• Tel: 858.663.9055
  • SeparatorEmail: info@nsjbio.com
  • Tel: 858.663.9055
  • Email: info@nsjbio.com
Home >> Antibodies >> DNAJA4 Antibody / DnaJ homolog subfamily A member 4

DNAJA4 Antibody / DnaJ homolog subfamily A member 4 [clone 30D35] (FY13306)

  Catalog No Formulation Size Price (USD)  
Image FY13306 Rabbit IgG in phosphate buffered saline, pH 7.4, 150mM NaCl, 0.02% sodium azide and 50% glycerol, 0.4-0.5mg/ml BSA 100 ul 449
Microvalidated Recrabbitmono
Bulk quote request
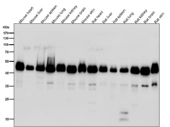
Western blot testing of mouse and rat samples using the DNAJA4 antibody at 1:5000 dilution for 1 hour at room temperature. Predicted molecular weight ~45 kDa.
Western blot testing of human samples using the DNAJA4 antibody at 1:5000 dilution for 1 hour at room temperature. Predicted molecular weight ~45 kDa.
Western blot analysis of DNAJA4 expression in Hela cell lysate using DNAJA4 antibody. Predicted molecular weight ~45 kDa.
Immunoprecipitation analysis using the antibody at 1:50 dilution. (Western blot at 1:500 dilution)
Availability 2-3 weeks
Species Reactivity Human, Mouse, Rat
Format Liquid
Host Rabbit
Clonality Recombinant Rabbit Monoclonal
Isotype Rabbit IgG
Clone Name 30D35
Purity Affinity chromatography
Buffer Rabbit IgG in phosphate buffered saline, pH 7.4, 150mM NaCl, 0.02% sodium azide and 50% glycerol, 0.4-0.5mg/ml BSA.
UniProt Q8WW22
Applications Western Blot : 1:500-1:2000
Immunoprecipitation : 1:50
Limitations This DNAJA4 antibody is available for research use only.
Review this product on BioCompare and get a $20 Amazon gift card

Description

DNAJA4 antibody detects DnaJ homolog subfamily A member 4, encoded by the DNAJA4 gene. DnaJ homolog subfamily A member 4 is a co-chaperone of the Hsp40/DnaJ family that regulates Hsp70 activity, ensuring proper protein folding, degradation, and cellular stress responses. DNAJA4 antibody provides researchers with a valuable reagent to study chaperone biology, protein homeostasis, and stress adaptation.

DnaJ homolog subfamily A member 4 contains a J domain that interacts with Hsp70 family chaperones to stimulate ATP hydrolysis and substrate binding. Research using DNAJA4 antibody has shown that it guides Hsp70 to specific client proteins, thereby influencing folding efficiency and preventing aggregation. This co-chaperone function is critical for maintaining proteostasis under normal and stress conditions.

Studies with DNAJA4 antibody have revealed important roles in cardiac and muscle physiology. DNAJA4 is enriched in cardiomyocytes, where it supports folding of contractile proteins and protects cells from stress-induced apoptosis. Loss of DNAJA4 function impairs sarcomeric organization and reduces cardiac performance. These findings highlight the relevance of DNAJA4 in cardiovascular health.

Dysregulation of DnaJ homolog subfamily A member 4 contributes to disease. Research using DNAJA4 antibody has shown that altered expression affects cell survival under stress, contributing to pathologies such as cardiomyopathy and neurodegeneration. Because DNAJA4 modulates stress response pathways, it is a candidate biomarker and therapeutic target in diseases linked to proteostasis failure.

DNAJA4 antibody is widely applied in western blotting, immunohistochemistry, and immunofluorescence. Western blotting detects multiple isoforms and stress-induced expression, immunohistochemistry reveals tissue distribution in heart and muscle, and immunofluorescence demonstrates cytoplasmic localization associated with chaperone networks. These approaches make DNAJA4 antibody essential for research on molecular chaperones.

By providing validated DNAJA4 antibody reagents, NSJ Bioreagents supports studies into protein folding, stress responses, and disease biology. Detection of DnaJ homolog subfamily A member 4 allows researchers to explore the mechanisms by which chaperones regulate proteostasis and protect against cellular stress.

Application Notes

Optimal dilution of the DNAJA4 antibody should be determined by the researcher.

Immunogen

A synthesized peptide derived from human DNAJA4 was used as the immunogen for the DNAJA4 antibody.

Storage

Store the DNAJA4 antibody at -20oC.

Cross
Bulk Quote Request Form
Name*:
Organization*:
Email*:
Phone Number*:
Catalog No.*:
Comments and Specifics(amount, formulation, etc.)*:
Validation code: Captchapackage Image


Can't read the image? click here to refresh.
    *required field

Your bulk quote request has been submitted successfully!

Please contact us if you have any questions.