• Tel: 858.663.9055
  • separatorEmail: info@nsjbio.com
  • Tel: 858.663.9055
  • Email: info@nsjbio.com
banner

Mitochondria Marker Antibody / Mitochondria Marker Antibodies

Home >> Antibodies >> Mitochondria Marker Antibody / Mitochondria Marker Antibodies

Mitochondria Marker Antibody / Mitochondria Marker Antibodies

Mitochondria Marker Antibody Overview

Mitochondria Marker Antibody detects proteins used to identify and study mitochondria, the essential organelles responsible for energy production and cellular homeostasis. Mitochondria generate ATP through oxidative phosphorylation, regulate apoptosis, buffer calcium, and contribute to innate immunity. Because mitochondria are dynamic — undergoing constant fission, fusion, and transport — marker proteins provide indispensable tools for visualizing and quantifying these organelles.

Common mitochondrial markers include voltage-dependent anion channel (VDAC), cytochrome c oxidase (COX IV), ATP synthase, HSP60, and translocase proteins such as TOM20. Each provides unique insights: VDAC highlights outer membrane integrity, COX IV marks inner membrane respiratory function, ATP synthase reflects energy generation, and HSP60 indicates mitochondrial chaperone activity. The Mitochondria Marker Antibody is therefore critical for researchers studying bioenergetics, apoptosis, disease mechanisms, and drug responses.

Because mitochondrial dysfunction underlies neurodegeneration, cancer, metabolic disorders, and cardiovascular disease, Mitochondria Marker Antibodies are used widely in both discovery science and clinical translation.


Why Choose Mitochondria Marker Antibodies from NSJ Bioreagents?

NSJ Bioreagents provides Mitochondria Marker Antibodies validated for immunohistochemistry, immunofluorescence, western blotting, ELISA, and flow cytometry. Each Mitochondria Marker Antibody undergoes strict quality control to confirm specificity for mitochondrial proteins while minimizing cross-reactivity with cytoplasmic or nuclear antigens.

By choosing a Mitochondria Marker Antibody from NSJ Bioreagents, researchers gain reagents optimized for reproducibility. Our antibodies deliver crisp immunofluorescent staining, sharp western blot detection, and robust signals across multiple species. Detailed datasheets, recommended controls, and application protocols accompany every product, ensuring confidence in results. With mitochondrial biology at the forefront of translational research, Mitochondria Marker Antibodies from NSJ Bioreagents are designed to accelerate discovery and therapeutic innovation.


Applications of Mitochondria Marker Antibodies

The Mitochondria Marker Antibody has broad applications across disciplines due to mitochondria’s involvement in both physiology and disease.

1) Bioenergetics and Metabolism

  • Mitochondria Marker Antibodies detect respiratory chain proteins to assess oxidative phosphorylation.

  • The Mitochondria Marker Antibody is used to study metabolic adaptation in response to hypoxia, nutrient shifts, or exercise.

  • Researchers apply Mitochondria Marker Antibodies to evaluate mitochondrial contributions to obesity and diabetes.

2) Apoptosis and Programmed Cell Death

  • The Mitochondria Marker Antibody is applied to monitor cytochrome c release during intrinsic apoptosis.

  • Mitochondria Marker Antibodies reveal activation of Bcl-2 family pathways regulating mitochondrial outer membrane permeabilization.

  • In oncology, the Mitochondria Marker Antibody clarifies how tumor cells resist apoptosis.

3) Neurodegeneration

  • Mitochondria Marker Antibodies are used in Alzheimer’s research to track COX IV deficiency and mitochondrial fragmentation.

  • The Mitochondria Marker Antibody supports Parkinson’s studies examining complex I dysfunction and ROS production.

  • In ALS and Huntington’s disease, Mitochondria Marker Antibodies help monitor axonal transport and energy failure.

4) Cardiovascular and Pulmonary Disorders

  • The Mitochondria Marker Antibody is applied in ischemia-reperfusion injury models, where mitochondrial dysfunction drives cell death.

  • Mitochondria Marker Antibodies track metabolic remodeling in heart failure.

  • In lung disease, the Mitochondria Marker Antibody helps quantify mitochondrial stress in epithelial cells.

5) Immunology and Inflammation

  • Mitochondria Marker Antibodies detect proteins involved in innate immunity, such as MAVS.

