• Tel: 858.663.9055
  • SeparatorEmail: info@nsjbio.com
  • Tel: 858.663.9055
  • Email: info@nsjbio.com
Home >> Antibodies >> SEC63 Antibody / DNAJC23

SEC63 Antibody / DNAJC23 (FY12122)

  Catalog No Formulation Size Price (USD)  
Image FY12122 Adding 0.2 ml of distilled water will yield a concentration of 500 ug/ml 100 ug 449
Bulk quote request
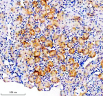
IHC analysis of SEC63 using anti-SEC63 antibody. SEC63 was detected in a paraffin-embedded section of human thyroid cancer tissue. Heat mediated antigen retrieval was performed in EDTA buffer (pH 8.0, epitope retrieval solution). The tissue section was blocked with 10% goat serum. The tissue section was then incubated with 2 ug/ml rabbit anti-SEC63 antibody overnight at 4oC. Peroxidase Conjugated Goat Anti-rabbit IgG was used as secondary antibody and incubated for 30 minutes at 37oC. The tissue section was developed using an HRP secondary and DAB substrate.
Western blot analysis of SEC63 using anti-SEC63 antibody. Electrophoresis was performed on a 10% SDS-PAGE gel at 80V (Stacking gel) / 120V (Resolving gel) for 2 hours. Lane 1: human whole cell lysates, Lane 2: human 293T whole cell lysates, Lane 3: human PC-3 whole cell lysates, Lane 4: human THP-1 whole cell lysates, Lane 5: rat liver tissue lysates, Lane 6: rat kidney tissue lysates, Lane 7: mouse liver tissue lysates. After electrophoresis, proteins were transferred to a nitrocellulose membrane at 150 mA for 50-90 minutes. Blocked the membrane with 5% non-fat milk/TBS for 1.5 hour at RT. The membrane was incubated with rabbit anti-SEC63 antibody at 0.5 ug/ml overnight at 4oC, then washed with TBS-0.1%Tween 3 times with 5 minutes each and probed with a goat anti-rabbit IgG-HRP secondary antibody at a dilution of 1:5000 for 1.5 hour at RT. The signal was developed using an ECL Plus Western Blotting Substrate. A specific band was detected for SEC63 at approximately 90 kDa. The expected band size for SEC63 is at 90 kDa.
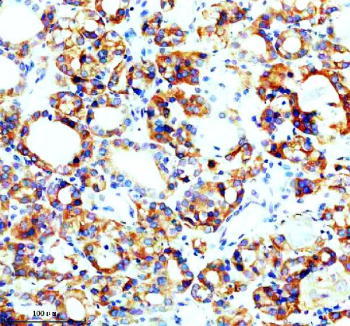
IHC analysis of SEC63 using anti-SEC63 antibody. SEC63 was detected in a paraffin-embedded section of mouse kidney tissue. Heat mediated antigen retrieval was performed in EDTA buffer (pH 8.0, epitope retrieval solution). The tissue section was blocked with 10% goat serum. The tissue section was then incubated with 2 ug/ml rabbit anti-SEC63 antibody overnight at 4oC. Peroxidase Conjugated Goat Anti-rabbit IgG was used as secondary antibody and incubated for 30 minutes at 37oC. The tissue section was developed using an HRP secondary and DAB substrate.
IF analysis of SEC63 using anti-SEC63 antibody (red). SEC63 was detected in a paraffin-embedded section of human thyroid cancer tissue. Heat mediated antigen retrieval was performed in EDTA buffer (pH 8.0, epitope retrieval solution). The tissue section was blocked with 10% goat serum. The tissue section was then incubated with 5 ug/ml rabbit anti-SEC63 antibody overnight at 4oC. Cy3 Conjugated Goat Anti-Rabbit IgG was used as secondary antibody at 1:500 dilution and incubated for 30 minutes at 37oC. The section was counterstained with DAPI (blue). Visualize using a fluorescence microscope and filter sets appropriate for the label used.
IF analysis of SEC63 using anti-SEC63 antibody (green). SEC63 was detected in an immunocytochemical section of SIHA cells. Enzyme antigen retrieval was performed using IHC enzyme antigen retrieval reagent for 15 mins. The cells were blocked with 10% goat serum. And then incubated with 5 ug/ml rabbit anti-SEC63 antibody overnight at 4oC. DyLight 488 Conjugated Goat Anti-Rabbit IgG was used as secondary antibody at 1:500 dilution and incubated for 30 minutes at 37oC. The section was counterstained with DAPI (blue). Visualize using a fluorescence microscope and filter sets appropriate for the label used.
Flow Cytometry analysis of PC-3 cells using anti-SEC63 antibody. Overlay histogram showing PC-3 cells stained with (Blue line). To facilitate intracellular staining, cells were fixed with 4% paraformaldehyde and permeabilized with permeabilization buffer. The cells were blocked with 10% normal goat serum. And then incubated with rabbit anti-SEC63 antibody (1 ug/million cells) for 30 min at 20oC. DyLight 488 conjugated goat anti-rabbit IgG (5-10 ug/million cells) was used as secondary antibody for 30 minutes at 20oC. Isotype control antibody (Green line) was rabbit IgG (1 ug/million cells) used under the same conditions. Unlabelled sample without incubation with primary antibody and secondary antibody (Red line) was used as a blank control.
Availability 1-2 days
Species Reactivity Human, Mouse, Rat
Format Lyophilized
Host Rabbit
Clonality Polyclonal (rabbit origin)
Isotype Rabbit IgG
Purity Immunogen affinity purified
Buffer Each vial contains 4 mg Trehalose, 0.9 mg NaCl, 0.2 mg Na2HPO4.
UniProt Q9UGP8
Applications Western Blot : 0.25-0.5ug/ml
Immunohistochemistry : 2-5ug/ml
Immunofluorescence : 5ug/ml
Immunocytochemistry/Immunofluorescence : 5ug/ml
Flow Cytometry : 1-3ug/million cells
ELISA : 0.1-0.5ug/ml
Limitations This SEC63 antibody is available for research use only.
Review this product on BioCompare and get a $20 Amazon gift card

