• Tel: 858.663.9055
  • SeparatorEmail: info@nsjbio.com
  • Tel: 858.663.9055
  • Email: info@nsjbio.com
Home >> Antibodies >> vWF Antibody Clone VWF/1859R / von Willebrand Factor Antibody

vWF Antibody Clone VWF/1859R / von Willebrand Factor Antibody [clone VWF/1859R] (V3491)

  Catalog No Formulation Size Price (USD)  
Image V3491-100UG 0.2 mg/ml in 1X PBS with 0.1 mg/ml BSA (US sourced) and 0.05% sodium azide 100 ug 559
Image
V3491-20UG 0.2 mg/ml in 1X PBS with 0.1 mg/ml BSA (US sourced) and 0.05% sodium azide 20 ug 259
Image
V3491SAF-100UG 1 mg/ml in 1X PBS; BSA free, sodium azide free 100 ug 559
Image
V3491IHC-7ML Prediluted in 1X PBS with 0.1 mg/ml BSA (US sourced) and 0.05% sodium azide; *For IHC use only* 7 ml 559
Microvalidated Recrabbitmono
Bulk quote request
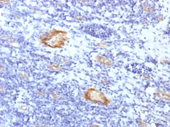
vWF Antibody Clone VWF/1859R immunohistochemistry analysis. IHC staining of FFPE human tonsil using vWF Antibody Clone VWF/1859R (clone VWF/1859R) demonstrates endothelial-specific HRP-DAB brown staining within vascular structures, highlighting blood vessel linings amid surrounding lymphoid tissue. The staining pattern is consistent with von Willebrand factor (VWF) localization to endothelial cells, with signal confined to vessel-associated cells and absent in adjacent lymphocytes. Antigen retrieval was performed using heat-induced epitope retrieval (HIER) in pH 9 Tris-EDTA buffer, supporting robust visualization of vascular endothelium in tonsillar tissue.
vWF Antibody Clone VWF/1859R western blot analysis. Western blot of 1) partial recombinant protein and 2) human lung lysate using vWF Antibody Clone VWF/1859R (clone VWF/1859R). Lane 1 shows a lower molecular weight band corresponding to a truncated recombinant fragment, while lane 2 shows a prominent band at approximately 250 kDa, consistent with the predicted molecular weight of von Willebrand factor (VWF). The higher molecular weight signal in lung lysate reflects the heavily glycosylated nature of VWF, which undergoes extensive post-translational modification and multimerization, often resulting in an elevated or broadened apparent molecular weight on SDS-PAGE relative to the core protein.
SDS-PAGE analysis of purified, BSA-free recombinant vWF antibody (clone VWF/1859R) as confirmation of integrity and purity.
Availability 1-3 business days
Species Reactivity Human
Format Purified
Host Rabbit
Clonality Recombinant Rabbit Monoclonal
Isotype Rabbit IgG, kappa
Clone Name VWF/1859R
Purity Protein A affinity chromatography
UniProt P04275
Localization Cytoplasmic
Applications Western Blot : 1-2ug/ml
Immunohistochemistry (FFPE) : 1-2ug/ml for 30 min at RT
Limitations This recombinant vWF antibody is available for research use only.
Review this product on BioCompare and get a $20 Amazon gift card

Related Products

Description

Von Willebrand factor (VWF) is a large secreted glycoprotein encoded by the VWF gene and produced primarily by vascular endothelial cells and megakaryocytes, where it is stored in specialized secretory granules and released into circulation. vWF Antibody Clone VWF/1859R is developed for researchers studying endothelial biology, platelet adhesion, and vascular integrity, where consistent and clone-defined detection of VWF is essential. VWF antibody, also referred to as von Willebrand factor antibody, is widely used as a canonical marker of endothelial cells and vascular-lined structures in both normal and disease-related research contexts.

VWF plays a central role in primary hemostasis by mediating platelet adhesion to sites of vascular injury and stabilizing coagulation factor VIII in circulation. The protein undergoes extensive post-translational processing, including glycosylation, proteolytic maturation, and multimerization into high-molecular-weight forms that are critical for its adhesive function. Within endothelial cells, VWF is localized to Weibel-Palade bodies, while in megakaryocytes and platelets it is stored in alpha granules, supporting regulated secretion and rapid response to vascular damage. These biological features make VWF a highly reliable marker for studies of endothelial differentiation, vascular remodeling, and platelet biology.

This vWF Antibody Clone VWF/1859R is uniquely positioned as a clone-driven reagent for researchers who prioritize specificity and reproducibility in antibody-based detection. Clone VWF/1859R provides a strong differentiator by linking experimental results to a defined monoclonal identity, which is particularly valuable for cross-study consistency and reproducible data generation. Its presence in published research further supports its relevance in experimental workflows, where clone-level identification is often used to ensure continuity across studies and datasets.

In tissue and cell-based systems, VWF expression is predominantly restricted to endothelial cells and megakaryocytic lineage cells, producing a characteristic localization pattern that reflects its storage and secretion biology. VWF antibody is therefore frequently used in studies of angiogenesis, tumor vascularization, inflammatory responses, and vascular injury, where identifying endothelial structures is a key objective. Its strong association with vascular compartments makes it especially useful for distinguishing endothelial cells from surrounding stromal or epithelial cell populations in complex biological samples.

This vWF Antibody Clone VWF/1859R provides a defined monoclonal reagent for detecting von Willebrand factor (VWF) in endothelial and vascular biology studies, supporting consistent and reproducible target recognition. The inclusion of Clone VWF/1859R supports discoverability for researchers searching by clone name, a common behavior once a reagent demonstrates reliable performance. This positioning helps differentiate the product from broader VWF antibody listings by emphasizing its defined monoclonal identity and its applicability in endothelial marker research, vascular biology studies, and investigations into von Willebrand factor function.

Application Notes

The optimal dilution of the vWF Antibody Clone VWF/1859R / von Willebrand Factor Antibody for each application should be determined by the researcher.

1. The prediluted format is supplied in a dropper bottle and is optimized for use in IHC. After epitope retrieval step (if required), drip mAb solution onto the tissue section and incubate at RT for 30 min.

Immunogen

Amino acids 1815-1939 from the human protein were used as the immunogen for this vWF Antibody Clone VWF/1859R / von Willebrand Factor Antibody.

Storage

Store the recombinant vWF antibody at 2-8oC (with azide) or aliquot and store at -20oC or colder (without azide).

Alternate Names

von Willebrand factor antibody, VWF antibody, von Willebrand factor Clone VWF/1859R antibody, VWF Clone VWF/1859R antibody, endothelial marker VWF antibody

Cross
Bulk Quote Request Form
Name*:
Organization*:
Email*:
Phone Number*:
Catalog No.*:
Comments and Specifics(amount, formulation, etc.)*:
Validation code: Captchapackage Image


Can't read the image? click here to refresh.
    *required field

Your bulk quote request has been submitted successfully!

Please contact us if you have any questions.