• Tel: 858.663.9055
  • SeparatorEmail: info@nsjbio.com
  • Tel: 858.663.9055
  • Email: info@nsjbio.com
Home >> Antibodies >> Histone H1 Antibody / H1 Variant Family Chromatin Antibody

Histone H1 Antibody / H1 Variant Family Chromatin Antibody [clone HH1/957] (V2568)

  Catalog No Formulation Size Price (USD)  
Image V2568-100UG 0.2 mg/ml in 1X PBS with 0.1 mg/ml BSA (US sourced) and 0.05% sodium azide 100 ug 559
Image
V2568-20UG 0.2 mg/ml in 1X PBS with 0.1 mg/ml BSA (US sourced) and 0.05% sodium azide 20 ug 259
Image
V2568SAF-100UG 1 mg/ml in 1X PBS; BSA free, sodium azide free 100 ug 559
Image
V2568IHC-7ML Prediluted in 1X PBS with 0.1 mg/ml BSA (US sourced) and 0.05% sodium azide; *For IHC use only* 7 ml 559
Bulk quote request
Histone H1 Antibody for IHC. Immunohistochemistry analysis of histone H1 variant family expression in FFPE human ovarian carcinoma tissue using Histone H1 Antibody. Nuclear HRP-DAB brown staining is observed in tumor epithelial cells, consistent with localization of linker histone H1 isoforms within chromatin and reflecting variant-associated chromatin organization. Clone HH1/957 antibody demonstrates strong nuclear compartmentalization with minimal cytoplasmic staining, highlighting broad detection of H1 family proteins across chromatin.
IHC: Formalin-fixed, paraffin-embedded rat pancreas stained with Histone H1 antibody (clone HH1/957).
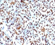
IHC: Formalin-fixed, paraffin-embedded human tonsil stained with Histone H1 antibody (clone HH1/957).
IHC: Formalin-fixed, paraffin-embedded human tonsil stained with Histone H1 antibody (clone HH1/957).
IHC: FFPE human testicular carcinoma tested with Histone H1 antibody (clone HH1/957).
IHC: FFPE human pancreas tested with Histone H1 antibody (clone HH1/957).
IHC: FFPE human angiosarcoma tested with Histone H1 antibody (clone HH1/957).
Histone H1 Antibody for IF. Immunofluorescence analysis of histone H1 variant family expression in permeabilized human HeLa cells using Histone H1 Antibody (green). Strong nuclear staining is observed, consistent with localization of linker histone H1 isoforms within chromatin and reflecting variant-associated chromatin organization across the nucleus. Clone HH1/957 antibody demonstrates uniform nuclear enrichment with minimal cytoplasmic signal. Actin filaments are labeled with phalloidin (red), providing cytoskeletal contrast to the chromatin-associated histone signal.
Flow cytometry testing of permeabilized human HeLa cells with Histone H1 Antibody / H1 Variant Family Chromatin Antibody (clone HH1/957); Red=isotype control, Blue= Histone H1 antibody.
Histone H1 Antibody for WB. Western blot analysis of histone H1 expression in human heart tissue lysate. A band is detected at approximately 27-33 kDa, compared to the predicted molecular weight of Histone H1 family proteins at approximately 20 kDa. The higher apparent molecular weight is consistent with post-translational modifications such as phosphorylation, which are known to alter electrophoretic mobility of linker histone H1.
SDS-PAGE analysis of purified, BSA-free Histone H1 antibody (clone HH1/957) as confirmation of integrity and purity.
Availability 1-3 business days
Species Reactivity Human, Rat
Format Purified
Host Mouse
Clonality Monoclonal (mouse origin)
Isotype Mouse IgG2a, kappa
Clone Name HH1/957
Purity Protein G affinity chromatography
UniProt P07305
Localization Nuclear
Applications Immunofluorescence : 1-2ug/ml
Immunohistochemistry (FFPE) : 1-2ug/ml for 30 min at RT
Western Blot : 1-2ug/ml
Flow Cytometry : 1-2ug/million cells
Limitations This Histone H1 antibody is available for research use only.
Review this product on BioCompare and get a $20 Amazon gift card

