• Tel: 858.663.9055
  • separatorEmail: info@nsjbio.com
  • Tel: 858.663.9055
  • Email: info@nsjbio.com
banner

CFTR Antibody

Home >> Antibodies >> CFTR Antibody

CFTR Antibody

Introduction

Cystic fibrosis transmembrane conductance regulator (CFTR) is a membrane-associated chloride channel that plays a central role in epithelial ion transport and fluid regulation. CFTR antibody products are widely used to study epithelial function, ion channel biology, and disease mechanisms associated with cystic fibrosis and related disorders. CFTR expression is most prominent in epithelial tissues including airway, pancreas, kidney, and gastrointestinal tract, where it localizes to the apical membrane and regulates fluid secretion.

CFTR Antibodies for Immunohistochemistry

Immunohistochemistry is widely used to visualize CFTR expression within intact tissue architecture. CFTR typically shows apical membranous staining in epithelial cells, particularly in ductal and glandular structures such as pancreas, salivary gland, and kidney. A CFTR antibody for immunohistochemistry allows clear localization of CFTR within epithelial compartments, while a mouse tissue reactive CFTR antibody supports detection in both mouse and human tissues, enabling direct comparison between experimental models and human samples.

CFTR Antibodies for Flow Cytometry

Flow cytometry enables quantitative detection of CFTR at the single-cell level, allowing identification of CFTR-positive populations and analysis of expression heterogeneity. A CFTR antibody for flow cytometry is particularly useful in cell line studies, including leukemia-derived and epithelial models, where CFTR expression may vary across subpopulations and requires precise gating for accurate analysis.

CFTR Antibodies for Western Blot

Western blot analysis is commonly used to detect CFTR protein and assess expression levels across tissues and experimental conditions. CFTR typically appears as a high molecular weight protein due to glycosylation and complex domain structure, and may show multiple bands depending on processing and maturation state. Western blotting provides a complementary approach to tissue-based and single-cell assays, supporting confirmation of CFTR expression and evaluation of protein integrity in experimental samples.

Choosing the Right CFTR Antibody

Selection of a CFTR antibody depends on application, species compatibility, and experimental system. Antibodies optimized for immunohistochemistry provide spatial context within tissues, while flow cytometry-compatible antibodies enable quantitative analysis of cell populations. Antibodies that demonstrate performance in both mouse and human tissues are particularly valuable for translational research, allowing continuity between in vivo models and human biology.

A selection of CFTR antibody products is shown below to support a range of research applications.

These CFTR antibodies are part of a broader antibody panel offered by NSJ Bioreagents.

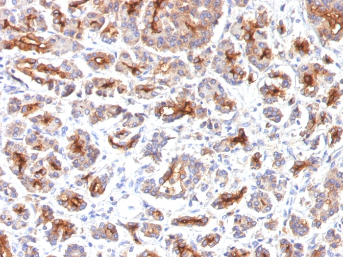
<p><strong data-start="0" data-end="31" data-is-only-node="">CFTR Antibody Pancreas IHC.</strong> Immunohistochemistry analysis of Cystic fibrosis transmembrane conductance regulator / CFTR expression in FFPE human pancreas tissue using <a href="../tds/cftr-antibody-spm176-v3259" target="_blank" rel="noopener">CFTR antibody clone SPM176</a>. HRP-DAB brown staining is observed with apical membranous and luminal accentuation in ductal epithelial cells, while surrounding acinar tissue shows comparatively reduced signal; nuclei are counterstained blue. The staining pattern is consistent with polarized epithelial localization of CFTR in pancreatic duct structures.</p>

CFTR Antibody Pancreas IHC. Immunohistochemistry analysis of Cystic fibrosis transmembrane conductance regulator / CFTR expression in FFPE human pancreas tissue using CFTR antibody clone SPM176. HRP-DAB brown staining is observed with apical membranous and luminal accentuation in ductal epithelial cells, while surrounding acinar tissue shows comparatively reduced signal; nuclei are counterstained blue. The staining pattern is consistent with polarized epithelial localization of CFTR in pancreatic duct structures.

Found all antibodies, displaying 1 to 10
CFTR Antibody / Cystic Fibrosis Transmembrane Regulator (clone SPM176)
Catalog No : V3259
Applications : IHC-P
Reactivity : Human
Format : Purified
CFTR Antibody / Cystic Fibrosis Transmembrane Regulator (clone CFTR/1342)
Catalog No : V7666
Applications : IHC-P
Reactivity : Human, Mouse
Format : Purified
CFTR Antibody / Cystic Fibrosis Transmembrane Regulator (clone CFTR/1643)
Catalog No : V3430
Applications : FACS, IHC-P
Reactivity : Human
Format : Purified
CFTR Antibody / Cystic Fibrosis Transmembrane Regulator (clone CFTR/7003R)
Catalog No : V9382
Applications : IHC-P
Reactivity : Human
Format : Purified
Recrabbitmono
CFTR Antibody / Cystic Fibrosis Transmembrane Regulator (clone M3A7)
Catalog No : V7667
Applications : IHC-P
Reactivity : Human
Format : Purified
CFTR Antibody / Cystic Fibrosis Transmembrane Regulator (clone CFTR/1775R)
Catalog No : V3441
Applications : IHC-P
Reactivity : Human
Format : Purified
Recrabbitmono
CFTR Antibody / Cystic Fibrosis Transmembrane Regulator (clone rCFTR/7175)
Catalog No : V9529
Applications : IHC-P
Reactivity : Human
Format : Purified
Recmousemono
CFTR Antibody / Cystic Fibrosis Transmembrane Regulator (clone CFTR/7154R)
Catalog No : V9549
Applications : IHC-P
Reactivity : Human
Format : Purified
Recrabbitmono