• Tel: 858.663.9055
  • separatorEmail: info@nsjbio.com
  • Tel: 858.663.9055
  • Email: info@nsjbio.com
banner

KRT16 Antibody / Keratin 16 Antibody - Stress Response Gene

Home >> Antibodies >> KRT16 Antibody / Keratin 16 Antibody - Stress Response Gene

KRT16 Antibody / Keratin 16 Antibody - Stress Response Gene

KRT16 Antibody Overview

KRT16 Antibody detects keratin 16, a type I intermediate filament protein expressed in activated keratinocytes, hair follicles, sebaceous glands, and oral mucosa. KRT16 partners with keratin 6 to form filaments that provide structural resilience during epithelial stress and repair. Under normal conditions, KRT16 is expressed in specialized epithelia such as nail beds and palmoplantar skin. However, its expression is strongly induced in hyperproliferative states, wound healing, psoriasis, and carcinomas.

Mutations in KRT16 are responsible for pachyonychia congenita type 1, a genetic keratin disorder characterized by thickened nails, painful palmoplantar keratoderma, and oral lesions. Because of its dual role in normal stress response and pathology, the KRT16 Antibody is a valuable reagent for studying skin biology, wound repair, genetic disease, and cancer.

Keratin 16 Antibody reagents are also widely used in translational studies and therapeutic development targeting keratinopathies and inflammatory disorders.


Why Choose KRT16 Antibodies from NSJ Bioreagents?

NSJ Bioreagents offers KRT16 Antibodies validated for immunohistochemistry, immunofluorescence, western blotting, ELISA, and flow cytometry. Each KRT16 Antibody undergoes rigorous validation for specificity to keratin 16 while minimizing cross-reactivity with related keratins such as KRT6 and KRT17.

By selecting a KRT16 Antibody from NSJ Bioreagents, scientists gain reagents optimized for reproducibility and clarity. Our antibodies provide crisp staining in tissue sections, reliable protein detection in lysates, and robust results across platforms. With detailed datasheets, recommended controls, and validated protocols, NSJ Bioreagents ensures that Keratin 16 Antibody products support reproducible results for both discovery and clinical studies.


Applications of KRT16 Antibodies

The KRT16 Antibody has wide-ranging applications in dermatology, oncology, and translational biology.

1) Skin Biology and Wound Healing

  • KRT16 Antibodies highlight keratinocyte activation during wound repair.

  • The KRT16 Antibody supports studies of epithelial regeneration and barrier restoration.

  • Keratin 16 Antibody reagents help clarify immune–epithelial interactions in repair processes.

2) Genetic Disorders

  • KRT16 Antibodies are used in studies of pachyonychia congenita type 1.

  • The KRT16 Antibody detects disease-causing keratin mutations in patient biopsies.

  • Keratin 16 Antibody reagents support genetic models investigating keratinopathy mechanisms.

3) Dermatopathology and Inflammation

  • KRT16 Antibodies are applied to psoriasis research, where KRT16 is highly upregulated.

  • The KRT16 Antibody distinguishes hyperproliferative lesions from healthy tissue.

  • Keratin 16 Antibody products support biomarker discovery in chronic skin disease.

4) Oncology and Tumor Biology

  • KRT16 Antibodies detect abnormal expression in squamous cell carcinomas.

  • The KRT16 Antibody supports classification of epithelial tumors.

  • Keratin 16 Antibody reagents help evaluate keratin remodeling in metastasis.

5) Oral and Mucosal Biology

  • KRT16 Antibodies identify keratinocyte activation in oral mucosa.

  • The KRT16 Antibody is applied to studies of mucosal wound healing and pathology.

6) Regenerative Medicine

  • KRT16 Antibodies validate keratinocyte activation in tissue engineering models.

  • The KRT16 Antibody ensures accurate epithelial identity in engineered grafts.

7) Translational Medicine and Drug Development

  • KRT16 Antibodies are applied in therapeutic testing for keratinopathies.

  • The KRT16 Antibody supports biomarker validation in clinical studies of psoriasis.

  • Keratin 16 Antibody reagents are used in trials developing keratin-targeted therapies.


Why Are KRT16 Antibodies Important?

Keratin 16 is a stress-induced keratin critical for epithelial resilience, genetic disease, and cancer. The KRT16 Antibody provides precise detection of this protein, while Keratin 16 Antibody reagents more broadly support dermatology, oncology, and regenerative medicine.

In basic research, KRT16 Antibodies clarify keratinocyte stress responses and wound healing. In genetics, the KRT16 Antibody highlights mutations underlying pachyonychia congenita. In oncology, Keratin 16 Antibody products provide biomarkers for tumor progression and therapy outcomes.

Clinically, KRT16 is a diagnostic marker for hyperproliferative conditions and keratinopathies. By providing accurate detection, the KRT16 Antibody links molecular biology with patient care, advancing both research and translational medicine.


Conclusion

Keratin 16 is an inducible epithelial keratin with roles in wound healing, genetic disease, and cancer biology. The KRT16 Antibody equips researchers and clinicians with a reliable tool for detecting keratin 16, while Keratin 16 Antibody reagents more broadly support discoveries in dermatology, regenerative research, and oncology. By connecting molecular insights with clinical applications, these antibodies remain indispensable for advancing biomedical science and patient outcomes.

This KRT16 antibody page is part of a broader KRT antibody panel used to study epithelial differentiation, tissue distribution, and tumor classification across multiple keratin family members.
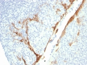
<p>IHC testing of FFPE human skin tissue with recombinant&nbsp;<a href="../tds/recombinant-cytokeratin-16-antibody-rabbit-monoclonal-ctkn16-1r-v3737" target="_blank" rel="noopener">KRT16 antibody</a> (clone CTKN16-1R).</p>

IHC testing of FFPE human skin tissue with recombinant KRT16 antibody (clone CTKN16-1R).

Found all antibodies, displaying 1 to 10
KRT16 Antibody / Cytokeratin 16 (clone KRT16/1714)
Catalog No : V3624
Applications : IHC-P
Reactivity : Human
Format : Purified
KRT16 Antibody / Cytokeratin 16 (clone KRT16/2043R)
Catalog No : V3625
Applications : IHC-P
Reactivity : Human
Format : Purified
Recrabbitmono
KRT16 Antibody / Cytokeratin 16 (clone CTKN16-1R)
Catalog No : V3737
Applications : IHC-P
Reactivity : Human
Format : Purified
Recrabbitmono
KRT16 Antibody / Cytokeratin 16 (clone rKRT16/1714)
Catalog No : V7297
Applications : IHC-P
Reactivity : Human
Format : Purified
Recmousemono
KRT16 Antibody / Cytokeratin 16 (clone LL025)
Catalog No : V7921
Applications : IHC-P
Reactivity : Human
Format : Purified
KRT16 Antibody / Cytokeratin 16 (clone SPM264)
Catalog No : V8928
Applications : IHC-P
Reactivity : Human
Format : Purified
KRT16 Antibody / Cytokeratin 16 (clone EDC-11)
Catalog No : RQ5262
Applications : WB
Reactivity : Human
Format : Purified