• Tel: 858.663.9055
  • SeparatorEmail: info@nsjbio.com
  • Tel: 858.663.9055
  • Email: info@nsjbio.com
Home >> Antibodies >> Recombinant GH1 Antibody / Growth Hormone

Recombinant GH1 Antibody / Growth Hormone [clone rGH/4887] (V9343)

  Catalog No Formulation Size Price (USD)  
Image V9343-100UG 0.2 mg/ml in 1X PBS with 0.1 mg/ml BSA (US sourced), 0.05% sodium azide 100 ug 559
Image
V9343-20UG 0.2 mg/ml in 1X PBS with 0.1 mg/ml BSA (US sourced), 0.05% sodium azide 20 ug 259
Image
V9343SAF-100UG 1 mg/ml in 1X PBS; BSA free, sodium azide free 100 ug 559
Microvalidated Recmousemono
Bulk quote request
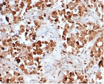
IHC staining of FFPE human pituitary tissue with recombinant GH1 antibody (clone rGH/4887). HIER: boil tissue sections in pH 9 10mM Tris with 1mM EDTA for 20 min and allow to cool before testing.
Negative control: IHC staining of FFPE human brain tissue using recombinant GH1 antibody (clone rGH/4887) at 2ug/ml in PBS for 30min RT. HIER: boil tissue sections in pH 9 10mM Tris with 1mM EDTA for 20 min and allow to cool before testing.
Availability 1-3 business days
Species Reactivity Human
Format Purified
Host Mouse
Clonality Recombinant Mouse Monoclonal
Isotype Mouse IgG1, kappa
Clone Name rGH/4887
Purity Protein A/G affinity
UniProt P01241
Localization Cytoplasm
Applications Immunohistochemistry (FFPE) : 1-2ug/ml
Limitations This recombinant GH1 antibody is available for research use only.
Review this product on BioCompare and get a $20 Amazon gift card

Related Products

Description

Pituitary growth hormone (GH) plays a crucial role in stimulating and controlling the growth, metabolism and differentiation of many mammalian cell types by modulating the synthesis of multiple mRNA species. These effects are mediated by the binding of GH to its membrane-bound receptor, GHR, and involve a phosphorylation cascade that results in the modulation of numerous signaling pathways. GH is synthesized by acidophilic or somatotropic cells of the anterior pituitary gland. Anti-GH is a useful marker in classification of pituitary tumors and the study of pituitary disease (acromegaly).

Application Notes

Optimal dilution of the recombinant GH1 antibody should be determined by the researcher.

Immunogen

Recombinant full-length human pituitary growth hormone protein was used as the immunogen for the recombinant GH1 antibody.

Storage

Aliquot the recombinant GH1 antibody and store frozen at -20oC or colder. Avoid repeated freeze-thaw cycles.

Cross
Bulk Quote Request Form
Name*:
Organization*:
Email*:
Phone Number*:
Catalog No.*:
Comments and Specifics(amount, formulation, etc.)*:
Validation code: Captchapackage Image


Can't read the image? click here to refresh.
    *required field

Your bulk quote request has been submitted successfully!

Please contact us if you have any questions.