• Tel: 858.663.9055
  • separatorEmail: info@nsjbio.com
  • Tel: 858.663.9055
  • Email: info@nsjbio.com
banner

Recombinant Antibody / Antibodies

Home >> Antibodies >> Recombinant Antibody / Antibodies

Recombinant Antibody / Antibodies

In the constantly evolving world of biotechnology, recombinant antibodies are emerging as game-changers in the field of diagnostics and research. These recombinant monoclonal antibodies can be quickly expressed, allowing for greater lot-to-lot consistency and reliability in a range of applications, including immunohistochemistry, western blot, immunofluorescence and flow cytometry.

One of the key advantages of recombinant antibodies is their high degree of lot-to-lot consistency. Traditional polyclonal antibodies, derived from the immune response of animals, can vary in quality from batch to batch. In contrast, recombinant antibodies are produced in a controlled laboratory environment, ensuring uniformity and reliability in their performance.

This consistency is particularly crucial in techniques like immunohistochemistry, where accurate and reproducible results are essential for diagnosing diseases and studying cellular processes. Recombinant antibodies provide researchers with a reliable tool for precisely identifying specific proteins within tissues, leading to more accurate diagnoses and research findings.

In western blot testing, recombinant antibodies also offer significant advantages. Their consistent performance allows for the detection of target proteins with high sensitivity and specificity, making them valuable tools for studying protein expression and interactions. Researchers can trust that recombinant antibodies will provide reliable and reproducible results.

Overall, the use of recombinant antibodies is revolutionizing testing techniques in the field of biotechnology. Their reliability and consistency make them invaluable tools for a wide range of applications, from basic research to clinical diagnostics. As technology advances and our understanding of disease mechanisms grows, recombinant antibodies will continue to play a crucial role in advancing scientific knowledge and, in turn, improving healthcare outcomes. 

NSJ Bioreagents is an industry leader in the field of mouse and rabbit origin recombinant antibodies and a go-to source for researchers seeking reliable reagents for their experiments. We offer a rapidly expanding line of recombinant antibodies:
Found all antibodies, displaying 2231 to 2240
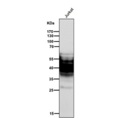
ULBP1 Antibody / UL16-binding protein 1 (clone 30U90)
Catalog No : FY12334
Applications : WB
Reactivity : Human
Format : Liquid
Recrabbitmono
UCHL5IP Antibody / HAUS7 / HAUS augmin-like complex subunit 7 (clone 30H38)
Catalog No : FY12335
Applications : WB
Reactivity : Human
Format : Liquid
Recrabbitmono
GNE Antibody / Glucosamine 6 phosphate N acetyltransferase (clone 29G96)
Catalog No : FY12350
Applications : WB, ICC, IF
Reactivity : Human
Format : Liquid
Recrabbitmono
IL22 Antibody / Interleukin 22 (clone 31I09)
Catalog No : FY12351
Applications : WB
Reactivity : Human
Format : Liquid
Recrabbitmono
AAMP Antibody / Angio associated migratory cell protein (clone 29A85)
Catalog No : FY12352
Applications : WB, ICC, IF, FACS
Reactivity : Human, Mouse, Rat
Format : Liquid
Recrabbitmono
PRPF4 Antibody / Pre mRNA processing factor 4 (clone 30P52)
Catalog No : FY12354
Applications : WB, IHC, ICC, IF, IP, FACS
Reactivity : Human
Format : Liquid
Recrabbitmono
PIK3CB Antibody / PI3 Kinase p110 beta (clone 30P53)
Catalog No : FY12367
Applications : WB, IHC, ICC, IF
Reactivity : Human, Mouse, Rat
Format : Liquid
Recrabbitmono
SHB Antibody / SH2 domain-containing adapter protein B (clone 31S61)
Catalog No : FY12379
Applications : WB
Reactivity : Human, Mouse, Rat
Format : Liquid
Recrabbitmono
BIN1 Antibody / Myc box-dependent-interacting protein 1 (clone 30B93)
Catalog No : FY12383
Applications : WB, IHC, ICC, IF, IP, FACS
Reactivity : Human
Format : Liquid
Recrabbitmono
Phospho-PKC delta (pThr507) Antibody / Protein kinase C delta (clone 32P74)
Catalog No : FY12386
Applications : WB
Reactivity : Human
Format : Liquid
Recrabbitmono