• Tel: 858.663.9055
  • separatorEmail: info@nsjbio.com
  • Tel: 858.663.9055
  • Email: info@nsjbio.com
banner

Epigenetics Antibodies

Home >> Antibodies >> Epigenetics Antibodies

Epigenetics Antibodies

Epigenetics Antibodies Overview

Epigenetics Antibodies target the proteins, enzymes, and modifications that control gene expression without altering the underlying DNA sequence. Epigenetic mechanisms—including DNA methylation, histone acetylation, histone methylation, chromatin remodeling, and non-coding RNA regulation—determine when and how genes are turned on or off. These processes are vital for embryonic development, cellular differentiation, tissue maintenance, and adaptive responses to environmental cues.

Disruption of epigenetic regulation is linked to a wide range of diseases. Aberrant DNA methylation is a hallmark of cancer, histone modification imbalances contribute to neurodegenerative and psychiatric disorders, and immune dysregulation is increasingly tied to epigenetic misregulation. By employing Epigenetics Antibodies, scientists can study the proteins and modifications that maintain or disrupt normal gene regulation. Because epigenetic states are dynamic and reversible, they also present compelling targets for new therapies, making Epigenetics Antibodies critical for both discovery and translational research.


Why Choose Epigenetics Antibodies from NSJ Bioreagents?

NSJ Bioreagents provides a broad range of Epigenetics Antibodies validated for chromatin immunoprecipitation (ChIP), immunohistochemistry, immunofluorescence, western blotting, and ELISA. Each Epigenetics Antibody undergoes rigorous testing to ensure high specificity, minimal cross-reactivity, and reproducibility across multiple applications.

By choosing Epigenetics Antibodies from NSJ Bioreagents, researchers gain reagents optimized for consistency and accuracy. Our antibodies detect key regulators such as DNA methyltransferases, histone acetyltransferases, histone deacetylases, and specific histone modifications including H3K4me3, H3K9me2, H3K27ac, and H3K27me3. Each product is accompanied by detailed datasheets, recommended controls, and validated protocols, providing the support needed to generate reliable, interpretable data.


Applications of Epigenetics Antibodies

The Epigenetics Antibodies collection is used in a wide variety of research contexts, spanning basic biology to clinical medicine.

1) Chromatin Biology and Transcriptional Regulation

  • Epigenetics Antibodies detect histone modifications associated with transcriptional activation or repression.

  • These reagents clarify how nucleosomes are remodeled and repositioned to regulate accessibility.

  • Epigenetics Antibodies support genome-wide mapping of chromatin states in development and differentiation.

2) Cancer Biology and Oncology

  • Epigenetics Antibodies reveal aberrant methylation patterns and histone modifications in tumors.

  • They support biomarker discovery for cancer prognosis and therapy response.

  • Epigenetics Antibodies validate therapeutic targets for epigenetic drugs such as HDAC inhibitors, BET inhibitors, and DNMT inhibitors.

3) Neuroscience and Brain Function

  • Epigenetics Antibodies clarify chromatin changes in learning, memory, and neuronal plasticity.

  • They support studies of neurodevelopmental disorders including Rett syndrome and fragile X.

  • Epigenetics Antibodies are applied in models of Alzheimer’s, Parkinson’s, and Huntington’s disease.

4) Immunology and Inflammatory Disease

  • Epigenetics Antibodies identify epigenetic regulators in T cell and B cell differentiation.

  • They support studies of how chromatin states shape innate immune responses.

  • Epigenetics Antibodies are applied in autoimmune disease research, including lupus and rheumatoid arthritis.

5) Stem Cell and Regenerative Medicine

  • Epigenetics Antibodies validate pluripotency-associated chromatin states.

  • They ensure accurate monitoring of lineage specification during stem cell differentiation.

  • Epigenetics Antibodies support regenerative therapies by confirming correct epigenetic programming.

6) Environmental and Developmental Epigenetics

  • Epigenetics Antibodies highlight how diet, toxins, or stress affect chromatin states.

  • They provide tools for studying transgenerational epigenetic inheritance.

7) Translational Medicine and Clinical Trials

  • Epigenetics Antibodies are applied in validating biomarkers for cancer, metabolic disease, and neurodegeneration.

  • They are used to stratify patients for clinical trials involving epigenetic therapies.

  • Epigenetics Antibodies provide confidence that therapeutic modulation of epigenetic regulators achieves the intended effect.


