• Tel: 858.663.9055
  • SeparatorEmail: info@nsjbio.com
  • Tel: 858.663.9055
  • Email: info@nsjbio.com
Home >> Antibodies >> NOTCH1 Antibody

NOTCH1 Antibody [clone BGA-14] (RQ6458)

  Catalog No Formulation Size Price (USD)  
Image RQ6458 Antibody in PBS with 0.02% sodium azide, 50% glycerol and 0.4-0.5mg/ml BSA 100 ul 449
Microvalidated Rab Mono Image
Bulk quote request
Immunofluorescent staining of human HeLa cells with NOTCH1 antibody.
IHC staining of FFPE human liver tissue with NOTCH1 antibody.
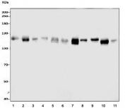
Western blot testing of human 1) HEK293, 2) K562, 3) U-2 OS, 4) Jurkat, 5) HeLa, 6) ThP-1, 7) Caco-2, 8) rat brain, 9) rat PC-12, 10) mouse lung and 11) mouse brain tissue lysate with NOTCH1 antibody. Expected molecular weight: ~ 270 kDa (full length), ~ 120 kDa (transmembrane fragment).
Availability 1-3 business days
Species Reactivity Human, Mouse, Rat
Format Purified
Host Rabbit
Clonality Rabbit Monoclonal
Isotype Rabbit IgG
Clone Name BGA-14
Purity Antigen affinity purified
UniProt P46531
Localization Cytoplasmic, nuclear
Applications Western Blot : 1:500-1:3000
Immunohistochemistry (FFPE) : 1:50-1:200
Immunofluorescence : 1:100-1:500
Limitations This NOTCH1 antibody is available for research use only.
Review this product on BioCompare and get a $20 Amazon gift card

Related Products

  • Applications : WB
    Reactivity : Human
  • Applications : WB, ELISA
    Reactivity : Human
    Pred. Reactivity : Mouse, Rat
  • Applications : WB, ELISA
    Reactivity : Mouse

Description

Notch proteins are single-pass transmembrane receptors that regulate cell fate decisions during development.

Application Notes

Optimal dilution of the NOTCH1 antibody should be determined by the researcher.

Immunogen

A NOTCH1-specific peptide was used as the immunogen for the NOTCH1 antibody.

Storage

Store the NOTCH1 antibody at -20oC.

Cross
Bulk Quote Request Form
Name*:
Organization*:
Email*:
Phone Number*:
Catalog No.*:
Comments and Specifics(amount, formulation, etc.)*:
Validation code: Captchapackage Image


Can't read the image? click here to refresh.
    *required field

Your bulk quote request has been submitted successfully!

Please contact us if you have any questions.