• Tel: 858.663.9055
  • SeparatorEmail: info@nsjbio.com
  • Tel: 858.663.9055
  • Email: info@nsjbio.com
Home >> Antibodies >> Mitochondrial Antibody

Mitochondrial Antibody [clone MTC719] (V2354)

  Catalog No Formulation Size Price (USD)  
Image V2354-100UG 0.2 mg/ml in 1X PBS with 0.1 mg/ml BSA (US sourced) and 0.05% sodium azide 100 ug 559
Image
V2354-20UG 0.2 mg/ml in 1X PBS with 0.1 mg/ml BSA (US sourced) and 0.05% sodium azide 20 ug 259
Image
V2354SAF-100UG 1 mg/ml in 1X PBS; BSA free, sodium azide free 100 ug 559
Image
V2354IHC-7ML Prediluted in 1X PBS with 0.1 mg/ml BSA (US sourced) and 0.05% sodium azide; *For IHC use only* 7 ml 559
Bulk quote request
IHC testing of FFPE human bladder carcinoma with Mitochondrial antibody (clone MTC719).
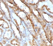
IHC testing of FFPE human renal cell carcinoma with Mitochondrial antibody (clone MTC719).
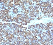
IHC testing of FFPE human pancreas with Mitochondrial antibody (clone MTC719).
Species Reactivity Human
Format Purified
Host Mouse
Clonality Monoclonal (mouse origin)
Isotype Mouse IgG1, kappa
Clone Name MTC719
Purity Protein G affinity chromatography
Buffer 1X PBS, pH 7.4
Localization Mitochondria in cytoplasm
Applications Immunohistochemistry (FFPE) : 1-2ug/ml for 30 min at RT
Limitations This Mitochondrial antibody is available for research use only.
Review this product on BioCompare and get a $20 Amazon gift card

Related Products

Description

Mitochondrial antibody (clone MTC719) detects a mitochondrial membrane-associated protein expressed in all energy-producing eukaryotic cells, serving as a general marker for mitochondrial localization and quantification. Mitochondria are central regulators of bioenergetic metabolism, converting nutrients into ATP through the process of oxidative phosphorylation. They also control key aspects of apoptosis, calcium signaling, and redox balance. The antigen recognized by clone MTC719 is present on mitochondrial membranes, enabling precise visualization of mitochondrial distribution in diverse tissues and cell types.

The structural organization of mitochondria reflects cellular energy demand and environmental stress. They undergo continuous fission and fusion to maintain function and integrity, processes governed by GTPases such as MFN1, MFN2, and DRP1. These dynamics balance mitochondrial biogenesis with degradation through mitophagy, ensuring optimal energy supply and removal of damaged organelles. Clone MTC719 provides researchers with a reliable reagent for assessing mitochondrial abundance, morphology, and fragmentation across a variety of experimental conditions including oxidative stress, hypoxia, and drug exposure.

Because mitochondria play a pivotal role in apoptosis, clone MTC719 is frequently employed to monitor mitochondrial integrity during programmed cell death. It can be used to evaluate mitochondrial membrane potential, detect loss of network continuity, or assess organelle redistribution in apoptotic and stressed cells. The antibody's consistent staining pattern makes it ideal for co-labeling with nuclear and cytoskeletal markers to study spatial relationships between mitochondria and other organelles. In developmental biology and metabolism research, clone MTC719 aids in characterizing mitochondrial biogenesis during differentiation and adaptation to changing energy demands.

Mitochondrial dysfunction contributes to the pathogenesis of numerous diseases, including diabetes, cancer, and neurodegeneration. Visualization of mitochondrial networks with Mitochondrial antibody (clone MTC719) provides insight into how energy metabolism is altered in disease states. It can also serve as a loading or normalization control in experiments measuring mitochondrial protein expression. Its broad reactivity makes it suitable for human samples in both cell-based and tissue-based assays.

Mitochondrial antibody (clone MTC719) is suitable for use in immunofluorescence, immunocytochemistry, and other imaging applications requiring specific detection of mitochondria. NSJ Bioreagents provides Mitochondrial antibody (clone MTC719) validated for use in relevant research applications supporting studies in mitochondrial physiology, bioenergetics, and disease-related metabolic regulation.

Application Notes

The concentration stated for each application is a general starting point. Variations in protocols, secondaries and substrates may require the Mitochondrial antibody to be titered up or down for optimal performance.

1. Staining of formalin-fixed tissues is enhanced by boiling tissue sections in pH 9 10mM Tris with 1mM EDTA for 10-20 min followed by cooling at RT for 20 minutes.
2. The prediluted format is supplied in a dropper bottle and is optimized for use in IHC. After epitope retrieval step (if required), drip mAb solution onto the tissue section and incubate at RT for 30 min.

Immunogen

The Mitochondrial fraction of HeLa cells was used as the immunogen for this Mitochondrial antibody.

Storage

Store the Mitochondrial antibody at 2-8oC (with azide) or aliquot and store at -20oC or colder (without azide).

Cross
Bulk Quote Request Form
Name*:
Organization*:
Email*:
Phone Number*:
Catalog No.*:
Comments and Specifics(amount, formulation, etc.)*:
Validation code: Captchapackage Image


Can't read the image? click here to refresh.
    *required field

Your bulk quote request has been submitted successfully!

Please contact us if you have any questions.