• Tel: 858.663.9055
  • separatorEmail: info@nsjbio.com
  • Tel: 858.663.9055
  • Email: info@nsjbio.com
banner

KRT6 Antibody / Keratin 6 Antibody - Hyperproliferation Associated Gene

Home >> Antibodies >> KRT6 Antibody / Keratin 6 Antibody - Hyperproliferation Associated Gene

KRT6 Antibody / Keratin 6 Antibody - Hyperproliferation Associated Gene

KRT6 Antibody Overview

KRT6 Antibody detects keratin 6, a type II intermediate filament protein expressed in stratified epithelia, including skin, oral mucosa, and esophagus. Keratin 6 is typically induced in response to stress, injury, and hyperproliferative conditions, serving as a marker of activated keratinocytes. It partners with keratin 16 and keratin 17 to provide structural integrity during epithelial repair and remodeling.

KRT6 expression is strongly associated with wound healing, psoriasis, and epithelial cancers. Mutations in keratin 6 genes (KRT6A, KRT6B, KRT6C) cause pachyonychia congenita, a rare genetic disorder marked by nail dystrophy and painful keratoderma. The KRT6 Antibody therefore provides a specific and versatile reagent for studying epithelial biology, disease mechanisms, and therapeutic development.

Because keratin 6 is both a stress-inducible protein and a disease-associated marker, Keratin 6 Antibody tools are indispensable in dermatology, oncology, and regenerative medicine.


Why Choose KRT6 Antibodies from NSJ Bioreagents?

NSJ Bioreagents offers KRT6 Antibodies validated for immunohistochemistry, western blotting, immunofluorescence, ELISA, and flow cytometry. Each KRT6 Antibody is rigorously tested for specificity to keratin 6 isoforms and minimal cross-reactivity with related keratins.

By selecting a KRT6 Antibody from NSJ Bioreagents, researchers gain reagents optimized for reproducibility and clarity. Our antibodies deliver sharp staining in hyperproliferative epithelium, consistent detection in protein assays, and reliable results across diverse experimental platforms. With detailed datasheets, recommended positive controls, and validated protocols, NSJ Bioreagents ensures that Keratin 6 Antibody products provide dependable performance in both research and diagnostic contexts.


Applications of KRT6 Antibodies

The KRT6 Antibody is widely applied due to keratin 6’s role in epithelial activation and pathology.

1) Skin Biology and Wound Healing

  • KRT6 Antibodies identify keratinocytes activated during wound repair.

  • The KRT6 Antibody highlights re-epithelialization in cutaneous injury models.

  • Keratin 6 Antibody tools clarify interactions between keratinocytes and immune cells during healing.

2) Genetic Disorders

  • KRT6 Antibodies are used to study pachyonychia congenita caused by keratin 6 mutations.

  • The KRT6 Antibody detects keratin changes in patient biopsy samples.

  • Researchers employ Keratin 6 Antibody reagents in genetic models to explore disease mechanisms.

3) Dermatopathology and Inflammatory Skin Disease

  • KRT6 Antibodies detect aberrant keratin expression in psoriasis and chronic dermatitis.

  • The KRT6 Antibody is used to distinguish hyperproliferative epithelium from normal tissue.

  • Keratin 6 Antibody products support biomarker discovery for inflammatory skin conditions.

4) Oncology and Tumor Biology

  • KRT6 Antibodies identify keratin expression patterns in squamous cell carcinomas.

  • The KRT6 Antibody helps differentiate tumor subtypes in pathology panels.

  • Keratin 6 Antibody reagents are used to evaluate keratin remodeling in metastasis.

5) Oral and Esophageal Biology

  • KRT6 Antibodies detect epithelial activation in oral mucosa and esophagus.

  • The KRT6 Antibody supports studies of epithelial turnover in gastrointestinal tissues.

6) Regenerative Medicine

  • KRT6 Antibodies validate epithelial cell models used in regenerative therapy.

  • The KRT6 Antibody confirms activation markers in keratinocyte cultures.

7) Translational Medicine and Drug Development

  • KRT6 Antibodies support therapeutic testing for pachyonychia congenita and psoriasis.

  • The KRT6 Antibody is applied to monitor drug-induced epithelial responses.

  • Keratin 6 Antibody reagents validate biomarkers in clinical trials for dermatologic therapies.


Why Are KRT6 Antibodies Important?

Keratin 6 plays a central role in epithelial response to stress and disease. The KRT6 Antibody provides a reliable tool to measure these processes, while Keratin 6 Antibody reagents more broadly support discoveries across dermatology, oncology, and regenerative biology.

In wound healing, KRT6 Antibodies highlight keratinocyte activation. In genetic medicine, the KRT6 Antibody clarifies the molecular pathology of pachyonychia congenita. In oncology, Keratin 6 Antibody products help characterize tumor progression and therapy response.

Clinically, keratin 6 markers are used to diagnose and monitor genetic keratinopathies, inflammatory diseases, and carcinomas. The KRT6 Antibody connects laboratory research with diagnostic and therapeutic applications, advancing precision medicine approaches in dermatology and oncology.


Conclusion

Keratin 6 is a stress-inducible protein central to epithelial repair, disease, and cancer biology. The KRT6 Antibody equips researchers and clinicians with a dependable tool for detecting keratin 6 expression, while Keratin 6 Antibody reagents more broadly support advances in skin biology, wound healing, oncology, and translational research. By bridging molecular insights with clinical outcomes, these antibodies remain indispensable for improving biomedical discovery and patient care.

This KRT6 antibody page is part of a broader KRT antibody panel used to study epithelial differentiation, tissue distribution, and tumor classification across multiple keratin family members.
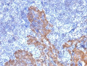
<p>IHC staining of FFPE human tonsil tissue with <a href="../tds/cytokeratin-56-antibody-krt562090-v8493" target="_blank" rel="noopener">KRT5/6 antibody</a> (clone KRT5.6/2090).</p>

IHC staining of FFPE human tonsil tissue with KRT5/6 antibody (clone KRT5.6/2090).

Found all antibodies, displaying 1 to 10
Cytokeratin 5/6/18 Antibody (clone LP34)
Catalog No : V7633
Applications : IHC-P
Reactivity : Human
Format : Purified
Cytokeratin 5/6/18 Antibody (clone SPM267)
Catalog No : V8319
Applications : IHC-P
Reactivity : Human
Format : Purified
Cytokeratin 5/6 Antibody (clone KRT5.6/2090)
Catalog No : V8493
Applications : IHC-P
Reactivity : Human
Format : Purified
Microvalidated
Cytokeratin 5/6 Antibody (clone KRT5.6/4866)
Catalog No : V8764
Applications : IHC-P
Reactivity : Human
Format : Purified
Cytokeratin 5/6 Antibody (clone KRT5.6/8275R)
Catalog No : V4292
Applications : IHC-P
Reactivity : Human
Format : Purified
Recrabbitmono
Cytokeratin 5/6 Antibody (clone KRT5.6/9103)
Catalog No : V5479
Applications : IHC-P
Reactivity : Human
Format : Purified
Cytokeratin 5/6 Antibody (clone KRT5.6/9104)
Catalog No : V5480
Applications : IHC-P
Reactivity : Human
Format : Purified
Keratin 6A Antibody for IHC / Cytokeratin 6A (clone MSVA-606R)
Catalog No : V5926
Applications : IHC
Reactivity : Human
Format : Purified
Recrabbitmono