• Tel: 858.663.9055
  • SeparatorEmail: info@nsjbio.com
  • Tel: 858.663.9055
  • Email: info@nsjbio.com
Home >> Antibodies >> Histone H1 Antibody / Total Linker Histone H1 Chromatin Antibody

Histone H1 Antibody / Total Linker Histone H1 Chromatin Antibody [clone AE-4] (V2565)

  Catalog No Formulation Size Price (USD)  
Image V2565-100UG 0.2 mg/ml in 1X PBS with 0.1 mg/ml BSA (US sourced) and 0.05% sodium azide 100 ug 559
Image
V2565-20UG 0.2 mg/ml in 1X PBS with 0.1 mg/ml BSA (US sourced) and 0.05% sodium azide 20 ug 259
Image
V2565SAF-100UG 1 mg/ml in 1X PBS; BSA free, sodium azide free 100 ug 559
Image
V2565IHC-7ML Prediluted in 1X PBS with 0.1 mg/ml BSA (US sourced) and 0.05% sodium azide; *For IHC use only* 7 ml 559
Bulk quote request
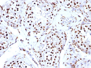
Histone H1 Antibody for IHC. Immunohistochemistry analysis of total histone H1 expression in FFPE human ovarian carcinoma tissue using Histone H1 Antibody. Nuclear HRP-DAB brown staining is observed in tumor epithelial cells, consistent with localization of linker histone H1 within chromatin and its role in higher-order chromatin organization. Clone AE-4 antibody demonstrates strong nuclear compartmentalization with minimal cytoplasmic staining, reflecting the chromatin-associated distribution of histone H1.
IHC: Formalin-fixed, paraffin-embedded human tonsil stained with Histone H1 antibody (clone AE-4).
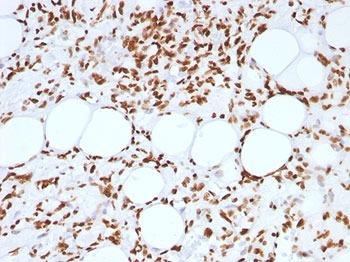
IHC: FFPE human angiosarcoma tested with Histone H1 antibody (clone AE-4).
IHC: FFPE human testicular carcinoma tested with Histone H1 antibody (clone AE-4).
IHC: FFPE human pancreas tested with Histone H1 antibody (clone AE-4).
Histone H1 Antibody for WB. Western blot analysis of total histone H1 expression in human heart tissue lysate. A band is detected at approximately 22-33 kDa, consistent with the predicted molecular weight range of Histone H1 family proteins, with lower bands corresponding to unmodified forms and higher bands reflecting post-translationally modified variants. The observed band pattern aligns with the known heterogeneity of linker histone H1 isoforms and their modification-dependent mobility in chromatin-associated proteins.
Flow cytometry testing of permeabilized human HeLa cells with Histone H1 antibody (clone AE-4); Red=isotype control, Blue= Histone antibody.
Histone H1 Antibody for IF. Immunofluorescence analysis of total histone H1 expression in PFA-fixed human HeLa cells using Histone H1 Antibody (green). Strong nuclear staining is observed, consistent with localization of linker histone H1 within chromatin and its role in nucleosome spacing and higher-order chromatin organization. Clone AE-4 antibody demonstrates uniform nuclear distribution with minimal cytoplasmic signal. Actin filaments are labeled with phalloidin (red), providing cytoskeletal contrast to the chromatin-associated histone signal.
Availability 1-3 business days
Species Reactivity Human, Mouse, Rat
Format Purified
Host Mouse
Clonality Monoclonal (mouse origin)
Isotype Mouse IgG2a, kappa
Clone Name AE-4
Purity Protein G affinity chromatography
UniProt P07305
Localization Nuclear
Applications Flow Cytometry : 1-2ug/million cells
Immunofluorescence : 1-2ug/ml
Immunohistochemistry (FFPE) : 1-2ug/ml for 30 min at RT
Western Blot : 1-2ug/ml
Limitations This Histone H1 antibody is available for research use only.
Review this product on BioCompare and get a $20 Amazon gift card

