• Tel: 858.663.9055
  • SeparatorEmail: info@nsjbio.com
  • Tel: 858.663.9055
  • Email: info@nsjbio.com
Home >> Antibodies >> E-cadherin Antibody / Protein Microarray Validated Antibody

E-cadherin Antibody / Protein Microarray Validated Antibody [clone CDH1/4398R] (V8662)

  Catalog No Formulation Size Price (USD)  
Image V8662-100UG 0.2 mg/ml in 1X PBS with 0.1 mg/ml BSA (US sourced) and 0.05% sodium azide 100 ug 559
Image
V8662-20UG 0.2 mg/ml in 1X PBS with 0.1 mg/ml BSA (US sourced) and 0.05% sodium azide 20 ug 259
Image
V8662SAF-100UG 1 mg/ml in 1X PBS; BSA free, sodium azide free 100 ug 559
Microvalidated Recrabbitmono
Bulk quote request
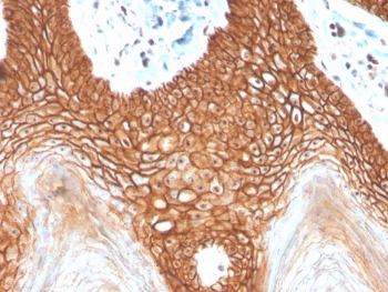
E-cadherin Antibody Human Cervix IHC. Immunohistochemistry analysis of Cadherin 1 / CDH1 expression in FFPE human cervix tissue using protein microarray validated clone CDH1/4398R antibody, showing strong membranous HRP-DAB brown staining in epithelial cells with clear cell-cell junction localization, while surrounding stromal cells remain largely negative. HIER: boil tissue sections in pH 9 10mM Tris with 1mM EDTA for 20 min and allow to cool before testing. Signal highlights epithelial layer organization and adherens junction integrity.
IHC staining of FFPE human cervix with recombinant E-Cadherin antibody (clone CDH1/4398R). HIER: boil tissue sections in pH 9 10mM Tris with 1mM EDTA for 20 min and allow to cool before testing.
E-cadherin Antibody Microarray Validation. Protein microarray analysis of Cadherin 1 / CDH1 specificity using clone CDH1/4398R antibody on a HuProt(TM) array containing over 19,000 full-length human proteins, demonstrating strong and preferential binding to CDH1 with a dominant Z-score and high S-score relative to non-target proteins. The Z-score represents signal intensity in standard deviations above the array mean, while the S-score reflects the difference between the top-ranked target and subsequent proteins, indicating high relative specificity. These results support selective recognition of CDH1 with minimal cross-reactivity across the human proteome.
Availability 1-3 business days
Species Reactivity Human
Format Purified
Host Rabbit
Clonality Recombinant Rabbit Monoclonal
Isotype Rabbit IgG
Clone Name CDH1/4398R
Purity Protein A affinity chromatography
UniProt P12830
Localization Cytoplasmic, membranous
Applications Immunohistochemistry (FFPE) : 1-2ug/ml for 30 minutes at RT
Limitations This E-cadherin Antibody / Protein Microarray Validated Antibody is available for research use only.
Review this product on BioCompare and get a $20 Amazon gift card

Related Products

Description

E-cadherin (CDH1) is a calcium-dependent transmembrane glycoprotein that mediates epithelial cell-cell adhesion and serves as a core structural component of adherens junctions. E-cadherin Antibody / Protein Microarray Validated Antibody (clone CDH1/4398R) recognizes this key epithelial adhesion protein with specificity supported by protein microarray-based validation. E-cadherin is also referred to as Cadherin 1 antibody and is widely used as a marker of epithelial identity, tissue organization, and junctional integrity.

Protein microarray validation provides a high-throughput approach for assessing antibody specificity across a broad panel of proteins in a controlled and parallel format. This method enables evaluation of binding preference for CDH1 relative to numerous non-target proteins, supporting confidence in target recognition under defined assay conditions. Clone CDH1/4398R antibody is positioned as a validated reagent for researchers who require additional confirmation of specificity when studying epithelial adhesion pathways and CDH1 expression.

In experimental applications, E-cadherin antibody is commonly used to assess epithelial phenotype, monitor changes in cell-cell adhesion, and evaluate processes such as epithelial-to-mesenchymal transition. Because CDH1 expression is closely linked to epithelial integrity, accurate and specific detection is essential for reliable interpretation of results across assays including western blot, immunohistochemistry, and immunofluorescence. Protein microarray validation supports these applications by providing evidence that the antibody preferentially recognizes the intended target.

E-cadherin interacts with intracellular partners such as beta-catenin and alpha-catenin, linking extracellular adhesion to cytoskeletal organization and signaling pathways that regulate proliferation, polarity, and differentiation. Detection of CDH1 is therefore important not only for structural analysis but also for understanding signaling networks associated with epithelial biology. A protein microarray validated E-cadherin antibody provides a reliable tool for studying these processes with increased confidence in specificity.

The recombinant rabbit monoclonal clone CDH1/4398R antibody supports consistent target recognition and is well suited for research applications requiring validated specificity and reproducible performance. This E-cadherin antibody is particularly effective for studies focused on epithelial adhesion, tissue organization, and disease-associated changes in CDH1 expression where confidence in antibody specificity is critical.

This antibody is part of the CDH1 antibody collection, where multiple E-cadherin antibody formats and applications are available for studying epithelial adhesion and cancer progression.

Application Notes

Optimal dilution of the E-cadherin Antibody / Protein Microarray Validated Antibody should be determined by the researcher.

Immunogen

A portion of amino acids 600-700 from the human protein was used as the immunogen for the recombinant E-Cadherin antibody.

Storage

Store the recombinant E-Cadherin antibody at 2-8oC (with azide) or aliquot and store at -20oC or colder (without azide).

Alternate Names

CDH1 antibody, E-cadherin antibody, Cadherin 1 antibody, epithelial cadherin antibody, adherens junction protein antibody

Cross
Bulk Quote Request Form
Name*:
Organization*:
Email*:
Phone Number*:
Catalog No.*:
Comments and Specifics(amount, formulation, etc.)*:
Validation code: Captchapackage Image


Can't read the image? click here to refresh.
    *required field

Your bulk quote request has been submitted successfully!

Please contact us if you have any questions.