Description

SEC63 antibody detects Sec63 homolog, a component of the endoplasmic reticulum (ER) translocon complex encoded by the SEC63 gene on chromosome 6q21. SEC63 is an integral membrane protein essential for protein translocation into the ER and is conserved from yeast to humans. It functions as part of the SEC61/SEC62/SEC63 complex, which mediates post-translational import of secretory and membrane proteins into the ER lumen. SEC63 interacts directly with BiP (HSPA5), the ER-resident chaperone, to facilitate ATP-driven polypeptide movement across the translocon pore. The presence of SEC63 ensures proper folding and maturation of newly synthesized proteins, thereby maintaining proteostasis and ER homeostasis.

Structurally, SEC63 is a multi-pass membrane protein with a luminal J-domain that binds BiP. This J-domain stimulates BiP's ATPase activity, coordinating polypeptide translocation and preventing premature folding. SEC63 also contains hydrophobic transmembrane segments that anchor it within the ER and permit association with SEC61 alpha, beta, and gamma subunits. Loss-of-function mutations in SEC63 disrupt ER import, leading to protein misfolding and accumulation, hallmarks of ER stress and unfolded protein response activation.

Clinically, SEC63 is associated with polycystic liver disease (PCLD). Mutations in SEC63 impair secretory protein maturation, particularly affecting hepatocyte glycoproteins, leading to cyst formation and progressive liver dysfunction. Animal models with SEC63 deficiency replicate these phenotypes, confirming its pathogenic role. Moreover, SEC63 has been implicated in cancer biology: dysregulated expression alters secretory pathways and contributes to tumor growth, metastasis, and altered stress signaling. SEC63 antibody is therefore a valuable research tool in hepatology, ER biology, and cancer studies.

Experimentally, SEC63 antibody is used for western blotting, immunoprecipitation, immunofluorescence, and immunohistochemistry. In cultured cells, immunostaining shows SEC63 localization in the perinuclear ER network, while biochemical assays reveal its incorporation into SEC61 complexes. Researchers employ SEC63 antibody to investigate ER import fidelity, stress responses, and disease-related mutations. In clinical research, SEC63 detection provides insights into genetic causes of liver cysts and potential therapeutic approaches targeting protein folding pathways. NSJ Bioreagents provides SEC63 antibody to ensure consistent, validated detection for these applications.

Application Notes

Optimal dilution of the SEC63 antibody should be determined by the researcher.

Immunogen

E.coli-derived human SEC63 recombinant protein (Position: R37-D760) was used as the immunogen for the SEC63 antibody.

Storage

After reconstitution, the SEC63 antibody can be stored for up to one month at 4oC. For long-term, aliquot and store at -20oC. Avoid repeated freezing and thawing.

Cross
Bulk Quote Request Form
Name*:
Organization*:
Email*:
Phone Number*:
Catalog No.*:
Comments and Specifics(amount, formulation, etc.)*:
Validation code: Captchapackage Image


Can't read the image? click here to refresh.
    *required field

Your bulk quote request has been submitted successfully!

Please contact us if you have any questions.