• Tel: 858.663.9055
  • SeparatorEmail: info@nsjbio.com
  • Tel: 858.663.9055
  • Email: info@nsjbio.com
Home >> Antibodies >> Histone H1 Antibody / Nucleosome Spacing Linker DNA Antibody

Histone H1 Antibody / Nucleosome Spacing Linker DNA Antibody [clone 1415-1] (V2567)

  Catalog No Formulation Size Price (USD)  
Image V2567-100UG 0.2 mg/ml in 1X PBS with 0.1 mg/ml BSA (US sourced) and 0.05% sodium azide 100 ug 559
Image
V2567-20UG 0.2 mg/ml in 1X PBS with 0.1 mg/ml BSA (US sourced) and 0.05% sodium azide 20 ug 259
Image
V2567SAF-100UG 1 mg/ml in 1X PBS; BSA free, sodium azide free 100 ug 559
Image
V2567IHC-7ML Prediluted in 1X PBS with 0.1 mg/ml BSA (US sourced) and 0.05% sodium azide; *For IHC use only* 7 ml 559
Bulk quote request
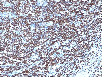
Histone H1 Antibody for IHC. Immunohistochemistry analysis of nucleosome spacing-associated histone H1 expression in FFPE human tonsil tissue using Histone H1 Antibody. Nuclear HRP-DAB brown staining is observed in lymphoid cells, consistent with localization of linker histone H1 within chromatin and its role in nucleosome spacing and linker DNA organization. Clone 1415-1 antibody demonstrates strong nuclear compartmentalization with minimal cytoplasmic staining, reflecting chromatin-associated distribution of histone H1.
IHC: Formalin-fixed, paraffin-embedded human tonsil stained with Histone antibody (clone 1415-1).
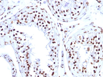
IHC: FFPE human testicular carcinoma tested with Histone H1 antibody (clone 1415-1).
IHC: FFPE human pancreas tested with Histone H1 antibody (clone 1415-1).
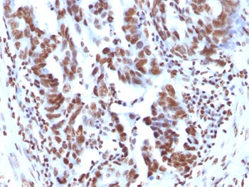
IHC: FFPE human ovarian carcinoma tested with Histone H1 antibody (clone 1415-1).
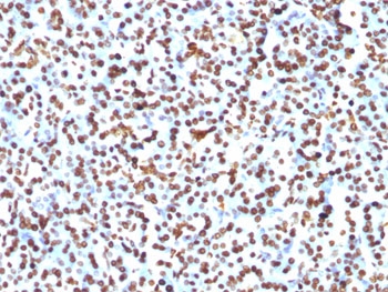
IHC: FFPE human angiosarcoma tested with Histone H1 antibody (clone 1415-1).
Histone H1 Antibody for WB. Western blot analysis of nucleosome spacing-associated histone H1 expression in human heart tissue lysate. A band is detected at approximately 22-33 kDa, consistent with the predicted molecular weight range of Histone H1 family proteins, with lower bands corresponding to unmodified forms and higher bands reflecting post-translationally modified variants. The observed band pattern aligns with the role of histone H1 in linker DNA organization and regulation of nucleosome spacing within chromatin.
Histone H1 Antibody for IF. Immunofluorescence analysis of nucleosome spacing-associated histone H1 expression in fixed human HeLa cells using Histone H1 Antibody (green). Strong nuclear staining is observed, consistent with localization of linker histone H1 within chromatin and its role in organizing linker DNA and regulating nucleosome spacing. Clone 1415-1 antibody demonstrates uniform nuclear distribution with minimal cytoplasmic signal. Actin filaments are labeled with phalloidin (red), providing cytoskeletal contrast to the chromatin-associated histone signal.
Flow cytometry testing of fixed human HeLa cells with Histone antibody (clone 1415-1); Red=isotype control, Blue= Histone antibody.
SDS-PAGE analysis of purified, BSA-free Histone antibody (clone 1415-1) as confirmation of integrity and purity.
Availability 1-3 business days
Species Reactivity Human, Mouse, Rat
Format Purified
Host Mouse
Clonality Monoclonal (mouse origin)
Isotype Mouse IgG2a, kappa
Clone Name 1415-1
Purity Protein G affinity chromatography
UniProt P07305
Localization Nuclear
Applications Flow Cytometry : 1-2ug/million cells
Immunofluorescence : 1-2ug/ml
Immunohistochemistry (FFPE) : 1-2ug/ml for 30 min at RT
Western Blot : 1-2ug/ml
Limitations This Histone antibody is available for research use only.
Review this product on BioCompare and get a $20 Amazon gift card