Related Products

  • Applications : FACS, IF, IHC-P, WB
    Reactivity : Human, Mouse, Rat
    Recrabbitmono
  • Applications : WB, ELISA, ICC
    Reactivity : Human
    Recrabbitmono
  • Applications : IF, IHC-P, WB, FACS
    Reactivity : Human, Mouse, Rat
    Citation  Citations(2)
  • Applications : FACS, IF, IHC-P, WB
    Reactivity : Human, Mouse, Rat
    Citation  Citations(4)
  • Applications : IF, IHC-P, WB, FACS
    Reactivity : Human, Rat
  • Applications : IF, IHC-P
    Reactivity : Human, Rat
  • Applications : WB, ELISA
    Reactivity : Human
    Pred. Reactivity : Mouse, Rat, Bovine, Pig, Chicken, Zebrafish, Xenopus, Drosophila, C. elegans
  • Applications : WB, ELISA
    Reactivity : Human
  • Applications : WB, ELISA
    Reactivity : Human
    Pred. Reactivity : Mouse, Rat, Bovine, Pig, Chicken, Zebrafish, Xenopus, Drosophila, C. elegans
  • Applications : WB, ELISA
    Reactivity : Human, Mouse
    Pred. Reactivity : Rat, Bovine, Pig, Chicken, Zebrafish, Rabbit, Xenopus, Drosophila, C. elegans
  • Applications : WB, ELISA
    Reactivity : Mouse
    Pred. Reactivity : Bovine, Rat
  • Applications : DB, ELISA
    Reactivity : Human
  • Applications : WB, IHC, FACS, ELISA
    Reactivity : Human
  • Applications : IHC, FACS, WB, DB, ELISA
    Reactivity : Human
  • Applications : WB, ELISA
    Reactivity : Human, Mouse
  • Applications : FACS, IF, IHC-P, WB
    Reactivity : Human, Mouse, Rat

Description

Histone H1 is a linker histone that binds to nucleosome entry and exit sites and plays a central role in chromatin organization, DNA packaging, and higher-order chromatin folding. Histone H1 Antibody detects total linker histone H1 protein independent of variant or modification status, providing a comprehensive measure of H1 abundance within chromatin. Unlike core histones, histone H1 functions outside the nucleosome core and is essential for stabilizing linker DNA and organizing nucleosome arrays. This antibody is part of our broader Histone H1 antibody collection, including linker histone variants, chromatin organization, chromatin accessibility, and nuclear architecture reagents for chromatin and epigenetics research.

Histone H1 antibody, also referred to as H1 antibody or linker histone antibody in the literature, is widely used to evaluate chromatin structure and genome organization. The well-characterized clone AE-4 antibody is frequently used for detection of total histone H1 and has been utilized in numerous peer-reviewed studies, supporting its use in chromatin biology research. Clone AE-4 antibody enables robust detection of H1 across experimental systems, making it a reliable tool for assessing linker histone distribution and chromatin organization.

Functionally, histone H1 binds to linker DNA at the nucleosome entry and exit points, stabilizing DNA conformation and promoting interactions between adjacent nucleosomes. This facilitates folding of chromatin into higher-order structures and contributes to genome compaction. As a result, histone H1 is a key determinant of chromatin density and plays a major role in regulating DNA accessibility at a global level.

Histone H1 is expressed as multiple variants that are dynamically regulated during the cell cycle, differentiation, and development. Changes in H1 levels can influence chromatin condensation, nucleosome spacing, and overall genome organization. Because histone H1 is broadly distributed across chromatin, detection of total H1 provides insight into global chromatin structure rather than localized chromatin events.

In chromatin studies, total histone H1 detection complements analysis of core histones and histone modifications by providing information about linker DNA organization and higher-order chromatin folding. This allows researchers to evaluate chromatin structure at multiple levels, from nucleosome composition to large-scale chromatin organization.

A rabbit monoclonal antibody such as clone AE-4 enables reliable detection of total histone H1, supporting studies of chromatin structure, DNA packaging, and genome organization across diverse biological systems.

Application Notes

Optimal dilution of the Histone H1 Antibody / Total Linker Histone H1 Chromatin Antibody should be determined by the researcher.

1. Staining of formalin/paraffin tissues requires boiling tissue sections in 10mM Citrate buffer, pH 6.0, for 10-20 min followed by cooling at RT for 20 min.
2. The prediluted format is supplied in a dropper bottle and is optimized for use in IHC. After epitope retrieval step (if required), drip mAb solution onto the tissue section and incubate at RT for 30 min.

Immunogen

Nuclei of human leukemia biopsy cells were used as the immunogen for the Histone H1 Antibody / Total Linker Histone H1 Chromatin Antibody.

Storage

Store the Histone H1 antibody at 2-8oC (with azide) or aliquot and store at -20oC or colder (without azide).

Alternate Names

Histone H1 antibody, H1 antibody, linker histone H1 antibody, total H1 antibody

Cross
Bulk Quote Request Form
Name*:
Organization*:
Email*:
Phone Number*:
Catalog No.*:
Comments and Specifics(amount, formulation, etc.)*:
Validation code: Captchapackage Image


Can't read the image? click here to refresh.
    *required field

Your bulk quote request has been submitted successfully!

Please contact us if you have any questions.