• Tel: 858.663.9055
  • SeparatorEmail: info@nsjbio.com
  • Tel: 858.663.9055
  • Email: info@nsjbio.com
Home >> Antibodies >> Mitochondria Marker Antibody

Mitochondria Marker Antibody [clone MTC754] (V2355)

  Catalog No Formulation Size Price (USD)  
Image V2355-100UG 0.2 mg/ml in 1X PBS with 0.1 mg/ml BSA (US sourced) and 0.05% sodium azide 100 ug 559
Image
V2355-20UG 0.2 mg/ml in 1X PBS with 0.1 mg/ml BSA (US sourced) and 0.05% sodium azide 20 ug 259
Image
V2355SAF-100UG 1 mg/ml in 1X PBS; BSA free, sodium azide free 100 ug 559
Image
V2355IHC-7ML Prediluted in 1X PBS with 0.1 mg/ml BSA (US sourced) and 0.05% sodium azide; *For IHC use only* 7 ml 559
Bulk quote request
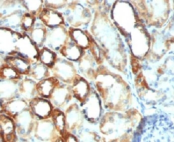
IHC testing of FFPE human renal cell carcinoma with Mitochondria marker antibody.
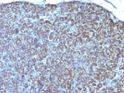
IHC testing of FFPE human pancreas with Mitochondria marker antibody.
Species Reactivity Human
Format Purified
Host Mouse
Clonality Monoclonal (mouse origin)
Isotype Mouse IgG1, kappa
Clone Name MTC754
Purity Protein G affinity chromatography
Buffer 1X PBS, pH 7.4
Localization Mitochondria in cytoplasm
Applications Flow Cytometry : 0.5-1ug/10^6 cells
Immunofluorescence : 0.5-1ug/ml
Western Blot : 0.25-0.5ug/ml
Immunohistochemistry (FFPE) : 0.5-1ug/ml for 30 min at RT
Limitations This Mitochondria marker antibody is available for research use only.
Review this product on BioCompare and get a $20 Amazon gift card

Related Products

Description

Mitochondria Marker antibody (clone MTC754) detects mitochondrial structures involved in cellular energy metabolism, redox balance, and signaling coordination. Mitochondria are semi-autonomous organelles containing their own DNA and machinery for oxidative phosphorylation, which provides most of the ATP required for cellular activity. The antibody recognizes a conserved mitochondrial protein that serves as a useful indicator of organelle abundance and spatial organization, allowing detailed investigation of cell metabolism and morphology. Because mitochondrial shape and network connectivity reflect energy state and stress adaptation, reliable immunolabeling is essential for tracking these parameters in experimental systems.

Mitochondria perform multiple roles beyond ATP production. They participate in fatty acid oxidation, amino acid interconversion, heme biosynthesis, and steroid metabolism. Their inner membrane maintains a strong electrochemical gradient that drives ATP synthesis and ion transport. Through calcium buffering and reactive oxygen species modulation, mitochondria influence cell signaling and survival decisions. The mitochondrial population adjusts dynamically through fission, fusion, and biogenesis, processes that maintain functional integrity and prevent accumulation of damaged components. Mitochondrial Marker antibody (clone MTC754) supports visualization of these organelles in studies of metabolic regulation and cell adaptation.

When cell stress occurs, mitochondria are among the first organelles to respond. They can release signaling molecules that trigger programmed cell death or activate protective pathways depending on the nature of the insult. Morphological monitoring through immunodetection provides a means to correlate mitochondrial behavior with experimental treatments such as oxidative challenge, nutrient limitation, or pharmacologic inhibition. Mitochondria also interact closely with the endoplasmic reticulum, cytoskeleton, and peroxisomes, and the ability to co-stain for these compartments deepens insight into subcellular coordination.

An antibody to mitochondrial proteins can be used in immunohistochemistry, western blot, or other research assays to identify mitochondrial content and assess organelle organization. These general approaches are applied across many cell types to explore how mitochondrial networks change under varying metabolic or developmental conditions. The consistent labeling pattern obtained with clone MTC754 makes it well suited for examining mitochondrial mass and distribution in cellular systems that model energy metabolism, differentiation, or toxicity responses.

NSJ Bioreagents provides Mitochondria Marker antibody (clone MTC754) validated for use in relevant research applications supporting studies in mitochondrial biology, energy regulation, and organelle dynamics.

Application Notes

The concentration stated for each application is a general starting point. Variations in protocols, secondaries and substrates may require the Mitochondria marker antibody to be titered up or down for optimal performance.

1. Staining of FFPE tissues is enhanced by boiling sections in 10mM Tris with 1mM EDTA Buffer, pH 9.0, for 10-20 min followed by cooling at RT for 20 min.
2. The prediluted format is supplied in a dropper bottle and is optimized for use in IHC. After epitope retrieval step (if required), drip mAb solution onto the tissue section and incubate at RT for 30 min.

Immunogen

The Mitochondrial fraction of HeLa cells was used as the immunogen for this Mitochondria marker antibody.

Storage

Store the Mitochondria marker antibody at 2-8oC (with azide) or aliquot and store at -20oC or colder (without azide).

Cross
Bulk Quote Request Form
Name*:
Organization*:
Email*:
Phone Number*:
Catalog No.*:
Comments and Specifics(amount, formulation, etc.)*:
Validation code: Captchapackage Image


Can't read the image? click here to refresh.
    *required field

Your bulk quote request has been submitted successfully!

Please contact us if you have any questions.