• Tel: 858.663.9055
  • SeparatorEmail: info@nsjbio.com
  • Tel: 858.663.9055
  • Email: info@nsjbio.com
Home >> Antibodies >> E-cadherin Antibody for IF / CDH1 Immunofluorescence Antibody - Cell Adhesion Marker

E-cadherin Antibody for IF / CDH1 Immunofluorescence Antibody - Cell Adhesion Marker [clone rCDH1/1525] (V3564)

  Catalog No Formulation Size Price (USD)  
Image V3564-100UG 0.2 mg/ml in 1X PBS with 0.1 mg/ml BSA (US sourced) and 0.05% sodium azide 100 ug 559
Image
V3564-20UG 0.2 mg/ml in 1X PBS with 0.1 mg/ml BSA (US sourced) and 0.05% sodium azide 20 ug 259
Image
V3564SAF-100UG 1 mg/ml in 1X PBS; BSA free, sodium azide free 100 ug 559
Image
V3564IHC-7ML Prediluted in 1X PBS with 0.1 mg/ml BSA (US sourced) and 0.05% sodium azide; *For IHC use only* 7 ml 559
Microvalidated Recmousemono
Bulk quote request
E-Cadherin Antibody for IF. Immunofluorescence analysis of Cadherin 1 / CDH1 expression in human MCF7 cells using clone rCDH1/1525 antibody (green), showing strong membrane staining at cell-cell contact sites outlining epithelial cell borders, with Reddot nuclear stain (red). Signal highlights continuous cell adhesion interfaces and well-defined intercellular junctions characteristic of epithelial monolayers.
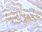
IHC testing of formalin-fixed, paraffin-embedded human colon carcinoma with recombinant E-Cadherin antibody (clone rCDH1/1525). Required HIER: boil tissue sections in pH 9 10mM Tris with 1mM EDTA for 10-20 min followed by cooling at RT for 20 min.
Western blot testing of human MCF-7 cell lysate with recombinant E-Cadherin antibody (clone rCDH1/1525). Expected molecular weight: 135 kDa (precursor), 80-120 kDa (mature, depending on glycosylation level).
Analysis of HuProt(TM) microarray containing more than 19,000 full-length human proteins using recombinant E-Cadherin antibody (clone rCDH1/1525). These results demonstrate the foremost specificity of the rCDH1/1525 mAb.
Z- and S- score: The Z-score represents the strength of a signal that an antibody (in combination with a fluorescently-tagged anti-IgG secondary Ab) produces when binding to a particular protein on the HuProt(TM) array. Z-scores are described in units of standard deviations (SD's) above the mean value of all signals generated on that array. If the targets on the HuProt(TM) are arranged in descending order of the Z-score, the S-score is the difference (also in units of SD's) between the Z-scores. The S-score therefore represents the relative target specificity of an Ab to its intended target.
SDS-PAGE analysis of purified, BSA-free E-Cadherin antibody (clone rCDH1/1525) as confirmation of integrity and purity.
Western blot testing of human placental tissue lysate with E-Cadherin antibody (clone rCDH1/1525). Expected molecular weight: 135 kDa (precursor), 80-120 kDa (mature, depending on glycosylation level).
Availability 1-3 business days
Species Reactivity Human
Format Purified
Host Mouse
Clonality Recombinant Mouse Monoclonal
Isotype Mouse IgG1
Clone Name rCDH1/1525
Purity Protein G affinity chromatography
UniProt P12830
Localization Cytoplasmic, membranous
Applications Western Blot : 1-2ug/ml
Immunofluorescence : 1-2ug/ml
Immunohistochemistry (FFPE) : 1-2ug/ml for 30 min at RT
Limitations This E-cadherin Antibody for IF / CDH1 Immunofluorescence Antibody - Cell Adhesion Marker is available for research use only.
Review this product on BioCompare and get a $20 Amazon gift card

Related Products

Description

Cadherin 1 (CDH1) is a calcium-dependent transmembrane protein that mediates epithelial cell-cell adhesion through homophilic interactions at the plasma membrane. CDH1 is localized to sites of direct cell-cell contact, where it forms adherens junctions that maintain epithelial cohesion and structural integrity. CDH1 Antibody for IF enables direct visualization of these adhesion interfaces in cultured cells, making it a foundational tool for studying epithelial cell connectivity. CDH1 is also widely referred to as E-cadherin antibody, reflecting its central role as a defining epithelial adhesion molecule.

CDH1 Antibody for IF / E-cadherin Immunofluorescence Antibody - Cell Adhesion Marker (clone rCDH1/1525) is specifically suited for imaging applications focused on cell-cell adhesion dynamics. The recombinant mouse monoclonal clone rCDH1/1525 antibody produces strong, continuous membrane staining at points of intercellular contact in epithelial models such as MCF7 cells, allowing clear visualization of adhesion boundaries between neighboring cells. This clone rCDH1/1525 antibody supports high-contrast immunofluorescence imaging and enables precise assessment of adhesion continuity across epithelial sheets.

In immunofluorescence studies, CDH1 antibody reveals a characteristic linear staining pattern corresponding to regions where adjacent cells are physically connected. This allows researchers to evaluate adhesion strength, junction continuity, and cell packing density in epithelial monolayers. Intact epithelial systems display uniform, uninterrupted membrane staining, while weakened adhesion or cellular transformation leads to discontinuous or diminished signal. CDH1 Antibody for IF is therefore highly effective for detecting subtle changes in cell-cell adhesion during processes such as tumor progression or cellular stress.

At the molecular level, E-cadherin interacts with intracellular partners including beta-catenin and alpha-catenin, linking extracellular adhesion to cytoskeletal organization. These interactions stabilize epithelial layers and regulate signaling pathways that influence proliferation and differentiation. CDH1 immunofluorescence antibody enables visualization of these adhesion complexes in their native cellular context and supports co-localization studies with cytoskeletal or junction-associated proteins.

This CDH1 antibody is particularly valuable for fluorescence-based analysis of epithelial adhesion mechanisms, where clear delineation of cell boundaries is required. The strong membrane-associated staining generated by clone rCDH1/1525 allows accurate interpretation of adhesion status and supports imaging workflows focused on epithelial cohesion and intercellular connectivity.

This antibody is part of the CDH1 antibody collection, where multiple E-cadherin antibody formats and applications are available for studying epithelial adhesion and cancer progression.

Application Notes

Optimal dilution of the E-cadherin Antibody for IF / CDH1 Immunofluorescence Antibody - Cell Adhesion Marker should be determined by the researcher.

1. The prediluted format is supplied in a dropper bottle and is optimized for use in IHC. After epitope retrieval step (if required), drip mAb solution onto the tissue section and incubate at RT for 30 min.

Immunogen

A full length recombinant human protein was used as the immunogen for the E-Cadherin antibody.

Storage

Store the recombinant E-Cadherin antibody at 2-8oC (with azide) or aliquot and store at -20oC or colder (without azide).

Alternate Names

CDH1 antibody, E-cadherin immunofluorescence antibody, cell adhesion marker antibody, epithelial adhesion IF antibody, cadherin adhesion protein antibody

Cross
Bulk Quote Request Form
Name*:
Organization*:
Email*:
Phone Number*:
Catalog No.*:
Comments and Specifics(amount, formulation, etc.)*:
Validation code: Captchapackage Image


Can't read the image? click here to refresh.
    *required field

Your bulk quote request has been submitted successfully!

Please contact us if you have any questions.