• Tel: 858.663.9055
  • separatorEmail: info@nsjbio.com
  • Tel: 858.663.9055
  • Email: info@nsjbio.com
banner

Mitochondrial Antibody / Mitochondrial Antibodies

Home >> Antibodies >> Mitochondrial Antibody / Mitochondrial Antibodies

Mitochondrial Antibody / Mitochondrial Antibodies

Mitochondrial Antibody Overview

Mitochondrial Antibody detects proteins located within mitochondria, the organelles responsible for producing ATP through oxidative phosphorylation and coordinating critical processes such as apoptosis, calcium signaling, and metabolism. Because mitochondria contain hundreds of nuclear- and mitochondrial-encoded proteins, Mitochondrial Antibodies target a wide range of components, including enzymes of the electron transport chain (complexes I–V), cytochrome c, ATP synthase, TOM/TIM transporters, and structural proteins such as VDAC and HSP60.

Mitochondria are dynamic, undergoing fission and fusion to meet cellular energy needs and respond to stress. Dysregulation of mitochondrial proteins leads to diverse diseases, from rare mitochondrial disorders to neurodegeneration, cancer, cardiovascular disease, and metabolic syndromes. The Mitochondrial Antibody provides researchers with precise tools to detect mitochondrial proteins, monitor bioenergetics, and analyze signaling pathways. More broadly, Mitochondrial Antibodies are indispensable for exploring how mitochondrial dysfunction contributes to pathology.


Why Choose Mitochondrial Antibodies from NSJ Bioreagents?

NSJ Bioreagents offers Mitochondrial Antibodies validated for immunohistochemistry, western blotting, immunofluorescence, ELISA, and flow cytometry. Each Mitochondrial Antibody is tested for specificity to mitochondrial proteins and minimal cross-reactivity with cytoplasmic or nuclear targets.

By choosing a Mitochondrial Antibody from NSJ Bioreagents, scientists gain reagents optimized for reproducibility. Our antibodies deliver crisp mitochondrial staining in immunofluorescence, reliable protein detection in western blotting, and dependable performance in high-throughput assays. With extensive datasheets, positive control tissues, and application-specific protocols, NSJ Bioreagents ensures that Mitochondrial Antibodies support consistent, interpretable results across diverse research programs.


Applications of Mitochondrial Antibodies

The Mitochondrial Antibody is used across a wide range of biological disciplines due to mitochondria’s central role in energy production and cell survival.

1) Bioenergetics and Metabolism

  • Mitochondrial Antibodies detect electron transport chain proteins, enabling measurement of oxidative phosphorylation activity.

  • The Mitochondrial Antibody is applied in studies of metabolic flexibility, glycolysis-to-OXPHOS transitions, and energy stress responses.

  • Researchers use Mitochondrial Antibodies to evaluate mitochondrial adaptations in exercise physiology and obesity.

2) Apoptosis and Cell Death

  • The Mitochondrial Antibody detects cytochrome c release, a hallmark of intrinsic apoptosis.

  • Mitochondrial Antibodies are applied to study Bcl-2 family proteins and mitochondrial outer membrane permeabilization.

  • In cancer biology, the Mitochondrial Antibody helps clarify how tumor cells resist apoptosis.

3) Neurodegeneration

  • Mitochondrial Antibodies identify respiratory chain deficiencies in Parkinson’s and Alzheimer’s disease.

  • The Mitochondrial Antibody is used to measure mitochondrial dynamics in ALS and Huntington’s models.

  • Neuroscience research employs Mitochondrial Antibodies to monitor ROS production and axonal energy supply.

4) Cardiovascular Disease

  • The Mitochondrial Antibody supports research into ischemia-reperfusion injury, where mitochondrial dysfunction triggers cell death.

  • Mitochondrial Antibodies are used to analyze metabolic remodeling in heart failure.

  • In atherosclerosis, the Mitochondrial Antibody helps track oxidative stress and inflammation.

5) Immunology and Inflammation

  • The Mitochondrial Antibody detects mitochondrial proteins involved in innate immune signaling, such as MAVS.

  • Mitochondrial Antibodies help explore how mitochondria regulate inflammasomes and cytokine production.

