• Tel: 858.663.9055
  • SeparatorEmail: info@nsjbio.com
  • Tel: 858.663.9055
  • Email: info@nsjbio.com
Home >> Antibodies >> Recombinant Oct4 Antibody / POU5F1

Recombinant Oct4 Antibody / POU5F1 [clone OCT4/6875R] (V9377)

  Catalog No Formulation Size Price (USD)  
Image V9377-100UG 0.2 mg/ml in 1X PBS with 0.1 mg/ml BSA (US sourced), 0.05% sodium azide 100 ug 559
Image
V9377-20UG 0.2 mg/ml in 1X PBS with 0.1 mg/ml BSA (US sourced), 0.05% sodium azide 20 ug 259
Image
V9377SAF-100UG 1 mg/ml in 1X PBS; BSA free, sodium azide free 100 ug 559
Microvalidated Recrabbitmono
Bulk quote request
IHC staining of FFPE human testis with recombinant Oct4 antibody (clone OCT4/6875R). Negative control inset: PBS used instead of primary antibody to control for secondary Ab binding. HIER: boil tissue sections in pH 9 10mM Tris with 1mM EDTA for 20 min and allow to cool before testing.
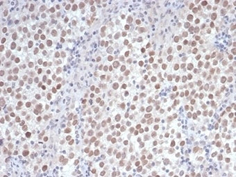
IHC staining of FFPE human seminoma tissue with recombinant Oct4 antibody (clone OCT4/6875R). HIER: boil tissue sections in pH 9 10mM Tris with 1mM EDTA for 20 min and allow to cool before testing.
IHC staining of FFPE human seminoma tissue with recombinant Oct4 antibody (clone OCT4/6875R). HIER: boil tissue sections in pH 9 10mM Tris with 1mM EDTA for 20 min and allow to cool before testing.
Availability 1-3 business days
Species Reactivity Human
Format Purified
Host Rabbit
Clonality Recombinant Rabbit Monoclonal
Isotype Rabbit IgG, kappa
Clone Name OCT4/6875R
Purity Protein A/G affinity
UniProt Q01860
Localization Nucleus
Applications Immunohistochemistry (FFPE) : 1-2ug/ml
Limitations This recombinant Oct4 antibody is available for research use only.
Review this product on BioCompare and get a $20 Amazon gift card

Related Products

Description

OCT4 is a member of the POU family of transcription factors, involved in the regulation of pluripotency during normal development and is detectable in embryonic stem and germ cells. OCT4 is a key regulator of self-renewal in embryonic stem cells; its expression is potentially correlated with tumorigenesis and can affect tumor recurrence or resistance to therapies. OCT4 is expressed in undifferentiated pluripotent cells, germ cells in ovary and testes. OCT4 Ab is useful in the identification of primary as well as metastatic germ cell tumors.

Application Notes

Optimal dilution of the recombinant antibody should be determined by the researcher.

Immunogen

A portion of amino acids1-134 was used as the immunogen for the recombinant Oct4 antibody.

Storage

Aliquot the recombinant antibody and store frozen at -20oC or colder. Avoid repeated freeze-thaw cycles.

Cross
Bulk Quote Request Form
Name*:
Organization*:
Email*:
Phone Number*:
Catalog No.*:
Comments and Specifics(amount, formulation, etc.)*:
Validation code: Captchapackage Image


Can't read the image? click here to refresh.
    *required field

Your bulk quote request has been submitted successfully!

Please contact us if you have any questions.