• Tel: 858.663.9055
  • separatorEmail: info@nsjbio.com
  • Tel: 858.663.9055
  • Email: info@nsjbio.com
banner

Metabolism Antibody / Metabolism Antibodies

Home >> Antibodies >> Metabolism Antibody / Metabolism Antibodies

Metabolism Antibody / Metabolism Antibodies

Metabolism Antibody Overview

Metabolism Antibody detects proteins involved in cellular and organismal metabolism, the complex network of biochemical pathways that maintain energy balance, biosynthesis, and homeostasis. Metabolism includes catabolic reactions that break down nutrients to generate ATP, as well as anabolic reactions that build essential macromolecules. Antibodies targeting metabolic proteins provide essential tools for studying how cells produce and use energy, regulate signaling, and adapt to physiological or pathological conditions.

Key targets of Metabolism Antibodies include enzymes of glycolysis (hexokinase, pyruvate kinase), the tricarboxylic acid (TCA) cycle (citrate synthase, succinate dehydrogenase), oxidative phosphorylation (ATP synthase, cytochrome c oxidase), lipid metabolism (acetyl-CoA carboxylase, fatty acid synthase), and regulators such as AMPK, mTOR, and HIF-1α. The Metabolism Antibody is therefore central to studying energy generation, nutrient sensing, and redox balance in both health and disease.

Because altered metabolism is a hallmark of cancer, neurodegeneration, diabetes, and cardiovascular disease, Metabolism Antibodies are applied across basic research, translational science, and clinical diagnostics.


Why Choose Metabolism Antibodies from NSJ Bioreagents?

NSJ Bioreagents provides Metabolism Antibodies validated for immunohistochemistry, western blotting, immunofluorescence, ELISA, and flow cytometry. Each Metabolism Antibody undergoes rigorous quality control to confirm specificity for metabolic proteins, with minimal cross-reactivity to unrelated targets.

By choosing a Metabolism Antibody from NSJ Bioreagents, researchers gain access to reagents optimized for reproducibility. Our antibodies produce crisp staining in tissues, reliable detection in lysates, and consistent results across diverse applications. With technical datasheets, positive control recommendations, and application protocols, NSJ Bioreagents ensures that Metabolism Antibodies deliver reliable results for both discovery and translational research.


Applications of Metabolism Antibodies

The Metabolism Antibody is used in many research areas due to metabolism’s central role in physiology and disease.

1) Cancer Metabolism

  • Metabolism Antibodies detect glycolytic enzymes upregulated in tumors (the Warburg effect).

  • The Metabolism Antibody helps measure mitochondrial dependency in cancer cells.

  • Researchers use Metabolism Antibodies to validate drugs targeting metabolic checkpoints such as mTOR or IDH1.

2) Neurobiology and Neurodegeneration

  • Metabolism Antibodies detect mitochondrial dysfunction implicated in Alzheimer’s, Parkinson’s, and ALS.

  • The Metabolism Antibody supports studies of neuronal energy supply and oxidative stress.

  • Neuroscientists use Metabolism Antibodies to explore how metabolic changes influence synaptic plasticity.

3) Diabetes and Metabolic Syndrome

  • The Metabolism Antibody tracks insulin signaling pathways including AKT and GLUT transporters.

  • Metabolism Antibodies are applied to measure enzymes in lipid and glucose metabolism.

  • The Metabolism Antibody is used to evaluate therapeutic strategies for type 2 diabetes and obesity.

4) Cardiovascular Disease

  • Metabolism Antibodies detect metabolic remodeling in failing hearts.

  • The Metabolism Antibody is applied in ischemia-reperfusion models to study ATP depletion and recovery.

  • Researchers use Metabolism Antibodies to link altered metabolism with atherosclerosis and vascular inflammation.

5) Immunometabolism

  • Metabolism Antibodies reveal how metabolic reprogramming drives immune cell activation.

  • The Metabolism Antibody is used to distinguish glycolytic effector T cells from oxidative memory T cells.

  • In macrophages, Metabolism Antibodies help assess polarization toward pro- or anti-inflammatory phenotypes.

