• Tel: 858.663.9055
  • SeparatorEmail: info@nsjbio.com
  • Tel: 858.663.9055
  • Email: info@nsjbio.com
Home >> Antibodies >> CFTR Antibody for FACS / Flow Cytometry Antibody

CFTR Antibody for FACS / Flow Cytometry Antibody [clone CFTR/1643] (V3430)

  Catalog No Formulation Size Price (USD)  
Image V3430-100UG 0.2 mg/ml in 1X PBS with 0.1 mg/ml BSA (US sourced) and 0.05% sodium azide 100 ug 559
Image
V3430-20UG 0.2 mg/ml in 1X PBS with 0.1 mg/ml BSA (US sourced) and 0.05% sodium azide 20 ug 259
Image
V3430SAF-100UG 1 mg/ml in 1X PBS; BSA free, sodium azide free 100 ug 559
Bulk quote request
CFTR Antibody for FACS. Flow cytometry analysis of CFTR / Cystic fibrosis transmembrane conductance regulator expression in human MOLT4 cells using CFTR antibody, clone CFTR/1643. The CFTR antibody (blue) shows a clear right-shifted population compared to isotype control (red), indicating specific detection of CFTR expression and enabling accurate gating of positive cells.
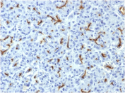
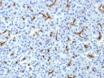
CFTR Antibody Pancreas IHC. Immunohistochemistry analysis of Cystic fibrosis transmembrane conductance regulator / CFTR expression in FFPE human pancreas tissue using mouse monoclonal antibody clone CFTR/1643. HRP-DAB brown staining is observed in ductal epithelial structures with apical membranous and luminal accentuation, while surrounding acinar and stromal cells show minimal signal; nuclei are counterstained blue. The staining pattern is consistent with polarized epithelial localization of CFTR in pancreatic ducts. Antigen retrieval was performed by boiling sections in 10 mM Tris buffer with 1 mM EDTA, pH 9, for 10-20 min followed by cooling at room temperature.
CFTR Antibody Protein Microarray Specificity Validation. Analysis of a protein microarray containing more than 19,000 full-length human proteins using CFTR antibody, clone CFTR/1643. The antibody shows the highest signal intensity for CFTR with a Z-score of 132.47 and a strong S-score separation from the next-ranked proteins, supporting highly specific target recognition. The Z-score represents signal strength in standard deviations above the array mean, while the S-score reflects the difference between the top signal and the next highest signal, indicating relative specificity for the intended target.
Species Reactivity Human
Format Purified
Host Mouse
Clonality Monoclonal (mouse origin)
Isotype Mouse IgG2b, kappa
Clone Name CFTR/1643
Purity Protein G affinity chromatography
Buffer 1X PBS, pH 7.4
UniProt P13569
Gene ID 1080
Localization Cell surface, cytoplasmic
Applications Flow Cytometry : 1-2ug/million cells
Immunohistochemistry (FFPE) : 1-2ug/ml for 30 min at RT
Limitations This CFTR Antibody for FACS / Flow Cytometry Antibody is available for research use only.
Review this product on BioCompare and get a $20 Amazon gift card

Related Products

Description

Cystic fibrosis transmembrane conductance regulator (CFTR) is a membrane-associated ATP-binding cassette transporter that functions as a cAMP-regulated chloride and bicarbonate channel and plays a central role in ion transport and fluid homeostasis. CFTR Antibody for FACS / Flow Cytometry Antibody is designed to enable single-cell detection of CFTR expression, allowing quantitative analysis of CFTR-positive populations in heterogeneous cell samples. CFTR is most prominently expressed in epithelial tissues such as airway, pancreas, and intestine, but has also been reported in select hematopoietic and leukemia-derived cell lines, supporting its evaluation by flow cytometry. For a widely cited CFTR antibody used across multiple study types, see our M3A7 clone.

CFTR antibody, also referred to as cystic fibrosis transmembrane conductance regulator antibody or ABCC7 antibody, recognizes a large multi-domain protein composed of two nucleotide-binding domains, a regulatory domain, and multiple transmembrane segments that form the ion channel pore. CFTR localization is primarily at the plasma membrane, although intracellular pools are present due to active trafficking and recycling. In flow cytometry experiments, detection may reflect both surface and intracellular protein depending on fixation and permeabilization conditions, enabling flexible analysis of CFTR distribution at the single-cell level.

Flow cytometry analysis using this antibody demonstrates a clear right-shifted population in MOLT4 cells relative to isotype control, indicating specific detection of CFTR expression. The strong separation between positive and negative populations supports reliable gating and accurate identification of CFTR-expressing cells. This level of resolution is particularly valuable for analyzing heterogeneous populations, where bulk methods cannot distinguish subpopulation-specific expression patterns.

Specificity is further supported by protein microarray analysis demonstrating selective binding to CFTR across a large panel of human proteins, reinforcing confidence in target recognition in complex samples. The combination of single-cell resolution and validated specificity provides a strong foundation for studies requiring precise measurement of CFTR expression in defined cell populations.

Mutations in CFTR are the underlying cause of cystic fibrosis, a disorder characterized by defective chloride transport and impaired epithelial function. In addition to epithelial roles, CFTR expression in certain immune and transformed cell types has been investigated for potential contributions to cellular signaling and disease processes. A CFTR antibody for FACS can be used to quantify CFTR expression, define positive cell subsets, and support functional studies of ion channel biology and disease-related mechanisms.

This antibody is part of a broader antibody panel offered by NSJ Bioreagents.

Application Notes

The concentration stated for each application is a general starting point. Variations in protocols, secondaries and substrates may require the CFTR Antibody for FACS / Flow Cytometry Antibody to be titered up or down for optimal performance.

Immunogen

A partial recombinant protein corresponding to amino acids 258-385 from the human protein was used as the immunogen for this CFTR antibody.

Storage

Store the CFTR antibody at 2-8oC (with azide) or aliquot and store at -20oC or colder (without azide).

Alternate Names

CFTR antibody, Cystic fibrosis transmembrane conductance regulator antibody, ABCC7 antibody, CFTR flow cytometry antibody, CFTR FACS antibody

Cross
Bulk Quote Request Form
Name*:
Organization*:
Email*:
Phone Number*:
Catalog No.*:
Comments and Specifics(amount, formulation, etc.)*:
Validation code: Captchapackage Image


Can't read the image? click here to refresh.
    *required field

Your bulk quote request has been submitted successfully!

Please contact us if you have any questions.