• Tel: 858.663.9055
  • SeparatorEmail: info@nsjbio.com
  • Tel: 858.663.9055
  • Email: info@nsjbio.com
Home >> Antibodies >> Wilms Tumor 1 Antibody / WT1

Wilms Tumor 1 Antibody / WT1 [clone WT1/7450] (V4135)

  Catalog No Formulation Size Price (USD)  
Image V4135-100UG 0.2 mg/ml in 1X PBS with 0.1 mg/ml BSA (US sourced), 0.05% sodium azide 100 ug 559
Image
V4135-20UG 0.2 mg/ml in 1X PBS with 0.1 mg/ml BSA (US sourced), 0.05% sodium azide 20 ug 259
Image
V4135SAF-100UG 1 mg/ml in 1X PBS; BSA free, sodium azide free 100 ug 559
Bulk quote request
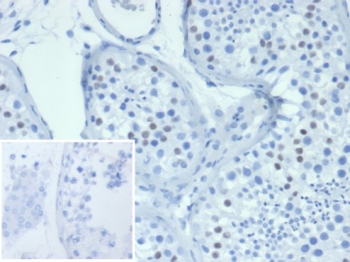
IHC staining of FFPE human testis tissue with Wilms Tumor antibody (clone WT1/7450). Inset: PBS used in place of primary Ab (secondary Ab negative control). HIER: boil tissue sections in pH 9 10mM Tris with 1mM EDTA for 20 min and allow to cool before testing.
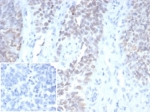
IHC staining of FFPE human ovarian carcinoma tissue with Wilms Tumor antibody (clone WT1/7450). Inset: PBS used in place of primary Ab (secondary Ab negative control). HIER: boil tissue sections in pH 9 10mM Tris with 1mM EDTA for 20 min and allow to cool before testing.
Availability 1-3 business days
Species Reactivity Human
Format Purified
Host Mouse
Clonality Monoclonal (mouse origin)
Isotype Mouse IgG1, kappa
Clone Name WT1/7450
Purity Protein A/G affinity
UniProt P19544
Localization Nucleus, Cytoplasm
Applications Immunohistochemistry (FFPE) : 1-2ug/ml for 30 minutes at RT
Limitations This Wilms Tumor 1 antibody is available for research use only.
Review this product on BioCompare and get a $20 Amazon gift card

Related Products

Description

The WT1 gene located at chromosome 11p13 codes for a transcription factor, a DNA-binding nucleoprotein, that plays a role primarily in the development of genitourinary organs. There are at least eight isoforms ranging between 52 and 62kDa produced by a combination of alternative splicing and RNA editing. WT1 is synthesized and reside in the cytoplasm in an inactive form. When activated through phosphorylation it is translocated to the nucleus. WT1 influences cell proliferation by suppressing bcl-2 and regulating cadherin and p53. In normal epithelia, nuclear WT1 expression is largely restricted to ovary (surface epithelium and inclusion cysts) and fallopian tube, while WT1 is not found in endometrial or cervical epithelium. As regards nonepithelial cells, nuclear WT1 is found in mesothelium and some sub mesothelial stromal cells, stromal cells of the female genital tract, testicular non-germinal cells, and kidney (podocytes). In tumor tissues, WT1 is detected in tumor cells of Wilms Tumor (also known as nephroblastoma) and mesothelioma. Additionally, WT1 expression has been found in ovarian serous carcinomas and some breast carcinomas.WT1 is particularly used for distinguishing malignant mesothelioma and ovarian serous carcinoma from nonserous carcinomas. As for malignant mesothelioma, calretinin and WT1 are superior to cytokeratin 5/6, N-cadherin and thrombomodulin. WT1 is also applicable for the differential diagnostic of small cell childhood tumors.

Application Notes

Optimal dilution of the Wilms Tumor 1 antibody should be determined by the researcher.

Immunogen

A recombinant partial protein (within amino acids 150-350) from the human protein was used as the immunogen for the Wilms Tumor 1 antibody.

Storage

Aliquot the Wilms Tumor 1 antibody and store frozen at -20oC or colder. Avoid repeated freeze-thaw cycles.

Cross
Bulk Quote Request Form
Name*:
Organization*:
Email*:
Phone Number*:
Catalog No.*:
Comments and Specifics(amount, formulation, etc.)*:
Validation code: Captchapackage Image


Can't read the image? click here to refresh.
    *required field

Your bulk quote request has been submitted successfully!

Please contact us if you have any questions.