• Tel: 858.663.9055
  • separatorEmail: info@nsjbio.com
  • Tel: 858.663.9055
  • Email: info@nsjbio.com
banner

KRT18 Antibody / Keratin 18 Antibody - Cytoskeletal Gene Marker

Home >> Antibodies >> KRT18 Antibody / Keratin 18 Antibody - Cytoskeletal Gene Marker

KRT18 Antibody / Keratin 18 Antibody - Cytoskeletal Gene Marker

KRT18 Antibody Overview

KRT18 Antibody detects keratin 18, a type I intermediate filament protein widely expressed in simple epithelial cells. KRT18 pairs with keratin 8 to form heterodimers that provide cytoskeletal stability, support cell polarity, and regulate signaling pathways. This keratin is abundant in liver, pancreas, gastrointestinal tract, and other glandular epithelia, making it a central marker for simple epithelial biology.

Mutations or altered expression of KRT18 are linked to liver disorders, inflammatory conditions, and multiple cancers. Keratin 18 fragments are released during apoptosis, serving as biomarkers for liver injury and cancer progression. The KRT18 Antibody is thus indispensable for studying epithelial biology, apoptosis, and oncology.

Because of its broad expression and clinical relevance, Keratin 18 Antibody reagents are applied in cell biology, pathology, hepatology, and translational medicine.


Why Choose KRT18 Antibodies from NSJ Bioreagents?

NSJ Bioreagents provides KRT18 Antibodies validated for immunohistochemistry, immunofluorescence, western blotting, ELISA, and flow cytometry. Each KRT18 Antibody is rigorously tested for specificity to keratin 18, ensuring minimal cross-reactivity with related keratins such as KRT8 and KRT19.

By selecting a KRT18 Antibody from NSJ Bioreagents, researchers gain reagents optimized for reproducibility. Our antibodies deliver sharp epithelial staining, consistent detection in protein assays, and reliable results across applications. With comprehensive datasheets, recommended controls, and optimized protocols, NSJ Bioreagents ensures that Keratin 18 Antibody products provide clarity and reproducibility in both research and clinical use.


Applications of KRT18 Antibodies

The KRT18 Antibody supports wide-ranging applications in biology and medicine.

1) Epithelial Biology

  • KRT18 Antibodies identify simple epithelial cells in glandular tissues.

  • The KRT18 Antibody clarifies cytoskeletal dynamics and epithelial polarity.

  • Keratin 18 Antibody reagents support developmental studies of epithelial differentiation.

2) Hepatology and Liver Disease

  • KRT18 Antibodies are applied to study hepatocyte cytoskeletal integrity.

  • The KRT18 Antibody detects keratin fragments released during apoptosis, serving as biomarkers of liver injury.

  • Keratin 18 Antibody reagents support research on hepatitis, cirrhosis, and drug-induced liver toxicity.

3) Oncology and Tumor Biology

  • KRT18 Antibodies are widely used in carcinoma diagnostics.

  • The KRT18 Antibody highlights tumor cell apoptosis via M30 epitope detection.

  • Keratin 18 Antibody reagents are applied to biomarker discovery in colorectal, breast, and liver cancers.

4) Apoptosis and Cell Death

  • KRT18 Antibodies detect caspase-cleaved fragments in apoptotic cells.

  • The KRT18 Antibody provides a reliable readout for apoptosis in tissue and cell models.

5) Gastrointestinal and Pancreatic Biology

  • KRT18 Antibodies identify epithelial cells in pancreas and GI mucosa.

  • The KRT18 Antibody is applied in studies of epithelial stress and inflammation.

6) Regenerative Medicine and Stem Cell Research

  • KRT18 Antibodies validate differentiation of stem cells into epithelial lineages.

  • The KRT18 Antibody supports tissue engineering of epithelial grafts.

7) Translational Medicine and Drug Discovery

  • KRT18 Antibodies are applied in clinical trials for cancer therapies.