Related Products

  • Applications : FACS, IF, IHC-P, WB
    Reactivity : Human, Mouse, Rat
    Recrabbitmono
  • Applications : WB, ELISA, ICC
    Reactivity : Human
    Recrabbitmono
  • Applications : FACS, IF, IHC-P, WB
    Reactivity : Human, Mouse, Rat
    Citation  Citations(10)
  • Applications : IF, IHC-P, WB, FACS
    Reactivity : Human, Mouse, Rat
    Citation  Citations(2)
  • Applications : IF, IHC-P, WB, FACS
    Reactivity : Human, Rat
  • Applications : IF, IHC-P
    Reactivity : Human, Rat
  • Applications : WB, ELISA
    Reactivity : Human
    Pred. Reactivity : Mouse, Rat, Bovine, Pig, Chicken, Zebrafish, Xenopus, Drosophila, C. elegans
  • Applications : WB, ELISA
    Reactivity : Human
  • Applications : WB, ELISA
    Reactivity : Human
    Pred. Reactivity : Mouse, Rat, Bovine, Pig, Chicken, Zebrafish, Xenopus, Drosophila, C. elegans
  • Applications : WB, ELISA
    Reactivity : Human, Mouse
    Pred. Reactivity : Rat, Bovine, Pig, Chicken, Zebrafish, Rabbit, Xenopus, Drosophila, C. elegans
  • Applications : WB, ELISA
    Reactivity : Mouse
    Pred. Reactivity : Bovine, Rat
  • Applications : DB, ELISA
    Reactivity : Human
  • Applications : WB, IHC, FACS, ELISA
    Reactivity : Human
  • Applications : IHC, FACS, WB, DB, ELISA
    Reactivity : Human
  • Applications : WB, ELISA
    Reactivity : Human, Mouse
  • Applications : FACS, IF, IHC-P, WB
    Reactivity : Human, Mouse, Rat

Description

Histone H1 is a linker histone that plays a central role in regulating nucleosome spacing and linker DNA organization within chromatin. Histone H1 Antibody detects H1 protein associated with the positioning and spacing of nucleosomes along DNA, providing insight into chromatin architecture at the level of nucleosome array organization. Unlike core histones that form the nucleosome core particle, histone H1 binds to linker DNA and directly influences how nucleosomes are arranged across the genome. This antibody is part of our broader Histone H1 antibody collection, including linker histone variants, chromatin organization, chromatin accessibility, and nuclear architecture reagents for chromatin and epigenetics research.

Histone H1 antibody, also referred to as H1 antibody or linker histone antibody in the literature, is widely used to study chromatin structure at the level of nucleosome spacing and organization. By binding to DNA at the entry and exit sites of the nucleosome, histone H1 stabilizes linker DNA and helps define the distance between adjacent nucleosomes, commonly referred to as nucleosome repeat length. This function makes histone H1 a key regulator of chromatin organization beyond the nucleosome core.

Clone 1415-1 antibody is designed to detect histone H1 and has been referenced in multiple published studies, supporting its use in chromatin research applications. Clone 1415-1 antibody provides reliable detection of linker histone H1 in the context of nucleosome organization, making it particularly useful for investigating chromatin spacing and structural chromatin features across different experimental systems.

Mechanistically, histone H1 contributes to the establishment of regular nucleosome spacing by constraining DNA geometry at nucleosome boundaries. This promotes ordered chromatin arrays and ensures consistent nucleosome positioning across genomic regions. Proper nucleosome spacing is essential for maintaining chromatin integrity and influences DNA accessibility for processes such as replication, repair, and transcription.

In contrast to chromatin condensation-focused roles of histone H1, its function in nucleosome spacing represents a distinct organizational layer of chromatin regulation. Rather than simply promoting compaction, histone H1 defines the physical arrangement of nucleosomes, thereby shaping chromatin architecture at a fundamental level. This distinction is important for differentiating chromatin density from chromatin organization.

Alterations in histone H1 levels or distribution can lead to irregular nucleosome spacing, resulting in disrupted chromatin structure and altered genome organization. These changes can affect chromatin accessibility and influence downstream biological processes, highlighting the importance of H1 in maintaining balanced chromatin architecture.

Histone H1 is dynamically regulated across cell types, developmental stages, and chromatin contexts, reflecting its role in adapting chromatin structure to cellular needs. Detection of histone H1 in the context of nucleosome spacing provides valuable insight into chromatin organization and structural variability across the genome.

A mouse monoclonal antibody such as clone 1415-1 enables reliable detection of linker histone associated with nucleosome spacing and chromatin organization, supporting studies of chromatin architecture, DNA packaging, and genome structure.

Application Notes

Optimal dilution of the Histone H1 Antibody / Nucleosome Spacing Linker DNA Antibody should be determined by the researcher.

1. Staining of formalin/paraffin tissues requires boiling tissue sections in 10mM Citrate buffer, pH 6.0, for 10-20 min followed by cooling at RT for 20 min.
2. The prediluted format is supplied in a dropper bottle and is optimized for use in IHC. After epitope retrieval step (if required), drip mAb solution onto the tissue section and incubate at RT for 30 min.
3. View the recombinant form of this Histone H1 antibody.

Immunogen

Nuclei of human leukemia biopsy cells were used as the immunogen for the Histone H1 Antibody / Nucleosome Spacing Linker DNA Antibody.

Storage

Store the Histone antibody at 2-8oC (with azide) or aliquot and store at -20oC or colder (without azide).

Alternate Names

Histone H1 antibody, H1 antibody, nucleosome spacing histone H1 antibody, linker DNA histone H1 antibody

Cross
Bulk Quote Request Form
Name*:
Organization*:
Email*:
Phone Number*:
Catalog No.*:
Comments and Specifics(amount, formulation, etc.)*:
Validation code: Captchapackage Image


Can't read the image? click here to refresh.
    *required field

Your bulk quote request has been submitted successfully!

Please contact us if you have any questions.