  • The Mitochondria Marker Antibody supports inflammasome research and cytokine signaling studies.

  • In infection models, Mitochondria Marker Antibodies clarify mitochondrial contributions to pathogen clearance.

6) Oncology and Tumor Biology

  • The Mitochondria Marker Antibody is applied to characterize metabolic reprogramming in tumors.

  • Mitochondria Marker Antibodies reveal biomarkers of therapy resistance.

  • In translational oncology, the Mitochondria Marker Antibody helps evaluate mitochondrial dependency as a therapeutic vulnerability.

7) Translational Medicine and Drug Discovery

  • Mitochondria Marker Antibodies validate mitochondrial targets in high-throughput screens.

  • The Mitochondria Marker Antibody is applied to confirm pharmacodynamic effects of drugs on mitochondrial integrity.

  • In regenerative medicine, Mitochondria Marker Antibodies assess mitochondrial health in stem-cell derived tissues.


Why Are Mitochondria Marker Antibodies Important?

Mitochondria regulate life-and-death decisions at the cellular level. The Mitochondria Marker Antibody provides scientists with the ability to visualize, quantify, and analyze these processes, while Mitochondria Marker Antibodies more broadly enable advances in bioenergetics, neuroscience, cardiology, oncology, and immunology.

In basic research, Mitochondria Marker Antibodies provide clarity on energy production, apoptosis, and dynamics. In pathology, the Mitochondria Marker Antibody highlights mitochondrial dysfunction in degenerative and metabolic disorders. In translational medicine, Mitochondria Marker Antibodies validate drug targets and monitor therapeutic efficacy.

Clinically, mitochondrial markers are being developed as diagnostic tools and prognostic biomarkers. The Mitochondria Marker Antibody helps link these discoveries to applications in patient care, enabling precision medicine approaches targeting mitochondrial biology.


Conclusion

Mitochondria are dynamic organelles central to metabolism, signaling, and apoptosis. The Mitochondria Marker Antibody allows researchers to detect and analyze mitochondrial proteins, while Mitochondria Marker Antibodies more broadly support discoveries in neurodegeneration, oncology, immunology, and translational medicine. By bridging molecular biology with clinical relevance, these antibodies remain vital for advancing scientific discovery and therapeutic development.

 

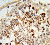
<p>IHC testing of FFPE human pancreas tissue with <a href="../tds/mitochondrial-marker-antibody-113-1-v2352" target="_blank" rel="noopener">Mitochondria antibody</a> (clone 113-1).</p>

IHC testing of FFPE human pancreas tissue with Mitochondria antibody (clone 113-1).

Found all antibodies, displaying 121 to 130
KMO Antibody / Kynurenine 3 monooxygenase
Catalog No : F54990
Applications : FACS, IHC-P, WB
Reactivity : Human, Mouse
Format : Purified
Mitochondrial amidoxime reducing component 2 Antibody / mARC2 / MTARC2
Catalog No : F54991
Applications : WB, FACS, IHC-P
Reactivity : Human
Format : Purified
Enoyl-CoA delta isomerase 2Antibody / ECI2 / PECI
Catalog No : F54992
Applications : WB, FACS, IHC-P
Reactivity : Human
Format : Purified
APEX2 Antibody
Catalog No : F55013
Applications : IF, FACS, IHC-P, WB
Reactivity : Human
Format : Purified
JIP1 Antibody / MAPK8IP1
Catalog No : F55015
Applications : IF, FACS, IHC-P, WB
Reactivity : Human
Format : Purified
COX6A1 Antibody
Catalog No : F55023
Applications : WB, FACS, IHC-P
Reactivity : Human
Format : Purified
Mitoferrin-1 Antibody / MFRN /SLC25A37
Catalog No : F55039
Applications : IF, WB, FACS, IHC-P
Reactivity : Human
Format : Purified
SUPV3L1 Antibody
Catalog No : F55042
Applications : WB, FACS, IHC-P
Reactivity : Human, Mouse, Rat
Format : Purified
Prohibitin 2 Antibody / PHB2 (clone 2B5)
Catalog No : RQ6364
Applications : WB, IHC-P, FACS
Reactivity : Human, Mouse, Rat
Format : Purified
StAR Antibody / Steroidogenic acute regulatory protein (clone STAR/3915R)
Catalog No : V8972
Applications : IHC-P
Reactivity : Human
Format : Purified
Recrabbitmono