• Tel: 858.663.9055
  • SeparatorEmail: info@nsjbio.com
  • Tel: 858.663.9055
  • Email: info@nsjbio.com
Home >> Antibodies >> GRP75 Antibody / HSPA9

GRP75 Antibody / HSPA9 (R30886)

  Catalog No Formulation Size Price (USD)  
Image R30886 0.5mg/ml if reconstituted with 0.2ml sterile DI water 100 ug 449
Bulk quote request
Western blot testing of 1) human HeLa, 2) human A549, 3) human Jurkat, 4) human HepG2, 5) rat testis, 6) mouse testis and 7) mouse NIH 3T3 cell lysate with GRP75 antibody. Expected molecular weight: 70~75 kDa.
IHC-P: GRP75 antibody testing of human lung cancer tissue. HIER: steamed with pH6 citrate buffer.
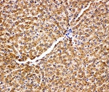
IHC-P: GRP75 antibody testing of rat liver tissue. HIER: steamed with pH6 citrate buffer.
ICC staining of human A549 cells.
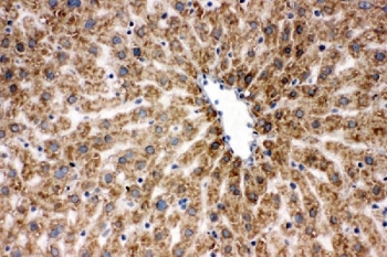
IHC staining of frozen rat liver tissue with GRP75 antibody.
Availability 1-3 business days
Species Reactivity Human, Mouse, Rat
Format Antigen affinity purified
Host Rabbit
Clonality Polyclonal (rabbit origin)
Isotype Rabbit IgG
Purity Antigen affinity
Buffer Lyophilized from 1X PBS with 2.5% BSA and 0.025% sodium azide/thimerosal
UniProt P38646
Localization Cytoplasmic
Applications Western Blot : 0.5-1ug/ml
Immunohistochemistry (FFPE) : 0.5-1ug/ml
Immunohistochemistry (Frozen) : 0.5-1ug/ml
Immunocytochemistry : 0.5-1ug/ml
Limitations This GRP75 antibody is available for research use only.
Review this product on BioCompare and get a $20 Amazon gift card

Related Products

  • Applications : WB, IHC-P, IF, FACS
    Reactivity : Human, Mouse, Rat
  • Applications : WB, IHC-P, FACS, IF
    Reactivity : Human, Mouse, Rat

Description

Heat shock 70kDa protein 9, also known as GRP75, mot-2, mthsp75, PBP74, HSPA9B, and Mortalin, is a highly conserved member of the HSP70 family of proteins. It functions as a chaperone in the mitochondria, cytoplasm, and centrosome. This protein plays a role in the control of cell proliferation.

Application Notes

The stated application concentrations are suggested starting amounts. Titration of the GRP75 antibody may be required due to differences in protocols and secondary/substrate sensitivity.

Immunogen

An amino acid sequence from the C-terminus of human GRP75 (DTETKMEEFKDQLPADECN) was used as the immunogen for this GRP75 antibody (100% homologous in human, mouse and rat).

Storage

After reconstitution, the GRP75 antibody can be stored for up to one month at 4oC. For long-term, aliquot and store at -20oC. Avoid repeated freezing and thawing.

Cross
Bulk Quote Request Form
Name*:
Organization*:
Email*:
Phone Number*:
Catalog No.*:
Comments and Specifics(amount, formulation, etc.)*:
Validation code: Captchapackage Image


Can't read the image? click here to refresh.
    *required field

Your bulk quote request has been submitted successfully!

Please contact us if you have any questions.