6) Exercise and Physiology

  • The Metabolism Antibody is applied in sports science to measure mitochondrial biogenesis.

  • Metabolism Antibodies track adaptive responses to training, fasting, or hypoxia.

7) Translational Research and Drug Discovery

  • Metabolism Antibodies validate metabolic biomarkers in patient samples.

  • The Metabolism Antibody is used in clinical trials to monitor metabolic drug responses.

  • Metabolism Antibodies support regenerative medicine by evaluating metabolic readiness of stem cell-derived tissues.


Why Are Metabolism Antibodies Important?

Metabolism determines how cells grow, survive, and respond to stress. The Metabolism Antibody provides the precision to measure these processes, while Metabolism Antibodies more broadly enable discoveries across oncology, neurology, endocrinology, cardiology, and immunology.

In basic research, Metabolism Antibodies illuminate the regulation of core pathways like glycolysis, the TCA cycle, and oxidative phosphorylation. In disease models, the Metabolism Antibody reveals how altered metabolism drives cancer growth, neurodegeneration, or metabolic syndrome. In clinical translation, Metabolism Antibodies validate therapeutic targets and biomarkers.

Clinically, metabolic proteins are emerging as prognostic indicators and therapeutic targets. The Metabolism Antibody links molecular biology with diagnostics and patient management by enabling accurate, reproducible measurement of metabolic proteins.


Conclusion

Metabolism integrates energy production, biosynthesis, and cellular signaling. The Metabolism Antibody equips researchers with reliable tools to study these processes, while Metabolism Antibodies more broadly advance research in cancer biology, neurology, endocrinology, and translational medicine. By connecting fundamental pathways to clinical outcomes, these antibodies remain essential for advancing both discovery and therapy development.

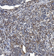
<p>IHC staining of FFPE human liver cancer tissue with Alcohol dehydrogenase 5 / <a href="../tds/adh5-antibody-r32485" target="_blank" rel="noopener">ADH5 antibody</a>.</p>

IHC staining of FFPE human liver cancer tissue with Alcohol dehydrogenase 5 / ADH5 antibody.

Found all antibodies, displaying 2031 to 2040
NDUFB2 Antibody
Catalog No : RQ6144
Applications : WB, IHC-P, FACS, Direct ELISA
Reactivity : Human
Format : Antigen affinity purified
NDUFB5 Antibody
Catalog No : RQ6145
Applications : WB, IHC-P, IF, FACS, Direct ELISA
Reactivity : Human, Mouse, Rat
Format : Antigen affinity purified
Pawr Antibody / PRKC apoptosis WT1 regulator protein
Catalog No : RQ6147
Applications : WB, IHC-P, FACS, IF, Direct ELISA
Reactivity : Mouse, Rat
Format : Antigen affinity purified
PINK1 Antibody / PARK6
Catalog No : RQ6149
Applications : WB, IF, FACS, Direct ELISA
Reactivity : Human
Format : Antigen affinity purified
SOCS3 Antibody
Catalog No : RQ6156
Applications : WB, FACS, Direct ELISA
Reactivity : Human, Mouse, Rat
Format : Antigen affinity purified
APC2 Antibody / ANAPC2
Catalog No : RQ6162
Applications : WB, IHC-P, IF, FACS, Direct ELISA
Reactivity : Human, Mouse, Rat
Format : Antigen affinity purified
BHMT Antibody
Catalog No : RQ6163
Applications : WB, FACS, Direct ELISA
Reactivity : Human, Mouse, Rat, Monkey
Format : Antigen affinity purified
FEZF1 Antibody
Catalog No : RQ6176
Applications : WB, FACS, IF, Direct ELISA
Reactivity : Human, Mouse, Rat
Format : Antigen affinity purified
GNG7 Antibody
Catalog No : RQ6179
Applications : WB, IHC-P, FACS, Direct ELISA
Reactivity : Human, Mouse, Rat
Format : Antigen affinity purified
GSTA4 Antibody
Catalog No : RQ6181
Applications : WB, IHC-P, FACS, Direct ELISA
Reactivity : Human, Monkey
Format : Antigen affinity purified