• Tel: 858.663.9055
  • separatorEmail: info@nsjbio.com
  • Tel: 858.663.9055
  • Email: info@nsjbio.com
banner

Clusterin Antibody - CLU, APO-J and Apolipoprotein J Antibodies

Home >> Antibodies >> Clusterin Antibody - CLU, APO-J and Apolipoprotein J Antibodies

Clusterin Antibody - CLU, APO-J and Apolipoprotein J Antibodies

Overview of Clusterin (CLU / APO-J)

Clusterin (CLU), also known as Apolipoprotein J (APO-J), is a secreted glycoprotein that functions as a molecular chaperone involved in protein folding, lipid transport, and cellular stress responses. It is widely expressed across tissues and is particularly associated with extracellular protein stabilization and protection against aggregation. The Clusterin Antibody Secreted Chaperone Protein Marker is commonly used to study CLU expression in tissue and lysate-based systems, where it often appears as a glycosylated protein with variable molecular forms.

Clusterin plays a dual role in both normal physiology and disease, acting as a cytoprotective factor under stress conditions while also contributing to pathological processes such as cancer progression and neurodegeneration.


Cytoprotective and Stress Response Functions

Clusterin is strongly induced under conditions of cellular stress, including oxidative damage, inflammation, and apoptosis. It acts as a protective chaperone by binding misfolded or damaged proteins and preventing aggregation. For studies focused on this biology, the CLU Antibody Cytoprotective Stress Response Marker is useful for evaluating stress-induced expression patterns and cellular survival mechanisms.

This function makes CLU a widely studied protein in cancer biology, where it can contribute to tumor cell resistance to therapy and promote survival under adverse conditions.


Lipid Transport and Extracellular Chaperone Activity

As APO-J, Clusterin is also involved in lipid transport and extracellular protein stabilization. It associates with lipoprotein particles and plays a role in maintaining protein solubility in the extracellular environment. The APO-J Antibody Lipid Transport and Chaperone Protein is particularly relevant for studies examining extracellular signaling, lipid metabolism, and secreted protein function.

Clusterin’s chaperone activity extends to a wide range of binding partners, allowing it to participate in diverse biological processes including immune modulation and tissue remodeling.


Role in Neurodegeneration and Disease

Clusterin has been extensively studied in the context of neurodegenerative diseases, particularly Alzheimer’s disease, where it is associated with amyloid-beta aggregation and clearance. Its expression is often upregulated in response to neuronal stress and injury. The Apolipoprotein J Antibody Neurodegeneration Marker is commonly used in studies investigating protein aggregation, amyloid pathology, and neuroinflammation.

Beyond neurodegeneration, Clusterin is also implicated in cardiovascular disease, cancer progression, and chronic inflammatory conditions, highlighting its broad relevance as a disease-associated biomarker.


Applications in Western Blot and Immunohistochemistry

Clusterin antibodies are widely used in western blot and immunohistochemistry to assess protein expression, secretion, and tissue distribution. Due to its glycosylation and proteolytic processing, Clusterin may appear as multiple bands in western blot analysis. The Clusterin Antibody for WB Secreted Glycoprotein Detection supports reliable detection of these forms across biological samples.

In tissue staining, Clusterin is often observed in both intracellular and extracellular compartments, reflecting its secreted nature. The Clusterin Antibody for IHC Secreted Protein Tissue Marker is well suited for visualizing this distribution in normal and disease tissues.


Specificity and Validation

For studies requiring high specificity, the Clusterin Antibody Microarray Specificity Validated provides confidence in selective target detection across a broad protein panel. This validation approach is particularly valuable when working with complex biological samples or when confirming antibody performance in new experimental systems.

A selection of Clusterin antibody products is shown below to support a range of research applications.

These Clusterin antibodies are part of a broader antibody panel offered by NSJ Bioreagents.

