• Tel: 858.663.9055
  • SeparatorEmail: info@nsjbio.com
  • Tel: 858.663.9055
  • Email: info@nsjbio.com
Home >> Antibodies >> Cystic Fibrosis Transmembrane Regulator Antibody / CFTR

Cystic Fibrosis Transmembrane Regulator Antibody / CFTR [clone CFTR/7154R] (V9549)

  Catalog No Formulation Size Price (USD)  
Image V9549-100UG 0.2 mg/ml in 1X PBS with 0.1 mg/ml BSA (US sourced), 0.05% sodium azide 100 ug 559
Image
V9549-20UG 0.2 mg/ml in 1X PBS with 0.1 mg/ml BSA (US sourced), 0.05% sodium azide 20 ug 259
Image
V9549SAF-100UG 1 mg/ml in 1X PBS; BSA free, sodium azide free 100 ug 559
Microvalidated Recrabbitmono
Bulk quote request
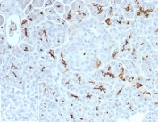
Cystic Fibrosis Transmembrane Regulator Antibody Salivary Gland IHC. Immunohistochemistry analysis of Cystic fibrosis transmembrane conductance regulator / CFTR expression in FFPE human salivary gland using recombinant rabbit monoclonal antibody clone CFTR/7154R. HRP-DAB brown staining is observed with apical membranous and luminal accentuation in ductal epithelial cells, while surrounding stromal cells show minimal signal; nuclei are counterstained blue. This CFTR antibody highlights epithelial ion channel localization consistent with secretory duct structures. Antigen retrieval was performed by boiling sections in 10 mM Tris buffer with 1 mM EDTA, pH 9, for 20 min followed by cooling at room temperature.
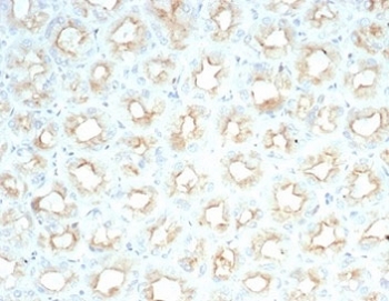
Cystic Fibrosis Transmembrane Regulator Antibody Pancreas IHC. Immunohistochemistry analysis of Cystic fibrosis transmembrane conductance regulator / CFTR expression in FFPE human pancreas tissue using recombinant rabbit monoclonal antibody clone CFTR/7154R. HRP-DAB brown staining is observed with apical membranous and ductal localization in pancreatic epithelial cells, while surrounding acinar and stromal cells show minimal signal; nuclei are counterstained blue. This CFTR antibody highlights ion channel distribution consistent with pancreatic duct structures. Inset shows a PBS-only negative control processed without primary antibody, confirming minimal non-specific background staining. Antigen retrieval was performed by boiling sections in 10 mM Tris buffer with 1 mM EDTA, pH 9, for 20 min followed by cooling at room temperature.
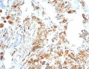
Cystic Fibrosis Transmembrane Regulator Antibody Lung Carcinoma IHC. Immunohistochemistry analysis of Cystic fibrosis transmembrane conductance regulator / CFTR expression in FFPE human lung carcinoma tissue using recombinant rabbit monoclonal antibody clone CFTR/7154R. HRP-DAB brown staining is observed in tumor epithelial cells with membranous and cytoplasmic localization, while surrounding stromal cells show comparatively reduced signal; nuclei are counterstained blue. This CFTR antibody highlights epithelial ion channel expression consistent with carcinoma-derived tissue. Antigen retrieval was performed by boiling sections in 10 mM Tris buffer with 1 mM EDTA, pH 9, for 20 min followed by cooling at room temperature.
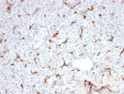
Cystic Fibrosis Transmembrane Regulator Antibody Spleen IHC. Immunohistochemistry analysis of Cystic fibrosis transmembrane conductance regulator / CFTR expression in FFPE human spleen tissue using recombinant rabbit monoclonal antibody clone CFTR/7154R. HRP-DAB brown staining is observed in scattered stromal and vascular-associated cells with membranous and cytoplasmic localization, while the majority of lymphoid cells show minimal signal; nuclei are counterstained blue. This CFTR antibody highlights limited expression consistent with non-epithelial tissue context. Antigen retrieval was performed by boiling sections in 10 mM Tris buffer with 1 mM EDTA, pH 9, for 20 min followed by cooling at room temperature.
Availability 1-3 business days
Species Reactivity Human
Format Purified
Host Rabbit
Clonality Recombinant Rabbit Monoclonal
Isotype Rabbit IgG, kappa
Clone Name CFTR/7154R
Purity Protein A/G affinity
UniProt P13569
Localization Cell surface, Cytoplasm
Applications Immunohistochemistry (FFPE) : 1-2ug/ml
Limitations This recombinant Cystic Fibrosis Transmembrane Regulator antibody is available for research use only.
Review this product on BioCompare and get a $20 Amazon gift card

