• Tel: 858.663.9055
  • SeparatorEmail: info@nsjbio.com
  • Tel: 858.663.9055
  • Email: info@nsjbio.com
Home >> Antibodies >> Histone H1 Antibody / Chromatin Condensation Linker Histone Antibody

Histone H1 Antibody / Chromatin Condensation Linker Histone Antibody [clone SPM256] (V2566)

  Catalog No Formulation Size Price (USD)  
Image V2566-100UG 0.2 mg/ml in 1X PBS with 0.1 mg/ml BSA (US sourced) and 0.05% sodium azide 100 ug 559
Image
V2566-20UG 0.2 mg/ml in 1X PBS with 0.1 mg/ml BSA (US sourced) and 0.05% sodium azide 20 ug 259
Image
V2566SAF-100UG 1 mg/ml in 1X PBS; BSA free, sodium azide free 100 ug 559
Image
V2566IHC-7ML Prediluted in 1X PBS with 0.1 mg/ml BSA (US sourced) and 0.05% sodium azide; *For IHC use only* 7 ml 559
Bulk quote request
Histone H1 Antibody for IHC. Immunohistochemistry analysis of chromatin condensation-associated histone H1 expression in FFPE human ovarian carcinoma tissue using Histone H1 Antibody. Nuclear HRP-DAB brown staining is observed in tumor epithelial cells, consistent with localization of linker histone H1 within condensed chromatin and its role in higher-order chromatin organization. Clone SPM256 antibody highlights strong nuclear compartmentalization with minimal cytoplasmic staining, reflecting chromatin-associated distribution in condensed chromatin states.
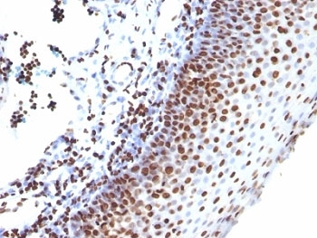
IHC: Formalin-fixed, paraffin-embedded human tonsil stained with anti-Histone H1 antibody (clone SPM256).
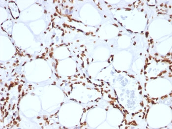
IHC: FFPE human angiosarcoma tested with anti-Histone H1 antibody (clone SPM256).
Histone H1 Antibody for IF. Immunofluorescence analysis of chromatin condensation-associated histone H1 expression in permeabilized human HeLa cells using Histone H1 Antibody (green). Strong nuclear staining is observed, consistent with localization of linker histone H1 within condensed chromatin regions and its role in higher-order chromatin organization. Clone SPM256 antibody demonstrates nuclear enrichment with minimal cytoplasmic signal. Actin filaments are labeled with phalloidin (red), providing cytoskeletal contrast to the chromatin-associated histone signal.
Histone H1 Antibody for WB. Western blot analysis of chromatin condensation-associated histone H1 expression in human heart tissue lysate. A band is detected at approximately 30-35 kDa, consistent with the predicted molecular weight range of Histone H1 family proteins and reflecting post-translationally modified forms associated with chromatin compaction. The observed band pattern aligns with the role of histone H1 in higher-order chromatin organization and condensed chromatin states.
Flow cytometry testing of permeabilized human HeLa cells with anti-Histone H1 antibody (clone SPM256); Red=isotype control, Blue= anti-Histone H1 antibody.
SDS-PAGE analysis of purified, BSA-free anti-Histone H1 antibody (clone SPM256) as confirmation of integrity and purity.
Availability 1-3 business days
Species Reactivity Human, Mouse, Rat
Format Purified
Host Mouse
Clonality Monoclonal (mouse origin)
Isotype Mouse IgG2a, kappa
Clone Name SPM256
Purity Protein G affinity chromatography
UniProt P07305
Localization Nuclear
Applications Immunofluorescence : 1-2ug/ml
Immunohistochemistry (FFPE) : 1-2ug/ml for 30 min at RT
Western Blot : 1-2ug/ml
Flow Cytometry : 1-2ug/10^6 cells
Limitations This anti-Histone H1 antibody is available for research use only.
Review this product on BioCompare and get a $20 Amazon gift card

