• Tel: 858.663.9055
  • SeparatorEmail: info@nsjbio.com
  • Tel: 858.663.9055
  • Email: info@nsjbio.com
Home >> Antibodies >> HIF1A Antibody / HIF-1 alpha

HIF1A Antibody / HIF-1 alpha [clone HIF1A/3248] (V4352)

  Catalog No Formulation Size Price (USD)  
Image V4352-100UG 0.2 mg/ml in 1X PBS with 0.1 mg/ml BSA (US sourced), 0.05% sodium azide 100 ug 559
Image
V4352-20UG 0.2 mg/ml in 1X PBS with 0.1 mg/ml BSA (US sourced), 0.05% sodium azide 20 ug 259
Image
V4352SAF-100UG 1 mg/ml in 1X PBS; BSA free, sodium azide free 100 ug 559
Microvalidated
Bulk quote request
Analysis of a HuProt(TM) microarray containing more than 19,000 full-length human proteins using HIF1A antibody (clone HIF1A/3248). Z- and S- Score: The Z-score represents the strength of a signal that a monoclonal antibody (in combination with a fluorescently-tagged anti-IgG secondary antibody) produces when binding to a particular protein on the HuProt(TM) array. Z-scores are described in units of standard deviations (SD's) above the mean value of all signals generated on that array. If targets on HuProt(TM) are arranged in descending order of the Z-score, the S-score is the difference (also in units of SD's) between the Z-score. S-score therefore represents the relative target specificity of a mAb to its intended target. A mAb is considered to specific to its intended target, if the mAb has an S-score of at least 2.5. For example, if a mAb binds to protein X with a Z-score of 43 and to protein Y with a Z-score of 14, then the S-score for the binding of that mAb to protein X is equal to 29.
SDS-PAGE analysis of purified, BSA-free HIF1A antibody (clone HIF1A/3248) as confirmation of integrity and purity.
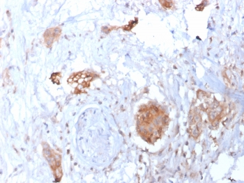
IHC staining of FFPE human breast carcinoma tissue with HIF1A antibody (clone HIF1A/3248). Inset: PBS used in place of primary Ab (secondary Ab negative control). HIER: boil tissue sections in pH 9 10mM Tris with 1mM EDTA for 20 min and allow to cool before testing.
Availability 1-3 business days
Species Reactivity Human
Format Purified
Host Mouse
Clonality Monoclonal (mouse origin)
Isotype Mouse IgG1, kappa
Clone Name HIF1A/3248
Purity Protein A/G affinity
UniProt Q16665
Localization Cytoplasm, Nucleus
Applications Immunohistochemistry (FFPE) : 1-2ug/ml for 30 minutes at RT
Limitations This HIF1A antibody is available for research use only.
Review this product on BioCompare and get a $20 Amazon gift card

Related Products

Description

HIF1 (hypoxia-inducible factor 1), a heterodimeric transcription factor complex central to cellular response to hypoxia, consists of two subunits (HIF-1 alpha and HIF-1 beta) which are basic helix-loop-helix proteins of the PAS (Per, ARNT, Sim) family. Expression of HIF-1 alpha protein is regulated by cellular oxygen level alterations as well as in oxygen-independent manner via different cytokines (through the PI3K-AKT-mTOR pathway), growth factors, oncogenic activation, or loss of tumor suppressor function etc. In normoxic cells, HIF-1 alpha is proline hydroxylated leading to a conformational change that promotes its binding to the VLH (von Hippel Lindau) protein E3 ligase complex; ubiquitination and followed by rapid proteasomal degradation. Hypoxia as well as chemical hydroxylase inhibitors (desferrioxamine, cobalt etc.) inhibit HIF-1 alpha degradation and lead to its accumulation in the cells, whereas, contrastingly, HIF-1 beta/ARNT (AhR nuclear translocator) remains stable under both conditions. Besides their critical role in hypoxic response, HIF1s regulates the transcription of genes responsible for angiogenesis, erythropoiesis/iron-metabolism, glucose metabolism, cell proliferation/survival, adipogenesis, carotid body formation, B lymphocyte development and immune reactions.

Application Notes

Optimal dilution of the HIF1A antibody should be determined by the researcher.

Immunogen

A recombinant partial protein sequence (within amino acids 239-530) from the human protein was used as the immunogen for the HIF1A antibody.

Storage

Aliquot the HIF1A antibody and store frozen at -20oC or colder. Avoid repeated freeze-thaw cycles.

Cross
Bulk Quote Request Form
Name*:
Organization*:
Email*:
Phone Number*:
Catalog No.*:
Comments and Specifics(amount, formulation, etc.)*:
Validation code: Captchapackage Image


Can't read the image? click here to refresh.
    *required field

Your bulk quote request has been submitted successfully!

Please contact us if you have any questions.