• Tel: 858.663.9055
  • SeparatorEmail: info@nsjbio.com
  • Tel: 858.663.9055
  • Email: info@nsjbio.com
Home >> Antibodies >> Major Vault Protein Antibody for IHC

Major Vault Protein Antibody for IHC [clone 1032] (V3043)

  Catalog No Formulation Size Price (USD)  
Image V3043-100UG 0.2 mg/ml in 1X PBS with 0.1 mg/ml BSA (US sourced) and 0.05% sodium azide 100 ug 559
Image
V3043-20UG 0.2 mg/ml in 1X PBS with 0.1 mg/ml BSA (US sourced) and 0.05% sodium azide 20 ug 259
Image
V3043SAF-100UG 1 mg/ml in 1X PBS; BSA free, sodium azide free 100 ug 559
Image
V3043IHC-7ML Prediluted in 1X PBS with 0.1 mg/ml BSA (US sourced) and 0.05% sodium azide; *For IHC use only* 7 ml 559
Bulk quote request
Major Vault Protein Antibody for IHC. Immunohistochemistry analysis of Major Vault Protein (MVP / LRP) expression in formalin-fixed, paraffin-embedded human testicular carcinoma using clone 1032 mouse monoclonal antibody. Tumor epithelial cells display strong cytoplasmic HRP-DAB brown staining with a granular to diffuse pattern, consistent with vault particle distribution, while surrounding stromal elements show minimal staining. The signal highlights malignant cell populations within glandular and solid tumor regions, supporting the role of Major vault protein in tumor biology and cellular stress response pathways.
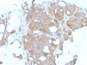
Major Vault Protein Antibody for IHC. Immunohistochemistry analysis of Major Vault Protein (MVP / LRP) expression in formalin-fixed, paraffin-embedded human breast carcinoma using clone 1032 mouse monoclonal antibody. Tumor epithelial cells show moderate to strong cytoplasmic HRP-DAB brown staining with a diffuse pattern and focal granular accentuation, consistent with intracellular vault complex localization, while surrounding stromal and adipose tissues display minimal to low background staining. The signal highlights malignant epithelial cell populations within tumor nests, supporting the role of Major vault protein in tumor cell survival and cellular stress response pathways.
SDS-PAGE analysis of purified, BSA-free Major Vault Protein antibody (clone 1032) as confirmation of integrity and purity.
Availability 1-3 business days
Species Reactivity Human
Format Purified
Host Mouse
Clonality Monoclonal (mouse origin)
Isotype Mouse IgG1, kappa
Clone Name 1032
Purity Protein G affinity chromatography
UniProt Q14764
Localization Cytoplasmic, nuclear
Applications Immunohistochemistry (FFPE) : 1-2ug/ml for 30 min at RT
Limitations This Major Vault Protein Antibody for IHC is available for research use only.
Review this product on BioCompare and get a $20 Amazon gift card

Related Products

Description

Major Vault Protein (MVP), encoded by the MVP gene, is the primary structural component of vault ribonucleoprotein particles, large cytoplasmic complexes involved in intracellular transport, signal transduction, and cellular stress responses. MVP is also widely known as Lung resistance-related protein (LRP), reflecting its strong association with multidrug resistance in cancer. MVP is broadly expressed across tissues, with prominent expression in epithelial cells, immune cells, and proliferative compartments.

Major Vault Protein Antibody for IHC, also referred to as MVP immunohistochemistry antibody or LRP antibody for IHC in the literature, is specifically suited for mapping MVP expression within formalin-fixed, paraffin-embedded tissue sections. This Major Vault Protein Antibody for IHC (clone 1032) is uniquely positioned for evaluating tissue distribution patterns and cell-type specific localization across a wide range of normal and pathological tissues. Clone 1032 antibody supports consistent and interpretable cytoplasmic staining, enabling reliable assessment of MVP expression within preserved tissue architecture.

In immunohistochemistry applications, MVP is typically observed as cytoplasmic staining within epithelial cells, often displaying diffuse to finely granular patterns consistent with vault particle distribution. Perinuclear accentuation may be present, reflecting association with intracellular transport pathways. This staining pattern allows clear visualization of cell boundaries and cytoplasmic compartments, supporting detailed morphological interpretation in tissue sections.

A key advantage of using this Major vault protein antibody for IHC is its ability to define expression patterns across different tissue compartments. MVP staining can be evaluated in epithelial layers, glandular structures, stromal regions, and immune cell populations, allowing comparison of expression across diverse cellular contexts. This makes the antibody particularly useful for studies involving tissue panels or broad expression profiling, where consistent staining patterns are critical for interpretation.

MVP plays a central role in vault complex assembly and is implicated in intracellular transport processes, including nucleocytoplasmic trafficking and vesicular movement. It is also involved in signaling pathways such as PI3K-AKT, contributing to regulation of apoptosis and cellular stress responses. Immunohistochemistry provides a direct way to relate these biological functions to spatial expression patterns within intact tissues.

Expression of MVP has been reported in a wide range of tissues and tumor types, including lung, breast, ovarian, and gastrointestinal tissues. While MVP is widely expressed, differences in staining intensity and distribution can be observed depending on tissue type, differentiation status, and pathological condition. These variations can be visualized and interpreted within the context of histological architecture using immunohistochemistry.

The MVP gene is located on chromosome 16p11.2 and encodes a protein composed of repeating structural domains that assemble into the characteristic vault particle. Its widespread expression and involvement in key cellular processes make it a useful marker for studying intracellular transport and cellular organization in tissue-based assays.

This Major vault protein antibody for IHC is suitable for detecting MVP expression in formalin-fixed tissue sections, supporting detailed analysis of tissue distribution, cellular localization, and histological patterning.

This MVP antibody is part of a broader collection of research tools designed to support studies in cancer biology, intracellular transport, and drug resistance mechanisms.

Application Notes

Optimal dilution of the Major Vault Protein Antibody for IHC should be determined by the researcher.

1. Staining of formalin-fixed tissues requires boiling tissue sections in 10mM Tris with 1mM EDTA, pH 9, for 10-20 min followed by cooling at RT for 20 min.
2. The prediluted format is supplied in a dropper bottle and is optimized for use in IHC. After epitope retrieval step (if required), drip mAb solution onto the tissue section and incubate at RT for 30 min.

Immunogen

Proteins precipitated from human breast cancer MCF-7 cells were used as the immunogen for the Major Vault Protein antibody.

Storage

Store the Major Vault Protein antibody at 2-8oC (with azide) or aliquot and store at -20oC or colder (without azide).

Alternate Names

Major vault protein immunohistochemistry antibody, Lung resistance-related protein IHC antibody, LRP antibody for immunohistochemistry, MVP antibody for IHC, Vault protein tissue staining antibody

Cross
Bulk Quote Request Form
Name*:
Organization*:
Email*:
Phone Number*:
Catalog No.*:
Comments and Specifics(amount, formulation, etc.)*:
Validation code: Captchapackage Image


Can't read the image? click here to refresh.
    *required field

Your bulk quote request has been submitted successfully!

Please contact us if you have any questions.