Tel: 858.663.9055
Email: info@nsjbio.com
Tel: 858.663.9055
Email: info@nsjbio.com
My Cart (0)
Antibodies
Protocols
About Us
Distributors
Contact Us
Order
Toggle navigation
Menu
Antibodies
Protocols
About Us
Distributors
Contact Us
Order
Search results for
Hsp40
There are no search results with an exact match of
Hsp40
. Related results are displayed below.
HSP40 Antibody / DNAJB1
Catalog No
:
RQ7331
Applications
:
WB, FACS, Direct ELISA
Reactivity
:
Human, Rat
Pred. Reactivity
:
Format
:
Antigen affinity purified
RRID
:
Powered by Bioz
‹
›
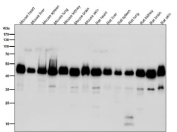
DNAJA4 Antibody / DnaJ homolog subfamily A member 4 (clone 30D35)
Catalog No
:
FY13306
Applications
:
WB, IP
Reactivity
:
Human, Mouse, Rat
Pred. Reactivity
:
Format
:
Liquid
RRID
:
Powered by Bioz
‹
›
SEC63 Antibody / DNAJC23
Catalog No
:
FY12122
Applications
:
WB, IHC, IF, ICC/IF, FACS, ELISA
Reactivity
:
Human, Mouse, Rat
Pred. Reactivity
:
Format
:
Lyophilized
RRID
:
Powered by Bioz
‹
›
DNAJB4 Antibody
Catalog No
:
F53879
Applications
:
WB
Reactivity
:
Human
Pred. Reactivity
:
Bovine
Format
:
Antigen affinity purified
RRID
:
Powered by Bioz
‹
›