Related Products

Description

Cystic fibrosis transmembrane conductance regulator (CFTR) is an ATP-binding cassette transporter that functions as a cAMP-regulated chloride channel in epithelial cells. Cystic fibrosis transmembrane conductance regulator (CFTR) plays a central role in ion transport and fluid homeostasis across epithelial surfaces, particularly in the airway, gastrointestinal tract, pancreas, and sweat glands. Cystic Fibrosis Transmembrane Regulator Antibody / CFTR enables detection of this essential membrane protein in studies focused on epithelial transport, barrier function, and disease-related ion channel regulation. CFTR is localized primarily to the apical membrane of epithelial cells, where it regulates chloride and bicarbonate secretion and influences mucosal hydration. For a widely cited CFTR antibody used across multiple study types, see our M3A7 clone.

CFTR antibody, also referred to as cystic fibrosis transmembrane conductance regulator antibody or ABCC7 antibody, recognizes a large multi-domain membrane protein containing two nucleotide-binding domains and multiple transmembrane segments that form the ion channel pore. CFTR activity is regulated by phosphorylation and ATP binding, which control channel gating and ion conductance. Proper localization and function of CFTR are essential for maintaining epithelial fluid balance, and disruption of CFTR activity leads to impaired mucociliary clearance and altered secretion in multiple organ systems.

Mutations in the CFTR gene are the underlying cause of cystic fibrosis, a genetic disorder characterized by defective chloride transport, thickened mucus secretions, and chronic inflammation in the lungs and other tissues. The most common mutation, delta F508, results in protein misfolding and impaired trafficking to the cell surface, leading to reduced functional CFTR at the plasma membrane. As a result, epithelial surfaces exhibit decreased chloride secretion and increased sodium absorption, contributing to dehydration of mucosal surfaces and accumulation of viscous secretions.

CFTR expression is tightly regulated and varies across tissues, with highest levels observed in epithelial cells lining the airway, pancreatic ducts, and intestinal mucosa. In addition to its role in ion transport, CFTR influences other cellular processes including regulation of other ion channels, vesicle trafficking, and epithelial differentiation. Its localization at the apical membrane and involvement in multiple signaling pathways make it a critical component of epithelial physiology and disease pathology.

Given its central role in epithelial transport and its direct involvement in cystic fibrosis and related disorders, CFTR is an important target for studying ion channel biology, epithelial function, and therapeutic interventions. A Cystic Fibrosis Transmembrane Regulator antibody can be used in western blot, immunohistochemistry, or other research assays to evaluate CFTR expression and localization in epithelial tissues and disease models, supporting investigations into ion transport mechanisms and CFTR-associated pathologies.

This antibody is part of a broader antibody panel offered by NSJ Bioreagents.

Application Notes

Optimal dilution of the Cystic Fibrosis Transmembrane Regulator antibody should be determined by the researcher.

Immunogen

A portion of amino acids 258-385 was used as the immunogen for the recombinant Cystic Fibrosis Transmembrane Regulator antibody.

Storage

Aliquot the Cystic Fibrosis Transmembrane Regulator antibody and store frozen at -20oC or colder. Avoid repeated freeze-thaw cycles.

Alternate Names

CFTR antibody, Cystic fibrosis transmembrane conductance regulator antibody, ABCC7 antibody, CFTR chloride channel antibody, CFTR membrane protein antibody

Cross
Bulk Quote Request Form
Name*:
Organization*:
Email*:
Phone Number*:
Catalog No.*:
Comments and Specifics(amount, formulation, etc.)*:
Validation code: Captchapackage Image


Can't read the image? click here to refresh.
    *required field

Your bulk quote request has been submitted successfully!

Please contact us if you have any questions.