  • In infection models, the Mitochondrial Antibody supports research into mitochondrial roles in antiviral defense.

6) Cancer and Tumor Biology

  • Mitochondrial Antibodies are applied to study metabolic reprogramming in cancer cells.

  • The Mitochondrial Antibody helps evaluate mitochondrial dependency of tumors and their response to inhibitors.

  • In translational oncology, Mitochondrial Antibodies are used to explore mitochondrial biomarkers of therapy resistance.

7) Translational Research and Drug Discovery

  • The Mitochondrial Antibody validates candidate drugs that target oxidative phosphorylation or apoptosis pathways.

  • Mitochondrial Antibodies are applied in biomarker discovery to predict therapeutic response.

  • In regenerative medicine, the Mitochondrial Antibody is used to evaluate mitochondrial integrity in stem cell-derived tissues.


Why Are Mitochondrial Antibodies Important?

Mitochondria sit at the intersection of energy, signaling, and survival. The Mitochondrial Antibody allows researchers to measure these processes with precision, while Mitochondrial Antibodies more broadly enable discoveries across metabolism, neurodegeneration, oncology, and cardiology.

In basic biology, Mitochondrial Antibodies reveal how energy is produced and regulated at the cellular level. In disease models, the Mitochondrial Antibody highlights dysfunction that drives pathology. In drug discovery, Mitochondrial Antibodies validate compounds designed to restore or inhibit mitochondrial function.

Clinically, mitochondrial proteins are emerging as biomarkers of prognosis and therapy response. The Mitochondrial Antibody connects these insights to translational applications, supporting precision medicine approaches that target mitochondrial biology.


Conclusion

Mitochondria are essential for life, integrating energy production, apoptosis, and cellular signaling. The Mitochondrial Antibody enables precise detection of mitochondrial proteins, while Mitochondrial Antibodies more broadly advance discoveries in metabolism, neurodegeneration, cardiovascular disease, and cancer biology. By bridging molecular biology with translational science, these antibodies remain indispensable for advancing both fundamental understanding and therapeutic development.

 

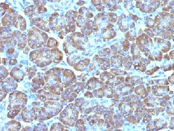
<p>IHC testing of FFPE human pancreas tissue with <a href="../tds/mitochondria-antibody-mtc02-v2353" target="_blank" rel="noopener">Mitochondrial antibody</a> (clone MTC02).</p>

IHC testing of FFPE human pancreas tissue with Mitochondrial antibody (clone MTC02).

Found all antibodies, displaying 1 to 10
HSP60 Antibody (clone LK1)
Catalog No : V2136
Applications : FACS, IF, WB, IHC-P
Reactivity : Human, Mouse, Rat
Format : Purified
HSP60 Antibody (clone LK2)
Catalog No : V2137
Applications : IF, WB, IHC-P
Reactivity : Human
Format : Purified
Mitochondrial Marker Antibody (clone 113-1)
Catalog No : V2352
Applications : IF, WB, IHC-P
Reactivity : Human
Format : Purified
Mitochondrial Marker Antibody (clone MTC02)
Catalog No : V2353
Applications : IF, IHC-P
Reactivity : Human
Format : Purified
Mitochondrial Marker Antibody (clone MTC719)
Catalog No : V2354
Applications : IHC-P
Reactivity : Human
Format : Purified
Mitochondrial Marker Antibody (clone MTC754)
Catalog No : V2355
Applications : FACS, IF, WB, IHC-P
Reactivity : Human
Format : Purified
HSP60 Antibody
Catalog No : N1073
Applications : WB
Reactivity : Human
Format : Purified
HSP60 Antibody
Catalog No : R30272
Applications : WB, IHC-P, IF, ICC, FACS
Reactivity : Human, Mouse, Rat
Format : Antigen affinity purified
GRP75 Antibody / HSPA9
Catalog No : R30886
Applications : WB, IHC-P, IHC-F, ICC
Reactivity : Human, Mouse, Rat
Format : Antigen affinity purified
HSP10 Antibody / HSPE1
Catalog No : R30887
Applications : WB, IHC-P, ICC, IF, FACS
Reactivity : Human, Mouse, Rat
Format : Antigen affinity purified