• Tel: 858.663.9055
  • SeparatorEmail: info@nsjbio.com
  • Tel: 858.663.9055
  • Email: info@nsjbio.com
Home >> Antibodies >> Enhancer of zeste homolog 2 Antibody / EZH2

Enhancer of zeste homolog 2 Antibody / EZH2 [clone EZH2/6988] (V5233)

  Catalog No Formulation Size Price (USD)  
Image V5233-100UG 0.2 mg/ml in 1X PBS with 0.1 mg/ml BSA (US sourced), 0.05% sodium azide 100 ug 559
Image
V5233-20UG 0.2 mg/ml in 1X PBS with 0.1 mg/ml BSA (US sourced), 0.05% sodium azide 20 ug 259
Image
V5233SAF-100UG 1 mg/ml in 1X PBS; BSA free, sodium azide free 100 ug 559
Bulk quote request
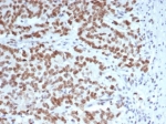
IHC staining of FFPE human bladder carcinoma with Enhancer of zeste homolog 2 antibody (clone EZH2/6988). HIER: boil tissue sections in pH 9 10mM Tris with 1mM EDTA for 20 min and allow to cool before testing.
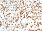
IHC staining of FFPE human Lynch syndrome colon carcinoma tissue with Enhancer of zeste homolog 2 antibody (clone EZH2/6988). HIER: boil tissue sections in pH 9 10mM Tris with 1mM EDTA for 20 min and allow to cool before testing.
IHC staining of FFPE human bladder carcinoma with Enhancer of zeste homolog 2 antibody (clone EZH2/6988). HIER: boil tissue sections in pH 9 10mM Tris with 1mM EDTA for 20 min and allow to cool before testing.
Western blot testing of human Jurkat cell lysate with Enhancer of zeste homolog 2 antibody (clone EZH2/6988). Expected molecular weight: 85-95 kDa.
Availability 1-3 business days
Species Reactivity Human
Format Purified
Host Mouse
Clonality Monoclonal (mouse origin)
Isotype Mouse IgG, kappa
Clone Name EZH2/6988
Purity Protein A/G affinity
UniProt Q15910
Localization Nucleus
Applications Western Blot : 1-2ug/ml
Immunohistochemistry (FFPE) : 1-2ug/ml for 30 min at RT
Limitations This Enhancer of zeste homolog 2 antibody is available for research use only.
Review this product on BioCompare and get a $20 Amazon gift card

Related Products

  • Applications : WB
    Reactivity : Human
    Microvalidated
  • Applications : WB, IHC, IF, ELISA
    Reactivity : Human
    Pred. Reactivity : Primate
  • Applications : IHC-P
    Reactivity : Human
  • Applications : WB, IHC-P
    Reactivity : Human
  • Applications : IHC-P
    Reactivity : Human
  • Applications : IHC-P
    Reactivity : Human
  • Applications : IHC-P
    Reactivity : Human
  • Applications : WB, IHC, IF, FACS, ELISA
    Reactivity : Human, Mouse
  • Applications : WB, ELISA
    Reactivity : Human, Mouse
  • Applications : WB, IHC, ELISA
    Reactivity : Human, Mouse, Rat
    Pred. Reactivity : Primate, Xenopus
  • Applications : WB, FACS, IP, Direct ELISA
    Reactivity : Human, Mouse, Rat

Description

This gene encodes a member of the Polycomb-group (PcG) family. PcG family members form multimeric protein complexes, which are involved in maintaining the transcriptional repressive state of genes over successive cell generations. This protein associates with the embryonic ectoderm development protein, the VAV1 oncoprotein, and the X-linked nuclear protein. This protein may play a role in the hematopoietic and central nervous systems. Multiple alternatively splcied transcript variants encoding distinct isoforms have been identified for this gene.

Application Notes

Optimal dilution of the EZH2 antibody should be determined by the researcher.

Immunogen

A recombinant partial protein sequence (within amino acids 300-550) from the human protein was used as the immunogen for the Enhancer of zeste homolog 2 antibody.

Storage

Aliquot the EZH2 antibody and store frozen at -20oC or colder. Avoid repeated freeze-thaw cycles.

Cross
Bulk Quote Request Form
Name*:
Organization*:
Email*:
Phone Number*:
Catalog No.*:
Comments and Specifics(amount, formulation, etc.)*:
Validation code: Captchapackage Image


Can't read the image? click here to refresh.
    *required field

Your bulk quote request has been submitted successfully!

Please contact us if you have any questions.