Related Products

  • Applications : FACS, IF, IHC-P, WB
    Reactivity : Human, Mouse, Rat
    Recrabbitmono
  • Applications : WB, ELISA, ICC
    Reactivity : Human
    Recrabbitmono
  • Applications : FACS, IF, IHC-P, WB
    Reactivity : Human, Mouse, Rat
    Citation  Citations(10)
  • Applications : IF, IHC-P, WB, FACS
    Reactivity : Human, Mouse, Rat
    Citation  Citations(2)
  • Applications : FACS, IF, IHC-P, WB
    Reactivity : Human, Mouse, Rat
    Citation  Citations(4)
  • Applications : IF, IHC-P
    Reactivity : Human, Rat
  • Applications : WB, ELISA
    Reactivity : Human
    Pred. Reactivity : Mouse, Rat, Bovine, Pig, Chicken, Zebrafish, Xenopus, Drosophila, C. elegans
  • Applications : WB, ELISA
    Reactivity : Human
  • Applications : WB, ELISA
    Reactivity : Human
    Pred. Reactivity : Mouse, Rat, Bovine, Pig, Chicken, Zebrafish, Xenopus, Drosophila, C. elegans
  • Applications : WB, ELISA
    Reactivity : Human, Mouse
    Pred. Reactivity : Rat, Bovine, Pig, Chicken, Zebrafish, Rabbit, Xenopus, Drosophila, C. elegans
  • Applications : WB, ELISA
    Reactivity : Mouse
    Pred. Reactivity : Bovine, Rat
  • Applications : DB, ELISA
    Reactivity : Human
  • Applications : WB, IHC, FACS, ELISA
    Reactivity : Human
  • Applications : IHC, FACS, WB, DB, ELISA
    Reactivity : Human
  • Applications : WB, ELISA
    Reactivity : Human, Mouse
  • Applications : FACS, IF, IHC-P, WB
    Reactivity : Human, Mouse, Rat

Description

Histone H1 is a linker histone family composed of multiple closely related variants, including H1.1, H1.2, H1.3, H1.4, and H1.5, that collectively regulate chromatin organization and genome structure. Histone H1 Antibody detects multiple H1 isoforms, enabling comprehensive analysis of linker histone distribution across chromatin. This variant-focused detection distinguishes it from total H1 approaches by capturing the diversity of histone H1 proteins that contribute to chromatin architecture. This antibody is part of our broader Histone H1 antibody collection, including linker histone variants, chromatin organization, chromatin accessibility, and nuclear architecture reagents for chromatin and epigenetics research.

Histone H1 antibody, also referred to as H1 antibody or linker histone antibody in the literature, is widely used to study chromatin organization at the level of histone H1 variant composition. Individual H1 isoforms exhibit differences in chromatin binding affinity, residence time, and genomic distribution, allowing cells to fine-tune chromatin structure through variant-specific regulation. Detection of multiple variants provides a more complete representation of linker histone biology.

Mechanistically, H1 variants differ in their ability to stabilize linker DNA and promote nucleosome interactions. Some isoforms are associated with more compact chromatin configurations, while others are enriched in regions with more dynamic chromatin organization. These differences contribute to functional specialization of chromatin domains and influence genome accessibility at a global scale.

The presence of multiple H1 variants allows chromatin structure to be adapted to specific biological contexts, including cell type, developmental stage, and proliferative status. For example, certain variants are more abundant in rapidly dividing cells, while others are associated with differentiated tissues, reflecting their roles in chromatin specialization and genome organization.

In addition to structural differences, H1 isoforms can exhibit distinct interactions with chromatin-associated proteins, further contributing to their functional diversity. This makes the study of H1 variant composition particularly important for understanding chromatin regulation beyond nucleosome-level organization.

Detection of multiple histone H1 variants enables researchers to assess global linker histone distribution while accounting for isoform diversity, providing a more nuanced view of chromatin architecture than single-variant detection. This approach is especially valuable in studies examining chromatin remodeling, differentiation, and epigenetic regulation.

A mouse monoclonal antibody recognizing multiple histone H1 isoforms enables broad and reliable detection of H1 family proteins, supporting studies of chromatin organization, nucleosome spacing, and genome structure.

Application Notes

Optimal dilution of the Histone H1 Antibody / H1 Variant Family Chromatin Antibody should be determined by the researcher.

1. Staining of formalin/paraffin tissues requires boiling tissue sections in pH 9 10mM Tris with 1mM EDTA for 10-20 min followed by cooling at RT for 20 min.
2. The prediluted format is supplied in a dropper bottle and is optimized for use in IHC. After epitope retrieval step (if required), drip mAb solution onto the tissue section and incubate at RT for 30 min.

Immunogen

Recombinant full-length human protein was used as the immunogen for the Histone H1 Antibody / H1 Variant Family Chromatin Antibody.

Storage

Store the Histone H1 antibody at 2-8oC (with azide) or aliquot and store at -20oC or colder (without azide).

Alternate Names

Histone H1 antibody, H1 antibody, H1 variant antibody, histone H1 isoform antibody

Cross
Bulk Quote Request Form
Name*:
Organization*:
Email*:
Phone Number*:
Catalog No.*:
Comments and Specifics(amount, formulation, etc.)*:
Validation code: Captchapackage Image


Can't read the image? click here to refresh.
    *required field

Your bulk quote request has been submitted successfully!

Please contact us if you have any questions.