• Tel: 858.663.9055
  • SeparatorEmail: info@nsjbio.com
  • Tel: 858.663.9055
  • Email: info@nsjbio.com
Home >> Antibodies >> Recombinant WT1 Antibody / Wilm's Tumor

Recombinant WT1 Antibody / Wilm's Tumor [clone rWT1/857] (V3610)

  Catalog No Formulation Size Price (USD)  
Image V3610-100UG 0.2 mg/ml in 1X PBS with 0.1 mg/ml BSA (US sourced) and 0.05% sodium azide 100 ug 559
Image
V3610-20UG 0.2 mg/ml in 1X PBS with 0.1 mg/ml BSA (US sourced) and 0.05% sodium azide 20 ug 259
Image
V3610SAF-100UG 1 mg/ml in 1X PBS; BSA free, sodium azide free 100 ug 559
Image
V3610IHC-7ML Prediluted in 1X PBS with 0.1 mg/ml BSA (US sourced) and 0.05% sodium azide; *For IHC use only* 7 ml 559
Microvalidated Recmousemono
Bulk quote request
IHC testing of FFPE human mesothelioma with recombinant WT1 antibody (clone rWT1/857). Required HIER: boil tissue sections in pH 9 10mM Tris with 1mM EDTA for 10-20 min followed by cooling at RT for 20 min.
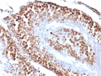
IHC testing of FFPE human testis with recombinant WT1 antibody (clone rWT1/857). Required HIER: boil tissue sections in pH 9 10mM Tris with 1mM EDTA for 10-20 min followed by cooling at RT for 20 min.
IHC testing of FFPE rat testis with recombinant WT1 antibody (clone rWT1/857). Required HIER: boil tissue sections in pH 9 10mM Tris with 1mM EDTA for 10-20 min followed by cooling at RT for 20 min.
Analysis of HuProt(TM) microarray containing more than 19,000 full-length human proteins using recombinant WT1 antibody (clone rWT1/857). These results demonstrate the foremost specificity of the rWT1/857 mAb.
Z- and S- score: The Z-score represents the strength of a signal that an antibody (in combination with a fluorescently-tagged anti-IgG secondary Ab) produces when binding to a particular protein on the HuProt(TM) array. Z-scores are described in units of standard deviations (SD's) above the mean value of all signals generated on that array. If the targets on the HuProt(TM) are arranged in descending order of the Z-score, the S-score is the difference (also in units of SD's) between the Z-scores. The S-score therefore represents the relative target specificity of an Ab to its intended target.
SDS-PAGE analysis of purified, BSA-free recombinant WT1 antibody (clone rWT1/857) as confirmation of integrity and purity.
Availability 1-3 business days
Species Reactivity Human
Format Purified
Host Mouse
Clonality Recombinant Mouse Monoclonal
Isotype Mouse IgG1, kappa
Clone Name rWT1/857
Purity Protein G affinity chromatography
UniProt P19544
Localization Nuclear, cytoplasmic
Applications Immunohistochemistry (FFPE) : 1-2ug/ml for 30 min at RT
Limitations This recombinant WT1 antibody is available for research use only.
Review this product on BioCompare and get a $20 Amazon gift card

Related Products

Description

Recombinant WT1 antibody is designed to detect Wilms tumor 1 protein, a zinc finger transcription factor encoded by the WT1 gene. WT1 was first identified as a tumor suppressor in Wilms tumor, a pediatric kidney cancer, but it is now recognized as a multifunctional protein with roles in development, transcriptional regulation, and disease. WT1 expression is essential during embryogenesis for kidney, gonad, and spleen formation. It continues to function in adult tissues, particularly in podocytes of the kidney glomerulus.

WT1 acts as a transcriptional regulator that can activate or repress target genes depending on context. Its zinc finger domains bind to DNA sequences, while alternative splicing and post translational modifications expand its functional diversity. Dysregulation of WT1 has been implicated in various cancers, including leukemias and solid tumors, where it may act as either a tumor suppressor or an oncogene depending on cellular context.

The Recombinant WT1 antibody clone rWT1/857 provides reliable and specific detection of this transcription factor. Recombinant production ensures reproducibility and eliminates lot to lot variation. Clone rWT1/857 has been applied in cancer biology to investigate WT1 expression in leukemias and kidney tumors, as well as in developmental biology to explore its roles in organogenesis. Its nuclear localization pattern supports precise detection in tissues.

Research using clone rWT1/857 has clarified how WT1 regulates gene networks that control cell proliferation, differentiation, and survival. Elevated expression of WT1 is associated with poor prognosis in certain cancers, while germline mutations contribute to syndromes affecting urogenital development. The antibody continues to support translational research aimed at using WT1 as a biomarker and therapeutic target.

NSJ Bioreagents supplies this Recombinant WT1 antibody to advance studies in developmental biology, oncology, and transcriptional regulation. The protein is also described as Wilms tumor protein 1 antibody, zinc finger protein WT1 antibody, transcription factor WT1 antibody, and nephroblastoma associated gene antibody, illustrating the diverse nomenclature associated with this target.

Application Notes

Optimal dilution of the recombinant WT1 antibody should be determined by the researcher.

1. The prediluted format is supplied in a dropper bottle and is optimized for use in IHC. After epitope retrieval step (if required), drip mAb solution onto the tissue section and incubate at RT for 30 min.
2. This is the recombinant version of clone WT1/857.

Immunogen

A recombinant human protein was used as the immunogen for the recombinant WT1 antibody.

Storage

Store the recombinant WT1 antibody at 2-8oC (with azide) or aliquot and store at -20oC or colder (without azide).

Cross
Bulk Quote Request Form
Name*:
Organization*:
Email*:
Phone Number*:
Catalog No.*:
Comments and Specifics(amount, formulation, etc.)*:
Validation code: Captchapackage Image


Can't read the image? click here to refresh.
    *required field

Your bulk quote request has been submitted successfully!

Please contact us if you have any questions.