  • The KRT18 Antibody validates biomarkers predictive of treatment response.

  • Keratin 18 Antibody reagents support drug safety studies by detecting hepatotoxicity.


Why Are KRT18 Antibodies Important?

Keratin 18 is central to simple epithelial structure and disease. The KRT18 Antibody provides researchers with precise detection of this protein, while Keratin 18 Antibody reagents more broadly support research in hepatology, oncology, apoptosis, and translational medicine.

In basic biology, KRT18 Antibodies clarify epithelial organization and keratin interactions. In hepatology, the KRT18 Antibody highlights biomarkers of liver injury and apoptosis. In oncology, Keratin 18 Antibody tools serve as diagnostic and prognostic biomarkers.

Clinically, KRT18 immunostaining and serum fragments are used as diagnostic and prognostic tools in cancer and liver disease. By providing reliable detection, the KRT18 Antibody connects molecular biology with clinical application, bridging research and medicine.


Conclusion

Keratin 18 is a fundamental epithelial marker with roles in cytoskeletal structure, apoptosis, liver biology, and oncology. The KRT18 Antibody equips researchers and clinicians with a trusted tool for detecting keratin 18 expression, while Keratin 18 Antibody reagents more broadly support discoveries in epithelial biology, disease research, and translational medicine. By linking basic science with clinical application, these antibodies remain indispensable for biomedical progress and improved patient outcomes.

This KRT18 antibody page is part of a broader KRT antibody panel used to study epithelial differentiation, tissue distribution, and tumor classification across multiple keratin family members.
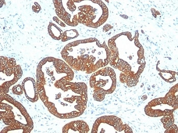
<p>IHC analysis of formalin-fixed, paraffin-embedded human colon carcinoma stained with <a href="../tds/cytokeratin-18-antibody-de-k18-v2671" target="_blank" rel="noopener">KRT18 antibody</a> (clone DE-K18).</p>

IHC analysis of formalin-fixed, paraffin-embedded human colon carcinoma stained with KRT18 antibody (clone DE-K18).

Found all antibodies, displaying 1 to 10
Cytokeratin 18 Antibody (clone DC10)
Catalog No : V2177
Applications : FACS, IF, WB, IHC-P
Reactivity : Human, Rat
Format : Purified
Cytokeratin 18 Antibody (clone DA7)
Catalog No : V2178
Applications : FACS, IF, WB, IHC-P
Reactivity : Human, Rat
Format : Purified
Cytokeratin 8/18 Antibody Cocktail (clone K8.8 + DC10)
Catalog No : V2325
Applications : FACS, IF, WB, IHC-P
Reactivity : Human
Format : Purified
Cytokeratin 18 Antibody (clone KRT18/1190)
Catalog No : V2670
Applications : IF, WB, IHC-P
Reactivity : Human, Rat
Format : Purified
Cytokeratin 18 Antibody (clone DE-K18)
Catalog No : V2671
Applications : WB, IF, IHC-P, FACS
Reactivity : Human
Format : Purified
Cytokeratin 18 Antibody (clone KRT18/834)
Catalog No : V2672
Applications : WB, FACS, IF, IHC-P
Reactivity : Human, Rat
Format : Purified
Cytokeratin 18 Antibody (clone KRT18/835)
Catalog No : V2673
Applications : WB, IHC-P
Reactivity : Human, Rat
Format : Purified
Microvalidated
Cytokeratin 18 Antibody (clone KRT18/836)
Catalog No : V2674
Applications : IHC-P, IF, WB
Reactivity : Human
Format : Purified
Microvalidated
Cytokeratin 18 Antibody (clone C-04 or Ks18.04)
Catalog No : V2675
Applications : FACS, WB, IHC-P
Reactivity : Human, Mouse, Rat
Format : Purified
Cytokeratin 18 Antibody Cocktail (clone Clone Cocktail)
Catalog No : V2676
Applications : FACS, WB, IHC-P
Reactivity : Human
Format : Purified