• Tel: 858.663.9055
  • SeparatorEmail: info@nsjbio.com
  • Tel: 858.663.9055
  • Email: info@nsjbio.com
Home >> Antibodies >> WT1 Antibody Cocktail / Wilms Tumor 1

WT1 Antibody Cocktail / Wilms Tumor 1 [clone WT1/857 + 6F-H2] (V2933)

  Catalog No Formulation Size Price (USD)  
Image V2933-100UG 0.2 mg/ml in 1X PBS with 0.1 mg/ml BSA (US sourced) and 0.05% sodium azide 100 ug 559
Image
V2933-20UG 0.2 mg/ml in 1X PBS with 0.1 mg/ml BSA (US sourced) and 0.05% sodium azide 20 ug 259
Image
V2933SAF-100UG 1 mg/ml in 1X PBS; BSA free, sodium azide free 100 ug 559
Image
V2933IHC-7ML Prediluted in 1X PBS with 0.1 mg/ml BSA (US sourced) and 0.05% sodium azide; *For IHC use only* 7 ml 559
Bulk quote request
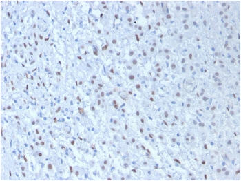
IHC testing of FFPE human mesothelioma with WT1 antibody cocktail (clone WT1/857 + 6F-H2). Required HIER: boil tissue sections in pH 9 10mM Tris with 1mM EDTA for 10-20 min followed by cooling at RT for 20 min.
Availability 1-3 business days
Species Reactivity Human
Format Purified
Host Mouse
Clonality Monoclonal (mouse origin)
Isotype Mouse IgG1, kappa
Clone Name WT1/857 + 6F-H2
Purity Protein G affinity chromatography
UniProt P19544
Localization Nuclear, cytoplasmic
Applications Immunohistochemistry (FFPE) : 1-2ug/ml for 30 min at RT
Limitations This WT1 antibody cocktail is available for research use only.
Review this product on BioCompare and get a $20 Amazon gift card

Description

WT1 antibody clones WT1/857 and 6F-H2 are monoclonal antibodies that together provide sensitive detection of Wilms tumor protein, a transcription factor critical in development and cancer. WT1 regulates cell proliferation, apoptosis, and organogenesis, with expression in kidney, gonads, and mesothelial tissues. NSJ Bioreagents offers this antibody blend for oncology, hematology, and developmental research.

The antibody combination produces robust nuclear staining in podocytes, mesothelial cells, and hematopoietic tissues. In diagnostic pathology, this dual-clone approach enhances detection of WT1 across tumor types. It is frequently applied in panels for distinguishing mesothelioma from adenocarcinoma and in the evaluation of Wilms tumor and leukemias.

In oncology, WT1 antibodies support research into tumorigenesis and prognosis. Overexpression of WT1 has been correlated with aggressive leukemia, ovarian carcinoma, and mesothelioma. This antibody blend allows consistent detection in diverse tissues and has been applied to studies of tumor classification and biomarker evaluation.

In developmental biology, WT1 detection is vital for mapping kidney and gonadal development. These antibodies reveal transcriptional networks driving organogenesis and provide insights into congenital malformations. Their use extends to models of embryogenesis where WT1 is central to lineage determination.

In immunotherapy research, WT1 peptides are being evaluated as targets for tumor vaccines. By confirming WT1 expression in relevant tumor samples, this antibody combination supports translational studies aimed at developing new therapeutic approaches.

Validated across tissue-based and cell-based assays, the antibodies deliver reproducible nuclear staining with minimal background. Alternate names include Wilms tumor 1 protein antibody, zinc finger transcription factor WT1 antibody, and tumor suppressor WT1 antibody.

Application Notes

Optimal dilution of the WT1 antibody cocktail should be determined by the researcher.

1. Staining of formalin-fixed tissues requires boiling tissue sections in 10mM Citrate buffer, pH 6.0, for 10-20 min followed by cooling at RT for 20 min.
2. The prediluted format is supplied in a dropper bottle and is optimized for use in IHC. After epitope retrieval step (if required), drip mAb solution onto the tissue section and incubate at RT for 30 min.

Immunogen

Recombinant full length human protein (WT1/857) and amino acids 1-181 of human Wilms Tumor (6F-H2) were used as the immunogen for the WT1 antibody cocktail.

Storage

Store the WT1 antibody cocktail at 2-8oC (with azide) or aliquot and store at -20oC or colder (without azide).

Cross
Bulk Quote Request Form
Name*:
Organization*:
Email*:
Phone Number*:
Catalog No.*:
Comments and Specifics(amount, formulation, etc.)*:
Validation code: Captchapackage Image


Can't read the image? click here to refresh.
    *required field

Your bulk quote request has been submitted successfully!

Please contact us if you have any questions.