• Tel: 858.663.9055
  • separatorEmail: info@nsjbio.com
  • Tel: 858.663.9055
  • Email: info@nsjbio.com
banner

Endothelial Antibody / Antibodies

Home >> Antibodies >> Endothelial Antibody / Antibodies

Endothelial Antibody / Antibodies

Endothelial Antibody for Vascular and Cellular Research

Endothelial cells form the inner lining of blood vessels and lymphatic vessels, playing essential roles in vascular biology, immune response, and tissue homeostasis. These cells are involved in key biological processes including angiogenesis, permeability regulation, and leukocyte trafficking. Because endothelial cells interact closely with circulating cells and molecules, they are central to studies in cardiovascular disease, inflammation, tumor progression, and organ development.

Endothelial Antibody products are critical tools for identifying, visualizing, and quantifying endothelial cell populations and their activity. These antibodies target key endothelial markers and allow researchers to explore vascular structure, function, and response under physiological and pathological conditions.

Key Endothelial Proteins and Their Importance

A variety of well-characterized proteins are expressed on or within endothelial cells, serving as reliable markers for functional or developmental studies. Some of the most commonly used Endothelial Antibody targets include:

  • CD31 (PECAM1): A transmembrane protein highly expressed on endothelial cells, critical for cell adhesion and leukocyte transmigration. Endothelial Antibody to CD31 is one of the most widely used markers in vascular biology and immunohistochemistry.

  • VE-cadherin (CD144): An endothelial-specific cadherin involved in the maintenance of adherens junctions and vascular integrity. Endothelial Antibody to VE-cadherin is ideal for studying endothelial cell–cell interactions and barrier function.

  • Von Willebrand Factor (vWF): A glycoprotein stored in endothelial Weibel-Palade bodies, released during vessel injury or activation. Endothelial Antibody to vWF helps identify endothelial activation and thrombogenic potential.

  • Endoglin (CD105): A TGF-beta receptor expressed on proliferating endothelial cells, making it a marker for angiogenesis. Endothelial Antibody to endoglin is commonly used in tumor and developmental studies.

  • E-selectin and ICAM1: Cell adhesion molecules expressed on activated endothelium. Endothelial Antibody against these markers can help monitor inflammation or immune cell recruitment.

Some endothelial markers also localize to vesicular compartments and are involved in intracellular trafficking processes. As such, research into endothelial dynamics may also utilize Endosome Antibodies in combination with Endothelial Antibody tools to study endocytic signaling, receptor turnover, and antigen presentation.

Applications of Endothelial Antibody

Whether for tissue analysis, cell sorting, or mechanistic study, Endothelial Antibody reagents can be used in several powerful techniques:

1. Western Blotting

Endothelial Antibody products are effective for detecting specific endothelial proteins in cell lysates or tissue homogenates. This enables quantification and comparison of protein expression across samples or experimental conditions.

2. Immunohistochemistry (IHC)

In IHC, Endothelial Antibody tools allow visualization of vascular networks in tissue sections. Markers such as CD31 and vWF are widely used for assessing vessel density, angiogenesis, and endothelial morphology in both healthy and diseased tissue.

3. Immunofluorescence (IF)

Using fluorescently labeled Endothelial Antibody reagents, researchers can image endothelial markers in cultured cells or tissues. Co-staining with Endosome Antibodies can provide insight into trafficking pathways or subcellular localization.

4. Flow Cytometry

Endothelial Antibody products are frequently used to identify and sort endothelial populations from mixed cell suspensions. This is especially useful in developmental studies, tumor models, or inflammation models where endothelial activation is under investigation.

5. Electron Microscopy

For ultrastructural studies, Endothelial Antibody tools conjugated with gold particles can be used to label proteins within the endothelial cell membrane or cytoplasmic compartments, revealing fine localization at the nanometer scale.

Why Choose Endothelial Antibody Products?

Our collection of Endothelial Antibody reagents is validated across a wide range of species and applications. Each antibody is selected for high specificity, minimal background, and performance in applications such as Western blotting, immunohistochemistry, immunofluorescence, and flow cytometry.

By combining Endothelial Antibody products with complementary tools such as Endosome Antibodies, researchers can gain a more complete understanding of endothelial biology from the molecular to the systems level.

Explore our full catalog of Endothelial Antibody reagents and optimize your vascular biology research today.

 

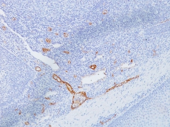
<p>IHC staining of FFPE human tonsil with anti-vWF antibody (<a href="IHC%20staining%20of%20FFPE%20human%20tonsil%20with%20anti-vWF%20antibody%20(clone%20IIIE2.34).%20HIER:%20boil%20tissue%20sections%20in%20pH%209%2010mM%20Tris%20with%201mM%20EDTA%20for%2020%20min%20and%20allow%20to%20cool%20before%20testing." target="_blank" rel="noopener">clone IIIE2.34, cat # V2929</a>). HIER: boil tissue sections in pH 9 10mM Tris with 1mM EDTA for 20 min and allow to cool before testing.</p>

IHC staining of FFPE human tonsil with anti-vWF antibody (clone IIIE2.34, cat # V2929). HIER: boil tissue sections in pH 9 10mM Tris with 1mM EDTA for 20 min and allow to cool before testing.

Found all antibodies, displaying 1 to 10
CDH5 Antibody / Cadherin 5 / VE Cadherin
Catalog No : R31190
Applications : WB, IHC-P
Reactivity : Human, Mouse, Rat
Format : Antigen affinity purified
CDH5 Antibody / Cadherin 5 / VE Cadherin
Catalog No : F48144
Applications : WB, FACS, ELISA
Reactivity : Human
Format : Antigen affinity purified
von Willebrand Factor Antibody / vWF (clone IIIE2.34)
Catalog No : V2929
Applications : IHC-P
Reactivity : Human
Format : Purified
CD34 Antibody (clone HPCA1/763)
Catalog No : V2998
Applications : IHC-P
Reactivity : Human
Format : Purified
CD34 Antibody Cocktail (clone QBEnd/10 + HPCA1/763)
Catalog No : V2999
Applications : FACS, IF, IHC-P
Reactivity : Human
Format : Purified
CD34 Antibody (clone HPCA1/1171)
Catalog No : V3000
Applications : FACS, IHC-P
Reactivity : Human
Format : Purified
CD34 Antibody (clone SPM610)
Catalog No : V3001
Applications : IHC-P
Reactivity : Human
Format : Purified
von Willebrand Factor Antibody / vWF (clone SPM577)
Catalog No : V9099
Applications : IHC-P
Reactivity : Human
Format : Purified
von Willebrand Factor Antibody Cocktail / vWF (clone 3E2D10 + VWF635)
Catalog No : V3167
Applications : IHC-P
Reactivity : Human
Format : Purified
von Willebrand Factor Antibody / vWF (clone WFA52-2)
Catalog No : V7082
Applications : IHC-P
Reactivity : Human
Format : Purified