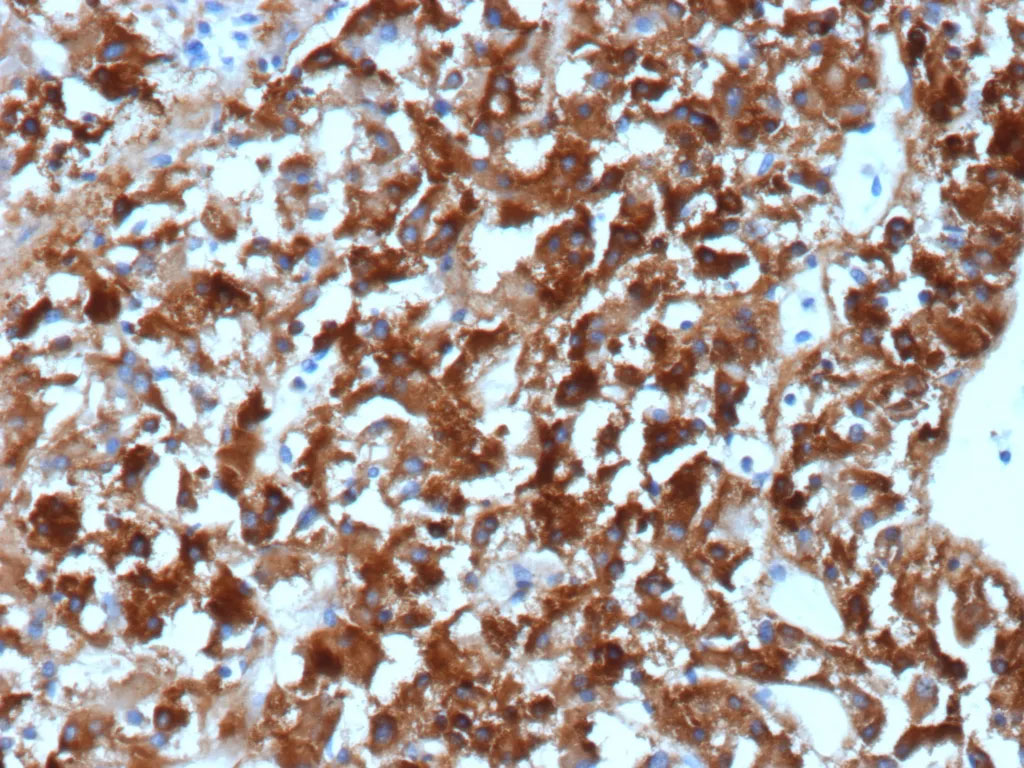
<p><strong data-start="305" data-end="346">Clusterin Antibody Adrenal Gland IHC.</strong> Immunohistochemistry analysis of FFPE human adrenal gland tissue using Clusterin antibody. Strong HRP-DAB brown cytoplasmic staining with prominent extracellular deposition highlights Clusterin / CLU expression within adrenal cortical cells and surrounding microenvironment, consistent with its role as a secreted chaperone protein. Signal outlines glandular architecture and extends into interstitial spaces, reflecting active secretion and accumulation in tissue, while background staining remains low. HIER: boil tissue sections in 10 mM Tris with 1 mM EDTA, pH 9, for 20 min followed by cooling prior to staining.</p>

Clusterin Antibody Adrenal Gland IHC. Immunohistochemistry analysis of FFPE human adrenal gland tissue using Clusterin antibody. Strong HRP-DAB brown cytoplasmic staining with prominent extracellular deposition highlights Clusterin / CLU expression within adrenal cortical cells and surrounding microenvironment, consistent with its role as a secreted chaperone protein. Signal outlines glandular architecture and extends into interstitial spaces, reflecting active secretion and accumulation in tissue, while background staining remains low. HIER: boil tissue sections in 10 mM Tris with 1 mM EDTA, pH 9, for 20 min followed by cooling prior to staining.

Found all antibodies, displaying 1 to 10
Clusterin Antibody / Apolipoprotein J / APO-J (clone CLU/8865R)
Catalog No : V5240
Applications : IHC-P
Reactivity : Human
Format : Purified
Recrabbitmono
Clusterin Antibody / Apolipoprotein J / APO-J (clone CLU/4727)
Catalog No : V9337
Applications : WB, IHC-P
Reactivity : Human
Format : Purified
Microvalidated
Clusterin Antibody / Apolipoprotein J / APO-J (clone CLU/4731)
Catalog No : V9317
Applications : WB, IHC-P
Reactivity : Human
Format : Purified
Microvalidated
Clusterin Antibody / Apolipoprotein J / APO-J (clone CLU/4721)
Catalog No : V4005
Applications : IHC-P
Reactivity : Human
Format : Purified
Microvalidated
Clusterin Antibody / Apolipoprotein J / APO-J (clone RM437)
Catalog No : R20452
Applications : WB, IHC-P
Reactivity : Human
Format : Purified
Recrabbitmono
Clusterin Antibody / Apolipoprotein J / APO-J (clone CLU/4740)
Catalog No : V5664
Applications : IHC-P, WB
Reactivity : Human
Format : Purified
Clusterin Antibody / Apolipoprotein J / APO-J (clone CLU/9192R)
Catalog No : V5461
Applications : IHC-P
Reactivity : Human
Format : Purified
Recrabbitmono