• Tel: 858.663.9055
  • separatorEmail: info@nsjbio.com
  • Tel: 858.663.9055
  • Email: info@nsjbio.com
banner

MVP Antibody - Major Vault Protein LRP Antibodies

Home >> Antibodies >> MVP Antibody - Major Vault Protein LRP Antibodies

MVP Antibody - Major Vault Protein LRP Antibodies

MVP Antibodies for Vault Complex Biology and Drug Resistance Research

Major Vault Protein (MVP), encoded by the MVP gene, is the primary structural component of vault ribonucleoprotein particles, large cytoplasmic complexes involved in intracellular transport, signal transduction, and cellular stress responses. MVP is also widely known as Lung resistance-related protein (LRP), a name that reflects its strong association with multidrug resistance in cancer. MVP is broadly expressed across tissues, with particularly high levels in epithelial cells, immune cells, and tumors with aggressive or treatment-resistant phenotypes.

MVP antibody, also referred to as Major vault protein antibody or LRP antibody in the literature, is commonly used to study vault particle structure, intracellular trafficking pathways, and mechanisms of drug resistance. MVP is primarily localized to the cytoplasm, often displaying diffuse or granular staining, with enrichment in perinuclear regions. Under certain biological conditions, MVP may also be detected in the nucleus, supporting its role in nucleocytoplasmic transport and signaling regulation.

MVP Antibodies by Application

Immunohistochemistry (IHC)

MVP antibodies for immunohistochemistry are used to evaluate protein expression in formalin-fixed tissues. Cytoplasmic staining is typically observed in epithelial and tumor cells, with increased intensity often associated with drug-resistant or high-grade malignancies. This application is useful for studying tumor heterogeneity and tissue-specific expression patterns.

Western Blot (WB)

MVP antibodies for western blot are used to detect protein expression in cell and tissue lysates. This method supports analysis of MVP regulation under stress conditions, chemotherapeutic treatment, or signaling pathway activation, as well as confirmation of protein presence.

Immunofluorescence (IF)

MVP antibodies for immunofluorescence enable visualization of subcellular localization, including cytoplasmic and perinuclear distribution. This approach is valuable for studying MVP involvement in intracellular trafficking and dynamic cellular processes.

Flow Cytometry (FACS)

MVP antibodies for flow cytometry are used to analyze intracellular protein expression at the single-cell level following fixation and permeabilization. This allows characterization of MVP expression across heterogeneous cell populations, including resistant tumor subsets.

Biology of Major Vault Protein

Vault particles are among the largest ribonucleoprotein complexes in eukaryotic cells and are composed primarily of MVP, along with additional components such as TEP1 and vault-associated RNAs. MVP accounts for the majority of the vault particle mass and is essential for maintaining its structural integrity.

The MVP gene is located on chromosome 16p11.2 and encodes a protein with repeating structural domains that assemble into the characteristic barrel-shaped vault complex. These particles are thought to function in intracellular transport, particularly between the nucleus and cytoplasm, although their full physiological role continues to be investigated.

MVP has also been implicated in key signaling pathways, including PI3K-AKT, where it may regulate cell survival, proliferation, and stress responses. In cancer biology, elevated MVP expression is strongly associated with multidrug resistance, reduced intracellular drug accumulation, and altered apoptotic signaling. Increased MVP levels have been reported in lung, breast, ovarian, and hematologic malignancies, where it is often linked to poor therapeutic response.

Choosing the Right MVP Antibody

Selecting an appropriate MVP antibody depends on the intended application and experimental context. Immunohistochemistry-based studies benefit from antibodies that provide clear cytoplasmic staining in tissue sections, while western blot applications require antibodies capable of detecting protein in lysates with high specificity. Immunofluorescence supports detailed localization studies, and flow cytometry enables quantitative single-cell analysis.

Careful consideration of sample type, preparation method, and detection approach will help ensure optimal results when working with MVP antibody in research applications.

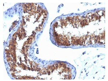
<p><strong data-start="271" data-end="288">MVP Antibody.</strong> Immunohistochemistry analysis of Major Vault Protein (MVP / LRP) expression in formalin-fixed, paraffin-embedded human testicular carcinoma using <a href="../tds/major-vault-protein-antibody-1032-v3043" target="_blank" rel="noopener">clone 1032</a> mouse monoclonal antibody. Tumor epithelial cells show strong cytoplasmic HRP-DAB brown staining with a diffuse to granular pattern, while surrounding stromal elements display minimal background signal. The staining highlights malignant cell populations within glandular tumor structures, supporting the role of Major vault protein in tumor cell survival and cellular stress response pathways relevant to drug resistance.</p>

MVP Antibody. Immunohistochemistry analysis of Major Vault Protein (MVP / LRP) expression in formalin-fixed, paraffin-embedded human testicular carcinoma using clone 1032 mouse monoclonal antibody. Tumor epithelial cells show strong cytoplasmic HRP-DAB brown staining with a diffuse to granular pattern, while surrounding stromal elements display minimal background signal. The staining highlights malignant cell populations within glandular tumor structures, supporting the role of Major vault protein in tumor cell survival and cellular stress response pathways relevant to drug resistance.

Found all antibodies, displaying 1 to 10
MVP Antibody / Major Vault Protein (clone 1014)
Catalog No : V3042
Applications : WB, IF
Reactivity : Human
Format : Purified
MVP Antibody / Major Vault Protein (clone 1032)
Catalog No : V3043
Applications : IHC-P
Reactivity : Human
Format : Purified
MVP Antibody / Major Vault Protein (clone SPM280)
Catalog No : V3044
Applications : IHC-P
Reactivity : Human
Format : Purified
MVP Antibody / Major Vault Protein
Catalog No : RQ4254
Applications : WB, FACS, IHC-P, IF/ICC, ELISA
Reactivity : Human, Mouse, Rat
Format : Antigen affinity purified
MVP Antibody / Major Vault Protein (clone VP2897R)
Catalog No : V7393
Applications : IHC-P, WB
Reactivity : Human
Format : Purified
Recrabbitmono
MVP Antibody / Major Vault Protein (clone MJVP-1R)
Catalog No : V7386
Applications : IHC-P
Reactivity : Human
Format : Purified
Recrabbitmono
MVP Antibody / Major Vault Protein (clone 8B12)
Catalog No : RQ5611
Applications : WB, IHC-P, FACS
Reactivity : Human, Mouse, Rat
Format : Antigen affinity purified
Major Vault Protein Antibody / MVP (clone r1032)
Catalog No : V4405
Applications : WB, IHC-P
Reactivity : Human
Format : Purified
Recmousemono