• Tel: 858.663.9055
  • separatorEmail: info@nsjbio.com
  • Tel: 858.663.9055
  • Email: info@nsjbio.com
banner

Developmental Biology Antibodies

Home >> Antibodies >> Developmental Biology Antibodies

Developmental Biology Antibodies

Developmental Biology Antibodies for Research and Applications

Developmental biology is the study of the processes by which organisms grow, develop, and form their intricate structures. It covers everything from cellular differentiation and organogenesis to the complex molecular signals that regulate growth. In particular, developmental biology focuses on how cells communicate and organize themselves to form tissues, organs, and the whole organism.

Understanding these processes is crucial for insights into developmental diseases, congenital defects, and regenerative medicine. Developmental Biology Antibodies are essential tools in the study of these processes, as they allow scientists to isolate and study key proteins involved in development at different stages.

Important Developmental Biology Proteins

To better understand the mechanisms of development, it's vital to examine the proteins involved in various stages of cellular differentiation, migration, and patterning. Developmental Biology Antibodies are commonly used to detect and analyze these proteins. Some important developmental proteins include:

  • Sonic Hedgehog (Shh): A signaling protein crucial for patterning and morphogenesis during embryonic development.

  • Notch: A cell signaling protein involved in cell fate determination and differentiation during development.

  • Wnt: A family of proteins that regulate cell growth, differentiation, and organogenesis during embryonic development.

  • E-cadherin: An adhesion protein important for cell-cell interactions, migration, and the formation of epithelial tissues.

  • Oct4: A key transcription factor involved in maintaining pluripotency in stem cells, crucial for early development.

These proteins and many others are studied using Developmental Biology Antibodies that allow researchers to investigate developmental processes at the molecular level, enhancing our understanding of growth and differentiation.

Applications of Developmental Biology Antibodies

Developmental Biology Antibodies are used in a variety of assays to study proteins involved in development. Here are some common experimental techniques that use these antibodies to uncover important insights:

1. Western Blotting

Western blotting with a Developmental Biology Antibody enables researchers to detect specific proteins involved in development. By isolating protein samples from embryos, cultured cells, or tissues, a Developmental Biology Antibody helps identify and quantify protein expression levels at different stages of development.

2. Immunohistochemistry (IHC)

Immunohistochemistry (IHC) with a Developmental Biology Antibody is an essential technique for localizing proteins within tissue sections. Researchers can use IHC to visualize the spatial distribution of developmental markers, such as transcription factors or signaling molecules, in tissues at different developmental stages, aiding in understanding the process of organogenesis and tissue differentiation.

3. Flow Cytometry

Flow cytometry allows for the quantification and characterization of specific cell populations. Using a Developmental Biology Antibody, researchers can analyze the expression of developmental markers on the surface of cells or within cell populations. This technique is crucial for studying stem cell differentiation, lineage commitment, and the development of specific tissue types.

4. Immunofluorescence

Immunofluorescence (IF) is a powerful method for detecting and visualizing developmental proteins in fixed cells or tissues. By using a Developmental Biology Antibody labeled with a fluorescent dye, researchers can examine the localization and dynamic changes in protein expression during development, providing detailed information on cellular behavior during tissue formation.

5. Enzyme-Linked Immunosorbent Assay (ELISA)

ELISA is a quantitative technique used to measure specific proteins secreted by cells or tissues. Developmental Biology Antibodies targeting developmental markers allow researchers to measure protein secretion patterns during differentiation, organ formation, or embryonic development, helping to unravel the molecular basis of development.

Why Choose a Developmental Biology Antibody?

When conducting research in developmental biology, the right Developmental Biology Antibody ensures that you can accurately detect and study the proteins critical for development. Our antibodies are validated for a range of assays and offer high specificity and sensitivity, helping you achieve consistent and reliable results.

Whether you're investigating early embryonic development, tissue differentiation, or stem cell biology, a Developmental Biology Antibody from NSJ Bioreagents provides the tools you need to advance your research. We offer a wide selection of antibodies targeting key developmental proteins and provide tailored options to meet your specific needs.

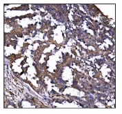
<p>IHC staining of FFPE human cervix with recombinant E-Cadherin antibody (<a href="../tds/recombinant-e-cadherin-antibody-cdh1-cdh14398r-v8662" target="_blank" rel="noopener">clone CDH1/4398R, cat # V8662</a>). HIER: boil tissue sections in pH 9 10mM Tris with 1mM EDTA for 20 min and allow to cool before testing.</p>

IHC staining of FFPE human cervix with recombinant E-Cadherin antibody (clone CDH1/4398R, cat # V8662). HIER: boil tissue sections in pH 9 10mM Tris with 1mM EDTA for 20 min and allow to cool before testing.

Found all antibodies, displaying 751 to 760
GATA3 Antibody (clone GATA3/4550R)
Catalog No : V9369
Applications : IHC-P, WB
Reactivity : Human, Rat
Format : Purified
Recrabbitmono
POU5F1 Antibody / Oct4 (clone OCT4/6875R)
Catalog No : V9377
Applications : IHC-P
Reactivity : Human
Format : Purified
Recrabbitmono
POU5F1 Antibody / Oct4 (clone Oct4/3508)
Catalog No : V9371
Applications : IHC-P
Reactivity : Human
Format : Purified
Chop Antibody / Ddit3 / Gadd153
Catalog No : RQ6468
Applications : WB, FACS, Direct ELISA
Reactivity : Mouse, Rat
Format : Antigen affinity purified
EHMT2 Antibody / G9A
Catalog No : RQ6477
Applications : WB, IHC-P, IF, FACS, Direct ELISA
Reactivity : Human, Mouse, Rat
Format : Antigen affinity purified
LEF1 Antibody / Lymphoid enhancer-binding factor 1 / TCF1 alpha
Catalog No : RQ6490
Applications : WB, IF, FACS, Direct ELISA
Reactivity : Human, Mouse, Rat
Format : Antigen affinity purified
POGLUT1 Antibody / CLP46 / Rumi
Catalog No : RQ6507
Applications : WB, IHC-P, IF
Reactivity : Human, Mouse
Format : Antigen affinity purified
SOX7 Antibody
Catalog No : RQ6519
Applications : WB, Direct ELISA
Reactivity : Human
Format : Antigen affinity purified
SOX17 Antibody
Catalog No : RQ6520
Applications : WB, Direct ELISA
Reactivity : Human
Format : Antigen affinity purified
SRF Antibody / Serum Response Factor
Catalog No : RQ6521
Applications : WB, IHC-P, IF, FACS, Direct ELISA
Reactivity : Human
Format : Antigen affinity purified