store frozen at -20oC or colder. Avoid repeated freeze-thaw cycles.

Cross
Bulk Quote Request Form
Name*:
Organization*:
Email*:
Phone Number*:
Catalog No.*:
Comments and Specifics(amount, formulation, etc.)*:
Validation code: Captchapackage Image


Can't read the image? click here to refresh.
    *required field

Your bulk quote request has been submitted successfully!

Please contact us if you have any questions.