• Tel: 858.663.9055
  • SeparatorEmail: info@nsjbio.com
  • Tel: 858.663.9055
  • Email: info@nsjbio.com
Home >> Antibodies >> MNAT1 Antibody / CDK-activating kinase assembly factor MAT1

MNAT1 Antibody / CDK-activating kinase assembly factor MAT1 (RQ8340)

  Catalog No Formulation Size Price (USD)  
Image RQ8340 0.5mg/ml if reconstituted with 0.2ml sterile DI water 100 ug 449
Bulk quote request
Immunofluorescent staining of FFPE human HeLa cells with MNAT1 antibody (red) and Beta Tubulin mAb (green). HIER: steam section in pH6 citrate buffer for 20 min.
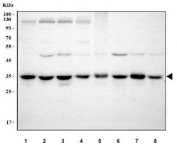
Western blot testing of 1) human A431, 2) human HeLa, 3) human A375, 4) human MCF7, 5) rat testis, 6) rat RH35, 7) mouse testis and 8) mouse NIH 3T3 cell lysate with MNAT1 antibody. Expected molecular weight ~36 kDa.
Flow cytometry testing of fixed and permeabilized human MCF7 cells with MNAT1 antibody at 1ug/million cells (blocked with goat sera); Red=cells alone, Green=isotype control, Blue= MNAT1 antibody.
Availability 1-3 business days
Species Reactivity Human, Mouse, Rat
Format Antigen affinity purified
Host Rabbit
Clonality Polyclonal (rabbit origin)
Isotype Rabbit IgG
Purity Antigen affinity purified
Buffer Lyophilized from 1X PBS with 2% Trehalose
UniProt P51948
Localization Nuclear
Applications Western Blot : 0.5-1ug/ml
Immunofluorescence : 5ug/ml
Flow Cytometry : 1-3ug/million cells
ELISA : 0.1-0.5ug/ml
Limitations This MNAT1 antibody is available for research use only.
Review this product on BioCompare and get a $20 Amazon gift card

Related Products

Description

CDK-activating kinase assembly factor MAT1 is an enzyme that in humans is encoded by the MNAT1 gene. The protein encoded by this gene, along with cyclin H and CDK7, forms the CDK-activating kinase (CAK) enzymatic complex. This complex activates several cyclin-associated kinases and can also associate with TFIIH to activate transcription by RNA polymerase II. Two transcript variants encoding different isoforms have been found for this gene.

Application Notes

Optimal dilution of the MNAT1 antibody should be determined by the researcher.

Immunogen

An E.coli-derived human recombinant protein (M1-S309) was used as the immunogen for the MNAT1 antibody.

Storage

After reconstitution, the MNAT1 antibody can be stored for up to one month at 4oC. For long-term, aliquot and store at -20oC. Avoid repeated freezing and thawing.

Cross
Bulk Quote Request Form
Name*:
Organization*:
Email*:
Phone Number*:
Catalog No.*:
Comments and Specifics(amount, formulation, etc.)*:
Validation code: Captchapackage Image


Can't read the image? click here to refresh.
    *required field

Your bulk quote request has been submitted successfully!

Please contact us if you have any questions.