• Tel: 858.663.9055
  • SeparatorEmail: info@nsjbio.com
  • Tel: 858.663.9055
  • Email: info@nsjbio.com
Home >> Antibodies >> VE Cadherin Antibody / CDH5

VE Cadherin Antibody / CDH5 (R31190)

  Catalog No Formulation Size Price (USD)  
Image R31190 0.5mg/ml if reconstituted with 0.2ml sterile DI water 100 ug 449
Bulk quote request
Western blot testing of VE Cadherin antibody; Lane 1: A549; 2: HeLa; 3: MCF-7 cell lysate. Expected molecular weight: 90~140 kDa depending on glycosylation level.
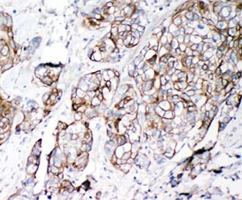
IHC-P: VE Cadherin antibody testing of human lung cancer tissue
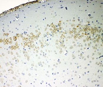
IHC-P: VE Cadherin antibody testing of rat brain tissue
Availability 1-3 business days
Species Reactivity Human, Mouse, Rat
Format Antigen affinity purified
Host Rabbit
Clonality Polyclonal (rabbit origin)
Isotype Rabbit IgG
Purity Antigen affinity
Buffer Lyophilized from 1X PBS with 2% Trehalose
UniProt P33151
Localization Cytoplasmic
Applications Western Blot : 0.5-1ug/ml
Immunohistochemistry (FFPE) : 2-5ug/ml
Limitations This VE Cadherin antibody is available for research use only.
Review this product on BioCompare and get a $20 Amazon gift card

Related Products

Description

VE-Cadherin is a classic cadherin, imparting to cells the ability to adhere in a homophilic manner. The protein may play an important role in endothelial cell biology through control of the cohesion and organization of the intercellular junctions and in maintaining newly formed vessels.

Application Notes

The stated application concentrations are suggested starting points. Titration of the VE Cadherin antibody may be required due to differences in protocols and secondary/substrate sensitivity.

Immunogen

Amino acids 766-784 (RFKMLAELYGSDPREELLY-human) were used as the immunogen for this VE Cadherin antibody.

Storage

After reconstitution, the VE Cadherin antibody can be stored for up to one month at 4oC. For long-term, aliquot and store at -20oC. Avoid repeated freezing and thawing.

Cross
Bulk Quote Request Form
Name*:
Organization*:
Email*:
Phone Number*:
Catalog No.*:
Comments and Specifics(amount, formulation, etc.)*:
Validation code: Captchapackage Image


Can't read the image? click here to refresh.
    *required field

Your bulk quote request has been submitted successfully!

Please contact us if you have any questions.