Why Are Epigenetics Antibodies Important?

Epigenetic control sits at the intersection of genetics, environment, and disease. The Epigenetics Antibodies portfolio allows scientists to probe this interface with precision.

In basic science, Epigenetics Antibodies reveal how chromatin organization influences transcriptional programs. In oncology, they help uncover aberrant methylation and acetylation patterns that drive cancer initiation and progression. In neuroscience, Epigenetics Antibodies support discoveries linking chromatin remodeling to cognition, plasticity, and psychiatric disease. In immunology, they provide insight into how epigenetic regulation directs immune cell development and autoimmunity.

Clinically, epigenetic markers are moving into diagnostics and personalized medicine. Epigenetics Antibodies are integral to biomarker discovery, patient monitoring, and therapeutic development. Because epigenetic states are reversible, the ability to detect them accurately with Epigenetics Antibodies directly supports development of new drugs and treatment strategies.


Conclusion

Epigenetics regulates cellular identity and health by controlling when and how genes are expressed. The Epigenetics Antibodies portfolio equips researchers and clinicians with trusted reagents for detecting DNA methylation, histone modifications, and chromatin regulators. By combining rigorous validation with broad applicability, these antibodies remain indispensable for advancing discovery biology, oncology, neuroscience, immunology, and translational medicine. Their role in diagnostics and therapeutic development ensures that Epigenetics Antibodies will remain at the center of biomedical innovation.

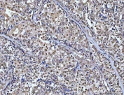
<p>IHC staining of FFPE human bladder carcinoma with EZH2 / Enhancer of zeste homolog 2 antibody (clone EZH2/6988, <a href="../tds/enhancer-of-zeste-homolog-2-antibody-ezh2-ezh26988-v5233" target="_blank" rel="noopener">cat # V5233</a>). HIER: boil tissue sections in pH 9 10mM Tris with 1mM EDTA for 20 min and allow to cool before testing.</p>

IHC staining of FFPE human bladder carcinoma with EZH2 / Enhancer of zeste homolog 2 antibody (clone EZH2/6988, cat # V5233). HIER: boil tissue sections in pH 9 10mM Tris with 1mM EDTA for 20 min and allow to cool before testing.

Found all antibodies, displaying 2681 to 2690
Rad51D Antibody (clone 28R25)
Catalog No : RQ8288
Applications : WB
Reactivity : Human
Format : Purified
Recrabbitmono
NR2C2 Antibody / Nuclear receptor subfamily 2 group C member 2 / TR4
Catalog No : RQ8296
Applications : WB, IHC-P, FACS, Direct ELISA
Reactivity : Human, Mouse, Rat, Monkey
Format : Antigen affinity purified
NTHL1 Antibody / NTH1 / Endonuclease III-like protein 1
Catalog No : RQ8299
Applications : WB, IF, FACS, ELISA
Reactivity : Human
Format : Antigen affinity purified
P4HTM Antibody / HIFPH4 / HIF Prolyl Hydroxylases (clone 28P22)
Catalog No : RQ8306
Applications : WB
Reactivity : Human
Format : Purified
Recrabbitmono
NUP107 Antibody / Nucleoporin 107
Catalog No : RQ8307
Applications : WB, IF, FACS, IP, Direct ELISA
Reactivity : Human, Mouse, Rat
Format : Antigen affinity purified
NSUN2 Antibody / SAKI / TRM4
Catalog No : RQ8311
Applications : WB, IHC-P, FACS, IF, Direct ELISA
Reactivity : Human, Mouse, Rat
Format : Antigen affinity purified
NAP1L1 Antibody / Nucleosome assembly protein 1-like 1
Catalog No : RQ8315
Applications : WB, IF, FACS
Reactivity : Human, Mouse, Rat
Format : Antigen affinity purified
NUP133 Antibody
Catalog No : RQ8319
Applications : WB, IF, IP, Direct ELISA
Reactivity : Human, Mouse, Rat
Format : Antigen affinity purified
Nucleophosmin Antibody / NPM1(pT199) (clone 28N18)
Catalog No : RQ8322
Applications : WB
Reactivity : Human
Format : Purified
Recrabbitmono
ALP Antibody / N-acetyltransferase-like protein / NAT10
Catalog No : RQ8333
Applications : WB, IF, FACS, IP, Direct ELISA
Reactivity : Human
Format : Antigen affinity purified