• Tel: 858.663.9055
  • SeparatorEmail: info@nsjbio.com
  • Tel: 858.663.9055
  • Email: info@nsjbio.com
Home >> Antibodies >> H4 Antibody Methyl-Lys20 Specific / Histone H4 K20 Methylation Antibody

H4 Antibody Methyl-Lys20 Specific / Histone H4 K20 Methylation Antibody (F48612)

  Catalog No Formulation Size Price (USD)  
Image F48612-0.4ML In 1X PBS, pH 7.4, with 0.09% sodium azide 0.4 ml 439
Image
F48612-0.08ML In 1X PBS, pH 7.4, with 0.09% sodium azide 0.08 ml 205
Bulk quote request
H4 Antibody Methyl-Lys20 Specific WB. Western blot analysis of histone H4 lysine 20 methylation in human K562 cell lysate using H4 Antibody Methyl-Lys20 Specific. Lane 1: K562 whole cell lysate. A band is detected at approximately 11 kDa, consistent with the predicted molecular weight of Histone H4 (HIST1H4). The signal reflects endogenous methylation at lysine 20, a chromatin-associated modification linked to genome stability and chromatin compaction.
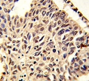
H4 Antibody Methyl-Lys20 Specific IHC. Immunohistochemistry analysis of histone H4 lysine 20 methylation in FFPE human lung carcinoma tissue using H4 Antibody Methyl-Lys20 Specific. Nuclear HRP-DAB brown staining is observed in tumor epithelial cells, consistent with chromatin-associated localization of methylated histone H4 (HIST1H4). The staining pattern highlights nuclear compartmentalization with minimal cytoplasmic background, supporting detection of chromatin compaction-associated histone modification.
H4 Antibody Methyl-Lys20 Specific flow cytometric analysis of NCI-H460 cells (bottom histogram) compared to a negative control (top histogram). FITC-conjugated goat-anti-rabbit secondary Ab was used for the analysis.
H4 Antibody Methyl-Lys20 Specific DB. Dot blot analysis of histone H4 lysine 20 methylation recognition using H4 Antibody Methyl-Lys20 Specific. Methylated peptide (M-peptide) shows strong signal, while non-methylated peptide (NM-peptide) shows no detectable reactivity. These results demonstrate selective recognition of methylated lysine 20 on histone H4 (HIST1H4), supporting specificity for chromatin compaction-associated methylation.
Availability 1-3 business days
Species Reactivity Human
Format Antigen affinity purified
Host Rabbit
Clonality Polyclonal (rabbit origin)
Isotype Rabbit Ig
Purity Antigen affinity
UniProt P62805
Applications Western Blot : 1:1000
Dot Blot : 1:500
IHC (Paraffin) : 1:50-1:100
Flow Cytometry : 1:10-1:50
Limitations This H4 antibody is available for research use only.
Review this product on BioCompare and get a $20 Amazon gift card

Related Products

Description

Histone H4 (HIST1H4) is a core nucleosomal histone that plays a central role in chromatin architecture, nucleosome stability, and genome integrity through post-translational modification of its N-terminal tail. H4 Antibody Methyl-Lys20 Specific detects methylation at lysine 20, a critical residue that governs chromatin compaction and structural genome organization across mono-, di-, and tri-methylation states. This modification site is one of the most functionally important residues on histone H4 for controlling how chromatin fibers fold and maintain stability under physiological conditions. This antibody is part of our broader Histone H4 antibody collection, including acetylation, methylation, phosphorylation, and total H4 detection reagents for chromatin and epigenetics research.

Lysine 20 methylation on histone H4 is tightly linked to chromatin compaction and the formation of higher-density chromatin domains. Unlike many histone marks that primarily regulate transcriptional activity, H4K20 methylation functions predominantly as a structural determinant of chromatin organization. The progressive addition of methyl groups at this residue contributes to increasingly compact chromatin states, supporting genome packaging and protecting DNA from instability. These methylation states are dynamically regulated by enzymes such as SETD8 and SUV420H1/H2, which coordinate chromatin structure during replication and cell cycle progression.

HIST1H4 antibody, also referred to as Histone H4 antibody and H4K20 methylation antibody in the literature, is widely used to investigate genome stability pathways and chromatin structural integrity. H4K20 methylation plays a key role in the DNA damage response by facilitating recruitment of repair proteins and maintaining chromatin architecture at sites of DNA lesions. This modification also contributes to replication fork stability and proper chromatin reassembly following DNA synthesis. Loss or dysregulation of H4K20 methylation has been strongly associated with genomic instability, defective DNA repair, and cancer development.

From a structural standpoint, the histone H4 tail extends outward from the nucleosome core and directly participates in inter-nucleosomal interactions that drive chromatin fiber folding. Methylation at lysine 20 enhances these interactions by promoting tighter packing of nucleosomes, thereby reinforcing chromatin compaction and structural cohesion. This makes H4K20 methylation a key marker for studying higher-order chromatin organization and genome packaging rather than gene activation or transcriptional regulation.

In addition to its role in chromatin compaction, H4K20 methylation contributes to epigenetic memory and the maintenance of chromatin states across cell divisions. The persistence of this modification supports stable chromatin architecture and ensures that genome organization is faithfully transmitted during replication. These properties make H4K20 methylation particularly relevant in studies of cell cycle progression, differentiation, and disease-associated chromatin alterations.

A rabbit polyclonal antibody targeting methylated lysine 20 provides broad detection across methylation states at this residue, enabling comprehensive analysis of chromatin compaction, DNA repair processes, and genome stability mechanisms in diverse experimental systems.

Chromatin organization and epigenetic pathway studies may also benefit from our Histone H4 antibody targeting core nucleosome structure and nuclear chromatin biology.

Application Notes

Titration of the H4 antibody may be required due to differences in protocols and secondary/substrate sensitivity.

Immunogen

Amino acids surrounding the K20 methylation site of the human protein were used as the immunogen for this H4 Antibody Methyl-Lys20 Specific / Histone H4 K20 Methylation Antibody.

Storage

Aliquot the H4 antibody and store frozen at -20oC or colder. Avoid repeated freeze-thaw cycles.

Alternate Names

H4K20 methylation antibody, Histone H4 K20 methyl antibody, HIST1H4 chromatin compaction antibody, H4 methyl lysine antibody

Cross
Bulk Quote Request Form
Name*:
Organization*:
Email*:
Phone Number*:
Catalog No.*:
Comments and Specifics(amount, formulation, etc.)*:
Validation code: Captchapackage Image


Can't read the image? click here to refresh.
    *required field

Your bulk quote request has been submitted successfully!

Please contact us if you have any questions.