• Tel: 858.663.9055
  • SeparatorEmail: info@nsjbio.com
  • Tel: 858.663.9055
  • Email: info@nsjbio.com
Home >> Antibodies >> Recombinant Wilms Tumor 1 Antibody / WT1

Recombinant Wilms Tumor 1 Antibody / WT1 [clone WT1/3477R] (V8926)

  Catalog No Formulation Size Price (USD)  
Image V8926-100UG 0.2 mg/ml in 1X PBS with 0.1 mg/ml BSA (US sourced), 0.05% sodium azide 100 ug 559
Image
V8926-20UG 0.2 mg/ml in 1X PBS with 0.1 mg/ml BSA (US sourced), 0.05% sodium azide 20 ug 259
Image
V8926SAF-100UG 1 mg/ml in 1X PBS; BSA free, sodium azide free 100 ug 559
Microvalidated Recrabbitmono
Bulk quote request
IHC staining of FFPE human kidney tissue with recombinant Wilms Tumor 1 antibody (clone WT1/3477R). HIER: boil tissue sections in pH 9 10mM Tris with 1mM EDTA for 20 min and allow to cool before testing.
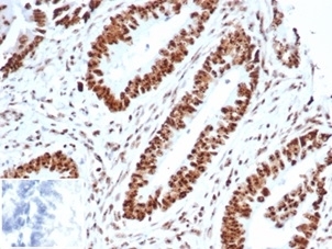
IHC staining of FFPE human ovarian carcinoma tissue with recombinant Wilms Tumor 1 antibody (clone WT1/3477R). Negative control inset: PBS instead of primary antibody to control for secondary binding. HIER: boil tissue sections in pH 9 10mM Tris with 1mM EDTA for 20 min and allow to cool before testing.
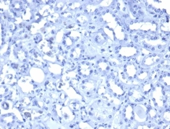
Negative control: IHC staining of FFPE human kidney tissue PBS instead of primary antibody. HIER: boil tissue sections in pH 9 10mM Tris with 1mM EDTA for 20 min and allow to cool before testing.
Availability 1-3 business days
Species Reactivity Human
Format Purified
Host Rabbit
Clonality Recombinant Rabbit Monoclonal
Isotype Rabbit IgG
Clone Name WT1/3477R
Purity Protein A/G affinity
UniProt P19544
Localization Nucleus and cytoplasm
Applications Immunohistochemistry (FFPE) : 1-2ug/ml
Limitations This recombinant Wilms Tumor 1 antibody is available for research use only.
Review this product on BioCompare and get a $20 Amazon gift card

Related Products

Description

The WT1 gene located at chromosome 11p13 codes for a transcription factor, a DNA-binding nucleoprotein, that plays a role primarily in the development of genitourinary organs. There are at least eight isoforms ranging between 52 and 62kDa produced by a combination of alternative splicing and RNA editing. WT1 is synthesized and reside in the cytoplasm in an inactive form. When activated through phosphorylation it is translocated to the nucleus.

Application Notes

Optimal dilution of the recombinant Wilms Tumor 1 antibody should be determined by the researcher.

Immunogen

A portion of amino acids 1-100 was used as the immunogen for the recombinant Wilms Tumor 1 antibody.

Storage

Aliquot the recombinant Wilms Tumor 1 antibody and store frozen at -20oC or colder. Avoid repeated freeze-thaw cycles.

Cross
Bulk Quote Request Form
Name*:
Organization*:
Email*:
Phone Number*:
Catalog No.*:
Comments and Specifics(amount, formulation, etc.)*:
Validation code: Captchapackage Image


Can't read the image? click here to refresh.
    *required field

Your bulk quote request has been submitted successfully!

Please contact us if you have any questions.