Related Products

  • Applications : FACS, IF, IHC-P, WB
    Reactivity : Human, Mouse, Rat
    Recrabbitmono
  • Applications : WB, ELISA, ICC
    Reactivity : Human
    Recrabbitmono
  • Applications : FACS, IF, IHC-P, WB
    Reactivity : Human, Mouse, Rat
    Citation  Citations(10)
  • Applications : FACS, IF, IHC-P, WB
    Reactivity : Human, Mouse, Rat
    Citation  Citations(4)
  • Applications : IF, IHC-P, WB, FACS
    Reactivity : Human, Rat
  • Applications : IF, IHC-P
    Reactivity : Human, Rat
  • Applications : WB, ELISA
    Reactivity : Human
    Pred. Reactivity : Mouse, Rat, Bovine, Pig, Chicken, Zebrafish, Xenopus, Drosophila, C. elegans
  • Applications : WB, ELISA
    Reactivity : Human
  • Applications : WB, ELISA
    Reactivity : Human
    Pred. Reactivity : Mouse, Rat, Bovine, Pig, Chicken, Zebrafish, Xenopus, Drosophila, C. elegans
  • Applications : WB, ELISA
    Reactivity : Human, Mouse
    Pred. Reactivity : Rat, Bovine, Pig, Chicken, Zebrafish, Rabbit, Xenopus, Drosophila, C. elegans
  • Applications : WB, ELISA
    Reactivity : Mouse
    Pred. Reactivity : Bovine, Rat
  • Applications : DB, ELISA
    Reactivity : Human
  • Applications : WB, IHC, FACS, ELISA
    Reactivity : Human
  • Applications : IHC, FACS, WB, DB, ELISA
    Reactivity : Human
  • Applications : WB, ELISA
    Reactivity : Human, Mouse
  • Applications : FACS, IF, IHC-P, WB
    Reactivity : Human, Mouse, Rat

Description

Histone H1 is a linker histone that plays a critical role in chromatin condensation and higher-order chromatin organization by stabilizing nucleosome arrays and promoting chromatin folding. Histone H1 Antibody detects H1 protein associated with condensed chromatin states, where linker histones facilitate the transition from nucleosome arrays to compact chromatin fibers. This function distinguishes histone H1 from core histones by emphasizing its role in large-scale chromatin architecture rather than nucleosome assembly. This antibody is part of our broader Histone H1 antibody collection, including linker histone variants, chromatin organization, chromatin accessibility, and nuclear architecture reagents for chromatin and epigenetics research.

Histone H1 antibody, also referred to as H1 antibody or linker histone antibody in the literature, is widely used to study chromatin condensation and genome packaging. Histone H1 binds to linker DNA and promotes interactions between neighboring nucleosomes, leading to increased chromatin density. This compaction reduces DNA accessibility and contributes to the formation of structurally condensed chromatin domains.

Mechanistically, histone H1 stabilizes the angle of DNA entry and exit at the nucleosome, creating a more rigid chromatin configuration that favors folding into higher-order structures. This promotes chromatin fiber formation and supports global genome compaction. As a result, histone H1 is strongly associated with chromatin states characterized by reduced accessibility and increased structural organization.

Chromatin condensation mediated by histone H1 is dynamically regulated throughout the cell cycle. During mitosis, increased H1-mediated compaction contributes to chromosome condensation, while redistribution of H1 during interphase supports regulated chromatin organization. Alterations in H1 levels or distribution can significantly impact chromatin structure and genome stability.

Histone H1 also contributes to the establishment of condensed chromatin domains within the nucleus, supporting spatial organization of chromatin. This makes it a valuable marker for studying large-scale chromatin architecture and nuclear organization.

A rabbit polyclonal antibody targeting histone H1 enables detection of linker histone associated with condensed chromatin, supporting studies of chromatin compaction, DNA packaging, and higher-order chromatin structure.

Application Notes

Optimal dilution of the Histone H1 Antibody / Chromatin Condensation Linker Histone Antibody should be determined by the researcher.

1. Staining of formalin/paraffin tissues requires boiling tissue sections in pH 9 10mM Tris with 1mM EDTA for 10-20 min followed by cooling at RT for 20 min.
2. The prediluted format is supplied in a dropper bottle and is optimized for use in IHC. After epitope retrieval step (if required), drip mAb solution onto the tissue section and incubate at RT for 30 min.

Immunogen

Nuclei of human leukemia biopsy cells were used as the immunogen for the Histone H1 Antibody / Chromatin Condensation Linker Histone Antibody.

Storage

Store the anti-Histone H1 antibody at 2-8oC (with azide) or aliquot and store at -20oC or colder (without azide).

Alternate Names

Histone H1 antibody, H1 antibody, linker histone antibody, chromatin condensation antibody, H1 chromatin compaction antibody, histone H1 protein antibody, linker histone chromatin folding antibody

Cross
Bulk Quote Request Form
Name*:
Organization*:
Email*:
Phone Number*:
Catalog No.*:
Comments and Specifics(amount, formulation, etc.)*:
Validation code: Captchapackage Image


Can't read the image? click here to refresh.
    *required field

Your bulk quote request has been submitted successfully!

Please contact us if you have any questions.